Rabbit GRIK2 Polyclonal Antibody | anti-GRIK2 antibody
GRIK2 Antibody
Phosphate buffered saline, pH 7.4, 150mM NaCl, 0.02% sodium azide and 50% glycerol.
WB (Western Blot)
(Western blot analysis of Mouse brain lysate, using GRIK2 Antibody. The lane on the left is treated with the antigen-specific peptide.)
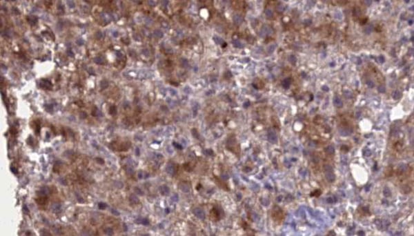
IHC (Immunohistochemistry)
(AAA326470 at 1/100 staining Human liver cancer tissue by IHC-P. The sample was formaldehyde fixed and a heat mediated antigen retrieval step in citrate buffer was performed. The sample was then blocked and incubated with the antibody for 1.5 hours at 22 degree C. An HRP conjugated goat anti-rabbit antibody was used as the secondary.)
Function: Ionotropic glutamate receptor. L-glutamate acts as an excitatory neurotransmitter at many synapses in the central nervous system. Binding of the excitatory neurotransmitter L-glutamate induces a conformation change, leading to the opening of the cation channel, and thereby converts the chemical signal to an electrical impulse. The receptor then desensitizes rapidly and enters a transient inactive state, characterized by the presence of bound agonist (PubMed:28180184). May be involved in the transmission of light information from the retina to the hypothalamus. Modulates cell surface expression of NETO2 (By similarity).
Subunit Structure: Homotetramer or heterotetramer of pore-forming glutamate receptor subunits. Tetramers may be formed by the dimerization of dimers (Probable). Assembles into a kainate-gated homomeric channel that does not bind AMPA. GRIK2 associated to GRIK5 forms functional channels that can be gated by AMPA (By similarity). Interacts with DLG4. Interacts with NETO2 (By similarity). Interacts (via C-terminus) with KLHL17 (via kelch repeats); the interaction targets GRIK2 for degradation via ubiquitin-proteasome pathway (By similarity).
Post-translational Modifications: Sumoylation mediates kainate receptor-mediated endocytosis and regulates synaptic transmission. Sumoylation is enhanced by PIAS3 and desumoylated by SENP1 (By similarity). Ubiquitinated. Ubiquitination regulates the GRIK2 levels at the synapse by leading kainate receptor degradation through proteasome (By similarity). Phosphorylated by PKC at Ser-868 upon agonist activation, this directly enhance sumoylation.
Similarity: Belongs to the glutamate-gated ion channel (TC 1.A.10.1) family. GRIK2 subfamily.
NCBI and Uniprot Product Information
Predicted: 103 kDa
Customer Reviews
Loading reviews...
Share Your Experience
Similar Products
Product Notes
The GRIK2 grik2 (Catalog #AAA326470) is an Antibody produced from Rabbit and is intended for research purposes only. The product is available for immediate purchase. The GRIK2 Antibody reacts with Human, Mouse, Rat and may cross-react with other species as described in the data sheet. AAA Biotech's GRIK2 can be used in a range of immunoassay formats including, but not limited to, ELISA, IHC (Immunohistochemistry), WB (Western Blot). Researchers should empirically determine the suitability of the GRIK2 grik2 for an application not listed in the data sheet. Researchers commonly develop new applications and it is an integral, important part of the investigative research process. It is sometimes possible for the material contained within the vial of "GRIK2, Polyclonal Antibody" to become dispersed throughout the inside of the vial, particularly around the seal of said vial, during shipment and storage. We always suggest centrifuging these vials to consolidate all of the liquid away from the lid and to the bottom of the vial prior to opening. Please be advised that certain products may require dry ice for shipping and that, if this is the case, an additional dry ice fee may also be required.Precautions
All products in the AAA Biotech catalog are strictly for research-use only, and are absolutely not suitable for use in any sort of medical, therapeutic, prophylactic, in-vivo, or diagnostic capacity. By purchasing a product from AAA Biotech, you are explicitly certifying that said products will be properly tested and used in line with industry standard. AAA Biotech and its authorized distribution partners reserve the right to refuse to fulfill any order if we have any indication that a purchaser may be intending to use a product outside of our accepted criteria.Disclaimer
Though we do strive to guarantee the information represented in this datasheet, AAA Biotech cannot be held responsible for any oversights or imprecisions. AAA Biotech reserves the right to adjust any aspect of this datasheet at any time and without notice. It is the responsibility of the customer to inform AAA Biotech of any product performance issues observed or experienced within 30 days of receipt of said product. To see additional details on this or any of our other policies, please see our Terms & Conditions page.Item has been added to Shopping Cart
If you are ready to order, navigate to Shopping Cart and get ready to checkout.
