Rabbit FOXP2 Polyclonal Antibody | anti-FOXP2 antibody
FOXP2 antibody - N-terminal region
WB (Western Blot)
(WB Suggested Anti-FOXP2 Antibody Titration: 0.5ug/mlPositive Control: HepG2 cell lysate)
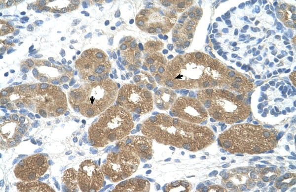
IHC (Immunohistochemistry)
(Rabbit Anti-FOXP2 AntibodyCellular Data: Epithelial cells of renal tubule Antibody Concentration: 4.0-8.0 ug/ml Magnification: 400X)
Target Description: FOXP2 is an evolutionarily conserved transcription factor expressed in fetal and adult brain. This transcription factor is a member of the forkhead/winged-helix (FOX) family of transcription factors, and contains a FOX DNA-binding domain and a large polyglutamine tract. Members of the FOX family of transcription factors are regulators of embryogenesis. The product of this gene is thought to be required for proper development of speech and language regions of the brain during embryogenesis. Although a point mutation in this gene has been associated with the KE pedigree segregating developmental verbal dyspraxia, no association between mutations in this gene and another speech disorder, autism, has been found. Four alternative transcripts encoding three different isoforms have been identified.This gene encodes an evolutionarily conserved transcription factor expressed in fetal and adult brain. This transcription factor is a member of the forkhead/winged-helix (FOX) family of transcription factors, and contains a FOX DNA-binding domain and a large polyglutamine tract. Members of the FOX family of transcription factors are regulators of embryogenesis. The product of this gene is thought to be required for proper development of speech and language regions of the brain during embryogenesis. Although a point mutation in this gene has been associated with the KE pedigree segregating developmental verbal dyspraxia, no association between mutations in this gene and another speech disorder, autism, has been found. Four alternative transcripts encoding three different isoforms have been identified.
NCBI and Uniprot Product Information
Customer Reviews
Loading reviews...
Share Your Experience
Similar Products
Product Notes
The FOXP2 foxp2 (Catalog #AAA197650) is an Antibody produced from Rabbit and is intended for research purposes only. The product is available for immediate purchase. The FOXP2 antibody - N-terminal region reacts with Dog, Goat, Horse, Human, Mouse, Pig, Rabbit, Rat, Zebrafish and may cross-react with other species as described in the data sheet. AAA Biotech's FOXP2 can be used in a range of immunoassay formats including, but not limited to, WB (Western Blot), IHC (Immunohistochemistry). Researchers should empirically determine the suitability of the FOXP2 foxp2 for an application not listed in the data sheet. Researchers commonly develop new applications and it is an integral, important part of the investigative research process. The amino acid sequence is listed below: Synthetic peptide located within the following region: SGLKSPKSSD KQRPLQVPVS VAMMTPQVIT PQQMQQILQQ QVLSPQQLQA. It is sometimes possible for the material contained within the vial of "FOXP2, Polyclonal Antibody" to become dispersed throughout the inside of the vial, particularly around the seal of said vial, during shipment and storage. We always suggest centrifuging these vials to consolidate all of the liquid away from the lid and to the bottom of the vial prior to opening. Please be advised that certain products may require dry ice for shipping and that, if this is the case, an additional dry ice fee may also be required.Precautions
All products in the AAA Biotech catalog are strictly for research-use only, and are absolutely not suitable for use in any sort of medical, therapeutic, prophylactic, in-vivo, or diagnostic capacity. By purchasing a product from AAA Biotech, you are explicitly certifying that said products will be properly tested and used in line with industry standard. AAA Biotech and its authorized distribution partners reserve the right to refuse to fulfill any order if we have any indication that a purchaser may be intending to use a product outside of our accepted criteria.Disclaimer
Though we do strive to guarantee the information represented in this datasheet, AAA Biotech cannot be held responsible for any oversights or imprecisions. AAA Biotech reserves the right to adjust any aspect of this datasheet at any time and without notice. It is the responsibility of the customer to inform AAA Biotech of any product performance issues observed or experienced within 30 days of receipt of said product. To see additional details on this or any of our other policies, please see our Terms & Conditions page.Item has been added to Shopping Cart
If you are ready to order, navigate to Shopping Cart and get ready to checkout.
