Rabbit GRIA2 Polyclonal Antibody | anti-GRIA2 antibody
GRIA2 Polyclonal Antibody
Gene Names
GRIA2; GLUR2; GLURB; GluA2; HBGR2; GluR-K2
Reactivity
Human, Mouse, Rat
Applications
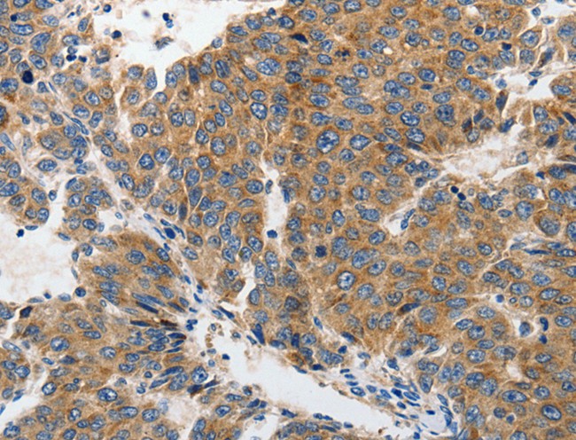
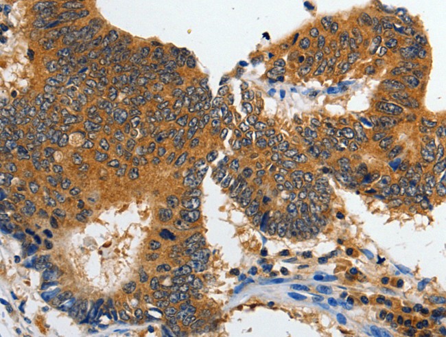
Immunohistochemistry, ELISA
Purity
Antigen affinity purification
Synonyms
GRIA2, Antibody; GRIA2 Polyclonal Antibody; GLUR2, GLURB, GluA2, HBGR2, GluR-K2; anti-GRIA2 antibody
Host
Rabbit
Reactivity
Human, Mouse, Rat
Clonality
Polyclonal
Isotype
IgG
Purity/Purification
Antigen affinity purification
Concentration
2mg/mL (varies by lot)
Sequence Length
836
Applicable Applications for anti-GRIA2 antibody
IHC (Immunohistochemistry), ELISA
Immunogen
Synthetic peptide of human GRIA2
Buffer
PBS with 0.05% sodium azide, 50% glycerol, pH7.3
Preparation and Storage
Store at -20 degree C (regular) and -80 degree C (long term). Avoid freeze / thaw cycles.
Related Product Information for anti-GRIA2 antibody
Glutamate receptors are the predominant excitatory neurotransmitter receptors in the mammalian brain and are activated in a variety of normal neurophysiologic processes. This gene product belongs to a family of glutamate receptors that are sensitive to alpha-amino-3-hydroxy-5-methyl-4-isoxazole propionate (AMPA), and function as ligand-activated cation channels. These channels are assembled from 4 related subunits, GRIA1-4. The subunit encoded by this gene (GRIA2) is subject to RNA editing (CAG->CGG; Q->R) within the second transmembrane domain, which is thought to render the channel impermeable to Ca(2+). Human and animal studies suggest that pre-mRNA editing is essential for brain function, and defective GRIA2 RNA editing at the Q/R site may be relevant to amyotrophic lateral sclerosis (ALS) etiology. Alternative splicing, resulting in transcript variants encoding different isoforms, (including the flip and flop isoforms that vary in their signal transduction properties), has been noted for this gene.
Product Categories/Family for anti-GRIA2 antibody
NCBI and Uniprot Product Information
NCBI GI #
NCBI GeneID
NCBI Accession #
NCBI GenBank Nucleotide #
Molecular Weight
93,775 Da
NCBI Official Full Name
glutamate receptor 2 isoform 3
NCBI Official Synonym Full Names
glutamate receptor, ionotropic, AMPA 2
NCBI Official Symbol
GRIA2
NCBI Official Synonym Symbols
GLUR2; GLURB; GluA2; HBGR2; GluR-K2
NCBI Protein Information
glutamate receptor 2; AMPA-selective glutamate receptor 2; gluR-2; gluR-B
UniProt Protein Name
Glutamate receptor 2
UniProt Gene Name
GRIA2
UniProt Synonym Gene Names
GLUR2; GluR-2; GluA2
UniProt Entry Name
GRIA2_HUMAN
Customer Reviews
Loading reviews...
Share Your Experience
Similar Products
Product Notes
The GRIA2 gria2 (Catalog #AAA168435) is an Antibody produced from Rabbit and is intended for research purposes only. The product is available for immediate purchase. The GRIA2 Polyclonal Antibody reacts with Human, Mouse, Rat and may cross-react with other species as described in the data sheet. AAA Biotech's GRIA2 can be used in a range of immunoassay formats including, but not limited to, IHC (Immunohistochemistry), ELISA. Researchers should empirically determine the suitability of the GRIA2 gria2 for an application not listed in the data sheet. Researchers commonly develop new applications and it is an integral, important part of the investigative research process. It is sometimes possible for the material contained within the vial of "GRIA2, Polyclonal Antibody" to become dispersed throughout the inside of the vial, particularly around the seal of said vial, during shipment and storage. We always suggest centrifuging these vials to consolidate all of the liquid away from the lid and to the bottom of the vial prior to opening. Please be advised that certain products may require dry ice for shipping and that, if this is the case, an additional dry ice fee may also be required.Precautions
All products in the AAA Biotech catalog are strictly for research-use only, and are absolutely not suitable for use in any sort of medical, therapeutic, prophylactic, in-vivo, or diagnostic capacity. By purchasing a product from AAA Biotech, you are explicitly certifying that said products will be properly tested and used in line with industry standard. AAA Biotech and its authorized distribution partners reserve the right to refuse to fulfill any order if we have any indication that a purchaser may be intending to use a product outside of our accepted criteria.Disclaimer
Though we do strive to guarantee the information represented in this datasheet, AAA Biotech cannot be held responsible for any oversights or imprecisions. AAA Biotech reserves the right to adjust any aspect of this datasheet at any time and without notice. It is the responsibility of the customer to inform AAA Biotech of any product performance issues observed or experienced within 30 days of receipt of said product. To see additional details on this or any of our other policies, please see our Terms & Conditions page.Item has been added to Shopping Cart
If you are ready to order, navigate to Shopping Cart and get ready to checkout.
