Rabbit GCG Polyclonal Antibody | anti-GCG antibody
GCG Polyclonal Antibody
Gene Names
GCG; GLP1; GLP2; GRPP
Reactivity
Human, Mouse, Rat
Applications
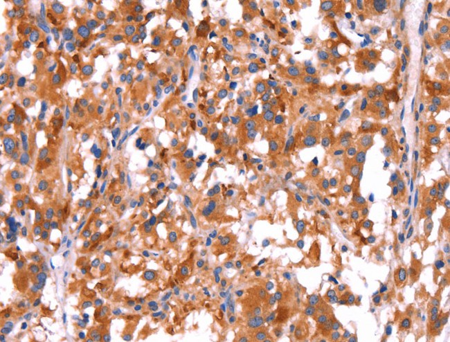
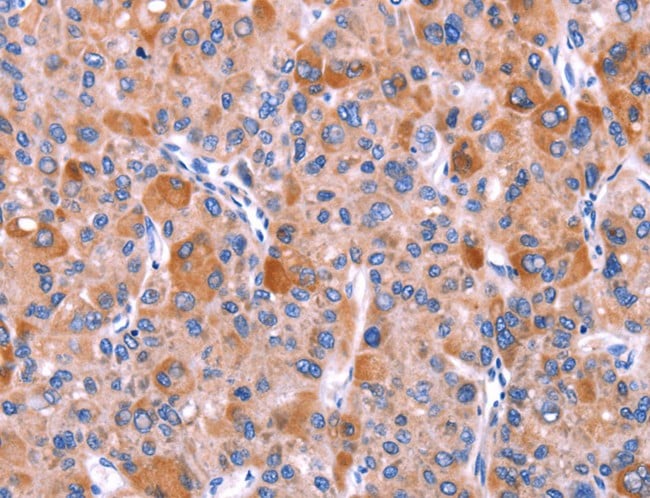
Immunohistochemistry, ELISA
Purity
Antigen affinity purification
Synonyms
GCG, Antibody; GCG Polyclonal Antibody; GLP1; GLP2; GRPP; anti-GCG antibody
Host
Rabbit
Reactivity
Human, Mouse, Rat
Clonality
Polyclonal
Isotype
IgG
Purity/Purification
Antigen affinity purification
Concentration
2.8mg/mL (varies by lot)
Sequence Length
180
Applicable Applications for anti-GCG antibody
IHC (Immunohistochemistry), ELISA
Immunogen
Synthetic peptide of human GCG
Buffer
PBS with 0.05% sodium azide, 50% glycerol, pH7.3
Preparation and Storage
Store at -20 degree C (regular) and -80 degree C (long term). Avoid freeze / thaw cycles.
Related Product Information for anti-GCG antibody
The protein encoded by this gene is actually a preproprotein that is cleaved into four distinct mature peptides. One of these, glucagon, is a pancreatic hormone that counteracts the glucose-lowering action of insulin by stimulating glycogenolysis and gluconeogenesis. Glucagon is a ligand for a specific G-protein linked receptor whose signalling pathway controls cell proliferation. Two of the other peptides are secreted from gut endocrine cells and promote nutrient absorption through distinct mechanisms. Finally, the fourth peptide is similar to glicentin, an active enteroglucagon.
Product Categories/Family for anti-GCG antibody
NCBI and Uniprot Product Information
NCBI GI #
NCBI GeneID
NCBI Accession #
NCBI GenBank Nucleotide #
Molecular Weight
20,909 Da
NCBI Official Full Name
glucagon preproprotein
NCBI Official Synonym Full Names
glucagon
NCBI Official Symbol
GCG
NCBI Official Synonym Symbols
GLP1; GLP2; GRPP
NCBI Protein Information
glucagon; glicentin-related polypeptide; glucagon-like peptide 1; glucagon-like peptide 2; preproglucagon
UniProt Protein Name
Glucagon
UniProt Gene Name
GCG
UniProt Synonym Gene Names
GRPP; OXM; OXY; GLP-1; GLP-1(7-37); GLP-1(7-36); GLP-2
UniProt Entry Name
GLUC_HUMAN
Similar Products
Product Notes
The GCG gcg (Catalog #AAA166993) is an Antibody produced from Rabbit and is intended for research purposes only. The product is available for immediate purchase. The GCG Polyclonal Antibody reacts with Human, Mouse, Rat and may cross-react with other species as described in the data sheet. AAA Biotech's GCG can be used in a range of immunoassay formats including, but not limited to, IHC (Immunohistochemistry), ELISA. Researchers should empirically determine the suitability of the GCG gcg for an application not listed in the data sheet. Researchers commonly develop new applications and it is an integral, important part of the investigative research process. It is sometimes possible for the material contained within the vial of "GCG, Polyclonal Antibody" to become dispersed throughout the inside of the vial, particularly around the seal of said vial, during shipment and storage. We always suggest centrifuging these vials to consolidate all of the liquid away from the lid and to the bottom of the vial prior to opening. Please be advised that certain products may require dry ice for shipping and that, if this is the case, an additional dry ice fee may also be required.Precautions
All products in the AAA Biotech catalog are strictly for research-use only, and are absolutely not suitable for use in any sort of medical, therapeutic, prophylactic, in-vivo, or diagnostic capacity. By purchasing a product from AAA Biotech, you are explicitly certifying that said products will be properly tested and used in line with industry standard. AAA Biotech and its authorized distribution partners reserve the right to refuse to fulfill any order if we have any indication that a purchaser may be intending to use a product outside of our accepted criteria.Disclaimer
Though we do strive to guarantee the information represented in this datasheet, AAA Biotech cannot be held responsible for any oversights or imprecisions. AAA Biotech reserves the right to adjust any aspect of this datasheet at any time and without notice. It is the responsibility of the customer to inform AAA Biotech of any product performance issues observed or experienced within 30 days of receipt of said product. To see additional details on this or any of our other policies, please see our Terms & Conditions page.Item has been added to Shopping Cart
If you are ready to order, navigate to Shopping Cart and get ready to checkout.
