Rabbit GMNN Polyclonal Antibody | anti-GMNN antibody
GMNN Antibody
Phosphate buffered saline, pH 7.4, 150mM NaCl, 0.02% sodium azide and 50% glycerol.
WB (Western Blot)
(Western blot analysis of HEK293 whole cell lysate, using GMNN Antibody. The lane on the left is treated with the antigen-specific peptide.)
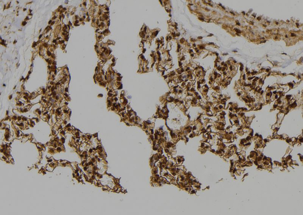
IHC (Immunohistochemistry)
(AAA326973 at 1/100 staining Rat lung tissue by IHC-P. The sample was formaldehyde fixed and a heat mediated antigen retrieval step in citrate buffer was performed. The sample was then blocked and incubated with the antibody for 1.5 hours at 22 degree C. An HRP conjugated goat anti-rabbit antibody was used as the secondary.)
Function: Inhibits DNA replication by preventing the incorporation of MCM complex into pre-replication complex (pre-RC). It is degraded during the mitotic phase of the cell cycle. Its destruction at the metaphase-anaphase transition permits replication in the succeeding cell cycle.
Subunit Structure: Homotetramer. Interacts with CDT1; this inhibits binding of the MCM complex to origins of replication. The complex with CDT1 exists in two forms, a "permissive" heterotrimer and an "inhibitory" heterohexamer. Interacts (via coiled-coil domain) with IDAS (via coiled-coil domain); this targets GMNN to the nucleus. The heterodimer formed by GMNN and MCIDAS has much lower affinity for CDT1 than the GMNN homodimer. Interacts with a subset of Hox proteins, affinity increasing from anterior to posterior types, the strongest interaction being with HOXB1, HOXC9 and HOXD10. Interacts with LRWD1 from G1/S to mitosis.
Post-translational Modifications: Phosphorylated during mitosis. Phosphorylation at Ser-184 by CK2 results in enhanced binding to Hox proteins and more potent inhibitory effect on Hox transcriptional activity.
Similarity: Belongs to the geminin family.
NCBI and Uniprot Product Information
Predicted: 24 kDa
Customer Reviews
Loading reviews...
Share Your Experience
Similar Products
Product Notes
The GMNN gmnn (Catalog #AAA326973) is an Antibody produced from Rabbit and is intended for research purposes only. The product is available for immediate purchase. The GMNN Antibody reacts with Human, Mouse, Rat and may cross-react with other species as described in the data sheet. AAA Biotech's GMNN can be used in a range of immunoassay formats including, but not limited to, ELISA, IHC (Immunohistochemistry), WB (Western Blot). Researchers should empirically determine the suitability of the GMNN gmnn for an application not listed in the data sheet. Researchers commonly develop new applications and it is an integral, important part of the investigative research process. It is sometimes possible for the material contained within the vial of "GMNN, Polyclonal Antibody" to become dispersed throughout the inside of the vial, particularly around the seal of said vial, during shipment and storage. We always suggest centrifuging these vials to consolidate all of the liquid away from the lid and to the bottom of the vial prior to opening. Please be advised that certain products may require dry ice for shipping and that, if this is the case, an additional dry ice fee may also be required.Precautions
All products in the AAA Biotech catalog are strictly for research-use only, and are absolutely not suitable for use in any sort of medical, therapeutic, prophylactic, in-vivo, or diagnostic capacity. By purchasing a product from AAA Biotech, you are explicitly certifying that said products will be properly tested and used in line with industry standard. AAA Biotech and its authorized distribution partners reserve the right to refuse to fulfill any order if we have any indication that a purchaser may be intending to use a product outside of our accepted criteria.Disclaimer
Though we do strive to guarantee the information represented in this datasheet, AAA Biotech cannot be held responsible for any oversights or imprecisions. AAA Biotech reserves the right to adjust any aspect of this datasheet at any time and without notice. It is the responsibility of the customer to inform AAA Biotech of any product performance issues observed or experienced within 30 days of receipt of said product. To see additional details on this or any of our other policies, please see our Terms & Conditions page.Item has been added to Shopping Cart
If you are ready to order, navigate to Shopping Cart and get ready to checkout.
