Rabbit anti-Human GLUD2 Polyclonal Antibody | anti-GLUD2 antibody
GLUD2 antibody
Gene Names
GLUD2; GDH2; GLUDP1
Reactivity
Human
Applications
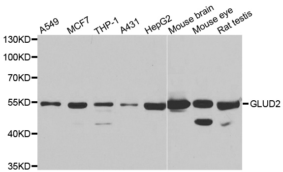
Immunofluorescence, Western Blot
Purity
Antibodies were purified by affinity purification using immunogen.
Synonyms
GLUD2, Antibody; GLUD2 antibody; GDH2; GLUDP1; anti-GLUD2 antibody
Host
Rabbit
Reactivity
Human
Clonality
Polyclonal
Specificity
The antibody detects endogenous level of total GLUD2 antibody.
Purity/Purification
Antibodies were purified by affinity purification using immunogen.
Form/Format
Supplied at 1.0mg/mL in phosphate buffered saline (without Mg2+ and Ca2+), pH 7.4, 150mM NaCl, 0.02% sodium azide and 50% glycerol.
Concentration
1.0 mg/ml (varies by lot)
Sequence Length
558
Applicable Applications for anti-GLUD2 antibody
IF (Immunofluorescence), WB (Western Blot)
Immunogen Type
Recombinant Protein
Immunogen Description
Recombinant protein of human GLUD2.
Target Name
GLUD2
Preparation and Storage
Store at -20 degree C
Related Product Information for anti-GLUD2 antibody
The protein encoded by this gene is localized to the mitochondrion and acts as a homohexamer to recycle glutamate during neurotransmission. The encoded enzyme catalyzes the reversible oxidative deamination of glutamate to alpha-ketoglutarate. This gene is intronless.
Product Categories/Family for anti-GLUD2 antibody
NCBI and Uniprot Product Information
NCBI GI #
NCBI GeneID
NCBI Accession #
NCBI GenBank Nucleotide #
Molecular Weight
61,434 Da
NCBI Official Full Name
glutamate dehydrogenase 2, mitochondrial
NCBI Official Synonym Full Names
glutamate dehydrogenase 2
NCBI Official Symbol
GLUD2
NCBI Official Synonym Symbols
GDH2; GLUDP1
NCBI Protein Information
glutamate dehydrogenase 2, mitochondrial
UniProt Protein Name
Glutamate dehydrogenase 2, mitochondrial
UniProt Gene Name
GLUD2
UniProt Synonym Gene Names
GLUDP1; GDH 2
UniProt Entry Name
DHE4_HUMAN
Customer Reviews
Loading reviews...
Share Your Experience
Similar Products
Product Notes
The GLUD2 glud2 (Catalog #AAA302676) is an Antibody produced from Rabbit and is intended for research purposes only. The product is available for immediate purchase. The GLUD2 antibody reacts with Human and may cross-react with other species as described in the data sheet. AAA Biotech's GLUD2 can be used in a range of immunoassay formats including, but not limited to, IF (Immunofluorescence), WB (Western Blot). Researchers should empirically determine the suitability of the GLUD2 glud2 for an application not listed in the data sheet. Researchers commonly develop new applications and it is an integral, important part of the investigative research process. It is sometimes possible for the material contained within the vial of "GLUD2, Polyclonal Antibody" to become dispersed throughout the inside of the vial, particularly around the seal of said vial, during shipment and storage. We always suggest centrifuging these vials to consolidate all of the liquid away from the lid and to the bottom of the vial prior to opening. Please be advised that certain products may require dry ice for shipping and that, if this is the case, an additional dry ice fee may also be required.Precautions
All products in the AAA Biotech catalog are strictly for research-use only, and are absolutely not suitable for use in any sort of medical, therapeutic, prophylactic, in-vivo, or diagnostic capacity. By purchasing a product from AAA Biotech, you are explicitly certifying that said products will be properly tested and used in line with industry standard. AAA Biotech and its authorized distribution partners reserve the right to refuse to fulfill any order if we have any indication that a purchaser may be intending to use a product outside of our accepted criteria.Disclaimer
Though we do strive to guarantee the information represented in this datasheet, AAA Biotech cannot be held responsible for any oversights or imprecisions. AAA Biotech reserves the right to adjust any aspect of this datasheet at any time and without notice. It is the responsibility of the customer to inform AAA Biotech of any product performance issues observed or experienced within 30 days of receipt of said product. To see additional details on this or any of our other policies, please see our Terms & Conditions page.Item has been added to Shopping Cart
If you are ready to order, navigate to Shopping Cart and get ready to checkout.
