Rabbit Fyn Polyclonal Antibody | anti-Fyn antibody
Fyn Antibody
Phosphate buffered saline, pH 7.4, 150mM NaCl, 0.02% sodium azide and 50% glycerol.
WB (Western Blot)
(Western blot analysis of Fyn expression in 293 whole cell lysates, The lane on the left is treated with the antigen-specific peptide.)
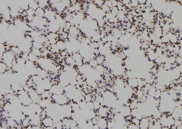
IHC (Immunohiostchemistry)
(AAA322186 at 1/100 staining Mouse lung tissue by IHC-P. The sample was formaldehyde fixed and a heat mediated antigen retrieval step in citrate buffer was performed. The sample was then blocked and incubated with the antibody for 1.5 hours at 22 degree C. An HRP conjugated goat anti-rabbit antibody was used as the secondary.)
IF (Immunofluorescence)
(AAA322186 staining 293 by IF/ICC. The sample were fixed with PFA and permeabilized in 0.1% Triton X-100, then blocked in 10% serum for 45 minutes at 25 degree C. The primary antibody was diluted at 1/200 and incubated with the sample for 1 hour at 37 degree C. An Alexa Fluor 594 conjugated goat anti-rabbit IgG (H+L) Ab, diluted at 1/600, was used as the secondary antibody.)
Function: Non-receptor tyrosine-protein kinase that plays a role in many biological processes including regulation of cell growth and survival, cell adhesion, integrin-mediated signaling, cytoskeletal remodeling, cell motility, immune response and axon guidance. Inactive FYN is phosphorylated on its C-terminal tail within the catalytic domain. Following activation by PKA, the protein subsequently associates with PTK2/FAK1, allowing PTK2/FAK1 phosphorylation, activation and targeting to focal adhesions. Involved in the regulation of cell adhesion and motility through phosphorylation of CTNNB1 (beta-catenin) and CTNND1 (delta-catenin). Regulates cytoskeletal remodeling by phosphorylating several proteins including the actin regulator WAS and the microtubule-associated proteins MAP2 and MAPT. Promotes cell survival by phosphorylating AGAP2/PIKE-A and preventing its apoptotic cleavage. Participates in signal transduction pathways that regulate the integrity of the glomerular slit diaphragm (an essential part of the glomerular filter of the kidney) by phosphorylating several slit diaphragm components including NPHS1, KIRREL1 and TRPC6. Plays a role in neural processes by phosphorylating DPYSL2, a multifunctional adapter protein within the central nervous system, ARHGAP32, a regulator for Rho family GTPases implicated in various neural functions, and SNCA, a small pre-synaptic protein. Participates in the downstream signaling pathways that lead to T-cell differentiation and proliferation following T-cell receptor (TCR) stimulation. Also participates in negative feedback regulation of TCR signaling through phosphorylation of PAG1, thereby promoting interaction between PAG1 and CSK and recruitment of CSK to lipid rafts. CSK maintains LCK and FYN in an inactive form. Promotes CD28-induced phosphorylation of VAV1.
Subunit Structure: Interacts (via its SH3 domain) with PIK3R1 and PRMT8. Interacts with FYB1, PAG1, and SH2D1A. Interacts with CD79A (tyrosine-phosphorylated form); the interaction increases FYN activity. Interacts (via SH2 domain) with CSF1R (tyrosine phosphorylated) (By similarity). Interacts with TOM1L1 (phosphorylated form). Interacts with KDR (tyrosine phosphorylated). Interacts (via SH3 domain) with KLHL2 (via N-terminus) (By similarity). Interacts with SH2D1A and SLAMF1. Interacts (via its SH3 domain) with HEV ORF3 protein. Interacts with ITCH; the interaction phosphorylates ITCH and negatively regulates its activity. Interacts with FASLG. Interacts with RUNX3. Interacts with KIT. Interacts with EPHA8; possible downstream effector of EPHA8 in regulation of cell adhesion. Interacts with PTK2/FAK1; this interaction leads to PTK2/FAK1 phosphorylation and activation. Interacts with CAV1; this interaction couples integrins to the Ras-ERK pathway. Interacts with UNC119. Interacts (via SH2 domain) with PTPRH (phosphorylated form) (By similarity). Interacts with PTPRO (phosphorylated form) (By similarity). Interacts with PTPRB (phosphorylated form) (By similarity). Interacts with FYB2 (PubMed:27335501).
Post-translational Modifications: Autophosphorylated at Tyr-420. Phosphorylation on the C-terminal tail at Tyr-531 by CSK maintains the enzyme in an inactive state (By similarity). PTPRC/CD45 dephosphorylates Tyr-531 leading to activation. Ultraviolet B (UVB) strongly increase phosphorylation at Thr-12 and kinase activity, and promotes translocation from the cytoplasm to the nucleus. Dephosphorylation at Tyr-420 by PTPN2 negatively regulates T-cell receptor signaling. Palmitoylation at Cys-3 and Cys-6 regulates subcellular location.
Similarity: Belongs to the protein kinase superfamily. Tyr protein kinase family. SRC subfamily.
NCBI and Uniprot Product Information
Predicted: 61 kDa
Customer Reviews
Loading reviews...
Share Your Experience
Similar Products
Product Notes
The Fyn fyn (Catalog #AAA322186) is an Antibody produced from Rabbit and is intended for research purposes only. The product is available for immediate purchase. The Fyn Antibody reacts with Human, Mouse, Rat and may cross-react with other species as described in the data sheet. AAA Biotech's Fyn can be used in a range of immunoassay formats including, but not limited to, ELISA, ICC (Immunocytochemistry), IF (Immunofluorescence), IHC (Immunohistochemistry), WB (Western Blot). Researchers should empirically determine the suitability of the Fyn fyn for an application not listed in the data sheet. Researchers commonly develop new applications and it is an integral, important part of the investigative research process. It is sometimes possible for the material contained within the vial of "Fyn, Polyclonal Antibody" to become dispersed throughout the inside of the vial, particularly around the seal of said vial, during shipment and storage. We always suggest centrifuging these vials to consolidate all of the liquid away from the lid and to the bottom of the vial prior to opening. Please be advised that certain products may require dry ice for shipping and that, if this is the case, an additional dry ice fee may also be required.Precautions
All products in the AAA Biotech catalog are strictly for research-use only, and are absolutely not suitable for use in any sort of medical, therapeutic, prophylactic, in-vivo, or diagnostic capacity. By purchasing a product from AAA Biotech, you are explicitly certifying that said products will be properly tested and used in line with industry standard. AAA Biotech and its authorized distribution partners reserve the right to refuse to fulfill any order if we have any indication that a purchaser may be intending to use a product outside of our accepted criteria.Disclaimer
Though we do strive to guarantee the information represented in this datasheet, AAA Biotech cannot be held responsible for any oversights or imprecisions. AAA Biotech reserves the right to adjust any aspect of this datasheet at any time and without notice. It is the responsibility of the customer to inform AAA Biotech of any product performance issues observed or experienced within 30 days of receipt of said product. To see additional details on this or any of our other policies, please see our Terms & Conditions page.Item has been added to Shopping Cart
If you are ready to order, navigate to Shopping Cart and get ready to checkout.
