Rabbit GPAT1 Polyclonal Antibody | anti-GPAT1 antibody
GPAT1 Antibody
Gene Names
GPAM; GPAT; GPAT1
Reactivity
Human, Mouse, Rat
Applications
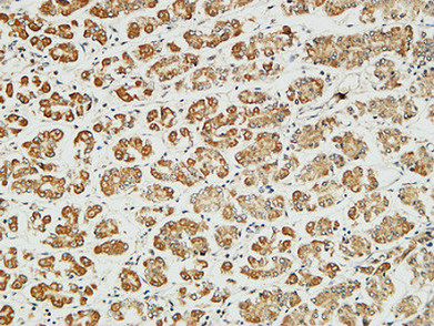
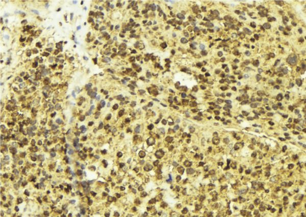
Immunohistochemistry, Western Blot, ELISA
Purity
Affinity chromatography purified via peptide column
Synonyms
GPAT1, Antibody; GPAT1 Antibody; Glycerol-3-phosphate acyltransferase 1, GPAM; anti-GPAT1 antibody
Host
Rabbit
Reactivity
Human, Mouse, Rat
Clonality
Polyclonal
Purity/Purification
Affinity chromatography purified via peptide column
Form/Format
Supplied in PBS containing 0.02% sodium azide.
Concentration
1mg/ml (varies by lot)
Sequence Length
828
Applicable Applications for anti-GPAT1 antibody
IHC (Immunohistochemistry), WB (Western Blot), ELISA
Immunogen Type
Peptide
Immunogen Description
Raised against a 15 amino acid peptide near the carboxy terminus of the human GPAT1.
Target Name
GPAT1
Preparation and Storage
Can be stored at -20 degree C, stable for one year. As with all antibodies care should be taken to avoid repeated freeze thaw cycles. Antibodies should not be exposed to prolonged high temperatures.
Related Product Information for anti-GPAT1 antibody
Glycerol-3-phosphate acyltransferase 1 (GPAT1), one of four known GPAT isoforms, is located on the mitochondrial outer membrane, allowing reciprocal regulation with carnitine palmitoyltransferase-1. It is thought to be critical for the development of hepatic steatosis; steatosis triggered by GPAT1 overexpression leads to hepatic and possibly peripheral insulin resistance. GPAT1 is transcriptionally upregulated by insulin and sterol regulatory element binding protein (SREBP-1) and downregulated by AMP-activated protein kinase. Mice deficient in GPAT1 exhibit decreased triacylglycerol (TAG) in cardiomyocytes even in high-fat diets, suggesting that GPAT1 contributes significantly to TAG accumulation in heart tissue during lipogenic or high fat diets. At least two isoforms of GPAT1 are known to exist.
Product Categories/Family for anti-GPAT1 antibody
NCBI and Uniprot Product Information
NCBI GI #
NCBI GeneID
NCBI Accession #
NCBI GenBank Nucleotide #
NCBI Official Full Name
glycerol-3-phosphate acyltransferase 1, mitochondrial
NCBI Official Synonym Full Names
glycerol-3-phosphate acyltransferase, mitochondrial
NCBI Official Symbol
GPAM
NCBI Official Synonym Symbols
GPAT; GPAT1
NCBI Protein Information
glycerol-3-phosphate acyltransferase 1, mitochondrial
UniProt Protein Name
Glycerol-3-phosphate acyltransferase 1, mitochondrial
UniProt Gene Name
GPAM
UniProt Synonym Gene Names
GPAT1; KIAA1560; GPAT-1
UniProt Entry Name
GPAT1_HUMAN
Customer Reviews
Loading reviews...
Share Your Experience
Similar Products
Product Notes
The GPAT1 gpam (Catalog #AAA306077) is an Antibody produced from Rabbit and is intended for research purposes only. The product is available for immediate purchase. The GPAT1 Antibody reacts with Human, Mouse, Rat and may cross-react with other species as described in the data sheet. AAA Biotech's GPAT1 can be used in a range of immunoassay formats including, but not limited to, IHC (Immunohistochemistry), WB (Western Blot), ELISA. Researchers should empirically determine the suitability of the GPAT1 gpam for an application not listed in the data sheet. Researchers commonly develop new applications and it is an integral, important part of the investigative research process. It is sometimes possible for the material contained within the vial of "GPAT1, Polyclonal Antibody" to become dispersed throughout the inside of the vial, particularly around the seal of said vial, during shipment and storage. We always suggest centrifuging these vials to consolidate all of the liquid away from the lid and to the bottom of the vial prior to opening. Please be advised that certain products may require dry ice for shipping and that, if this is the case, an additional dry ice fee may also be required.Precautions
All products in the AAA Biotech catalog are strictly for research-use only, and are absolutely not suitable for use in any sort of medical, therapeutic, prophylactic, in-vivo, or diagnostic capacity. By purchasing a product from AAA Biotech, you are explicitly certifying that said products will be properly tested and used in line with industry standard. AAA Biotech and its authorized distribution partners reserve the right to refuse to fulfill any order if we have any indication that a purchaser may be intending to use a product outside of our accepted criteria.Disclaimer
Though we do strive to guarantee the information represented in this datasheet, AAA Biotech cannot be held responsible for any oversights or imprecisions. AAA Biotech reserves the right to adjust any aspect of this datasheet at any time and without notice. It is the responsibility of the customer to inform AAA Biotech of any product performance issues observed or experienced within 30 days of receipt of said product. To see additional details on this or any of our other policies, please see our Terms & Conditions page.Item has been added to Shopping Cart
If you are ready to order, navigate to Shopping Cart and get ready to checkout.
