Rabbit Gle1 Polyclonal Antibody | anti-Gle1 antibody
Gle1 Antibody
Gene Names
GLE1; LCCS; GLE1L; LCCS1; hGLE1
Reactivity
Human, Mouse, Rat
Applications
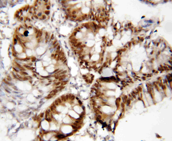
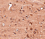
Immunohistochemistry, Western Blot, ELISA
Purity
Affinity chromatography purified via peptide column
Synonyms
Gle1, Antibody; Gle1 Antibody; RNA export mediator; anti-Gle1 antibody
Host
Rabbit
Reactivity
Human, Mouse, Rat
Clonality
Polyclonal
Purity/Purification
Affinity chromatography purified via peptide column
Form/Format
Supplied in PBS containing 0.02% sodium azide.
Sequence Length
698
Applicable Applications for anti-Gle1 antibody
IHC (Immunohistochemistry), WB (Western Blot), ELISA
Immunogen Type
Peptide
Immunogen Description
Raised against a 15 amino acid peptide near the carboxy terminus of human Gle1.
Target Name
Gle1
Preparation and Storage
Can be stored at -20 degree C, stable for one year. As with all antibodies care should be taken to avoid repeated freeze thaw cycles. Antibodies should not be exposed to prolonged high temperatures.
Related Product Information for anti-Gle1 antibody
The proper expression of gene products in eukaryotic cells relies on efficient transport of mRNA molecules out of the nucleus. Gle1 is an essential mRNA export factor in both human and yeast cells. It associates with the nuclear pore complex (NPC) through hCG1 and NUP155 in mammalian cells and in conjunction with inositol hexakisphosphate (IP6), stimulates Dbp5, a member of the DEAD-box helicase family, triggering mRNP remodeling and facilitating RNA export from the nucleus. Recent evidence suggests that mutations in Gle1 causing defects in mRNA export can result in human disease. At least three isoforms of Gle1 are known to exist.
Product Categories/Family for anti-Gle1 antibody
NCBI and Uniprot Product Information
NCBI GI #
NCBI GeneID
NCBI Accession #
NCBI GenBank Nucleotide #
Molecular Weight
75,407 Da
NCBI Official Full Name
nucleoporin GLE1 isoform 1
NCBI Official Synonym Full Names
GLE1 RNA export mediator
NCBI Official Symbol
GLE1
NCBI Official Synonym Symbols
LCCS; GLE1L; LCCS1; hGLE1
NCBI Protein Information
nucleoporin GLE1
UniProt Protein Name
Nucleoporin GLE1
UniProt Gene Name
GLE1
UniProt Synonym Gene Names
GLE1L; hGLE1
UniProt Entry Name
GLE1_HUMAN
Customer Reviews
Loading reviews...
Share Your Experience
Similar Products
Product Notes
The Gle1 gle1 (Catalog #AAA302926) is an Antibody produced from Rabbit and is intended for research purposes only. The product is available for immediate purchase. The Gle1 Antibody reacts with Human, Mouse, Rat and may cross-react with other species as described in the data sheet. AAA Biotech's Gle1 can be used in a range of immunoassay formats including, but not limited to, IHC (Immunohistochemistry), WB (Western Blot), ELISA. Researchers should empirically determine the suitability of the Gle1 gle1 for an application not listed in the data sheet. Researchers commonly develop new applications and it is an integral, important part of the investigative research process. It is sometimes possible for the material contained within the vial of "Gle1, Polyclonal Antibody" to become dispersed throughout the inside of the vial, particularly around the seal of said vial, during shipment and storage. We always suggest centrifuging these vials to consolidate all of the liquid away from the lid and to the bottom of the vial prior to opening. Please be advised that certain products may require dry ice for shipping and that, if this is the case, an additional dry ice fee may also be required.Precautions
All products in the AAA Biotech catalog are strictly for research-use only, and are absolutely not suitable for use in any sort of medical, therapeutic, prophylactic, in-vivo, or diagnostic capacity. By purchasing a product from AAA Biotech, you are explicitly certifying that said products will be properly tested and used in line with industry standard. AAA Biotech and its authorized distribution partners reserve the right to refuse to fulfill any order if we have any indication that a purchaser may be intending to use a product outside of our accepted criteria.Disclaimer
Though we do strive to guarantee the information represented in this datasheet, AAA Biotech cannot be held responsible for any oversights or imprecisions. AAA Biotech reserves the right to adjust any aspect of this datasheet at any time and without notice. It is the responsibility of the customer to inform AAA Biotech of any product performance issues observed or experienced within 30 days of receipt of said product. To see additional details on this or any of our other policies, please see our Terms & Conditions page.Item has been added to Shopping Cart
If you are ready to order, navigate to Shopping Cart and get ready to checkout.
