Rabbit GGA2 Polyclonal Antibody | anti-GGA2 antibody
GGA2 Antibody
Phosphate buffered saline, pH 7.4, 150mM NaCl, 0.02% sodium azide and 50% glycerol.
WB (Western Blot)
(Western blot analysis of brain lysate using GGA2 antibody. The lane on the left is treated with the antigen-specific peptide.)
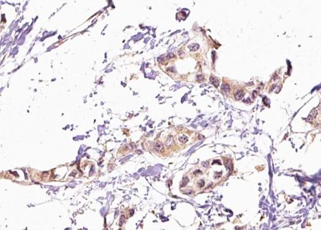
IHC (Immunohistochemistry)
(AAA326099 at 1/100 staining Human breast cancer tissue by IHC-P. The sample was formaldehyde fixed and a heat mediated antigen retrieval step in citrate buffer was performed. The sample was then blocked and incubated with the antibody for 1.5 hours at 22 degree C. An HRP conjugated goat anti-rabbit antibody was used as the secondary.)
Function: Plays a role in protein sorting and trafficking between the trans-Golgi network (TGN) and endosomes. Mediates the ARF-dependent recruitment of clathrin to the TGN and binds ubiquitinated proteins and membrane cargo molecules with a cytosolic acidic cluster-dileucine (AC-LL) motif.
Subunit Structure: Monomer. Interacts with NECAP1, TSG101, UBC and AFTPH/aftiphilin. Interacts with CNST (By similarity). Interacts with GGA1 and GGA3. Binds to clathrin and activated ARFs. Binds RABEP1 and RABGEF1. Interacts with the type-I membrane proteins SORT1, SORL1, LRP3, M6PR/CD-MPR, IGF2R/CI-MPR and BACE1. Binds the accessory proteins CCDC91, P200, SYNRG, EPN4 and NECAP2.
Post-translational Modifications: Ubiquitinated.
Similarity: The VHS domain functions as a recognition module for sorting signals composed of an acidic cluster followed by two leucines (AC-LL motif).The GAT domain is responsible for interaction with ARF-GTP, UBC and RABEP1. Required for recruitment to the TGN it prevents ARF-GTP hydrolysis.The unstructured hinge region contains clathrin-binding but no autoinhibitory (AC-LL) motifs.The GAE domain binds accessory proteins regulating GGAs function. Belongs to the GGA protein family.
NCBI and Uniprot Product Information
Predicted: 68 kDa
Customer Reviews
Loading reviews...
Share Your Experience
Similar Products
Product Notes
The GGA2 gga2 (Catalog #AAA326099) is an Antibody produced from Rabbit and is intended for research purposes only. The product is available for immediate purchase. The GGA2 Antibody reacts with Human, Mouse, Rat and may cross-react with other species as described in the data sheet. AAA Biotech's GGA2 can be used in a range of immunoassay formats including, but not limited to, ELISA, IHC (Immunohistochemistry), WB (Western Blot). Researchers should empirically determine the suitability of the GGA2 gga2 for an application not listed in the data sheet. Researchers commonly develop new applications and it is an integral, important part of the investigative research process. It is sometimes possible for the material contained within the vial of "GGA2, Polyclonal Antibody" to become dispersed throughout the inside of the vial, particularly around the seal of said vial, during shipment and storage. We always suggest centrifuging these vials to consolidate all of the liquid away from the lid and to the bottom of the vial prior to opening. Please be advised that certain products may require dry ice for shipping and that, if this is the case, an additional dry ice fee may also be required.Precautions
All products in the AAA Biotech catalog are strictly for research-use only, and are absolutely not suitable for use in any sort of medical, therapeutic, prophylactic, in-vivo, or diagnostic capacity. By purchasing a product from AAA Biotech, you are explicitly certifying that said products will be properly tested and used in line with industry standard. AAA Biotech and its authorized distribution partners reserve the right to refuse to fulfill any order if we have any indication that a purchaser may be intending to use a product outside of our accepted criteria.Disclaimer
Though we do strive to guarantee the information represented in this datasheet, AAA Biotech cannot be held responsible for any oversights or imprecisions. AAA Biotech reserves the right to adjust any aspect of this datasheet at any time and without notice. It is the responsibility of the customer to inform AAA Biotech of any product performance issues observed or experienced within 30 days of receipt of said product. To see additional details on this or any of our other policies, please see our Terms & Conditions page.Item has been added to Shopping Cart
If you are ready to order, navigate to Shopping Cart and get ready to checkout.
