Rabbit GRIK3 Polyclonal Antibody | anti-GRIK3 antibody
GRIK3 Antibody (N-term)
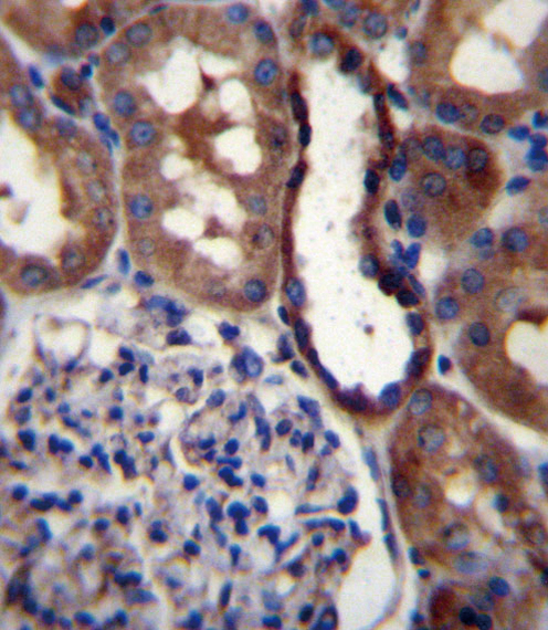
IHC (Immunohiostchemistry)
(GRIK3 Antibody (N-term) immunohistochemistry analysis in formalin fixed and paraffin embedded human kidney tissue followed by peroxidase conjugation of the secondary antibody and DAB staining.This data demonstrates the use of GRIK3 Antibody (N-term) for immunohistochemistry. Clinical relevance has not been evaluated.)
WB (Western Blot)
(GRIK3 Antibody (N-term) western blot analysis in mouse stomach tissue lysates (35ug/lane).This demonstrates the GRIK3 antibody detected the GRIK3 protein (arrow).)
neurotransmitter receptors in the mammalian brain and are activated
in a variety of normal neurophysiologic processes. This gene
product belongs to the kainate family of glutamate receptors, which
are composed of four subunits and function as ligand-activated ion
channels. It is not certain if the subunit encoded by this gene is
subject to RNA editing as the other 2 family members (GRIK1 and
GRIK2). A Ser310Ala polymorphism has been associated with
schizophrenia, and there are conflicting reports of its association
with the pathogenesis of delirium tremens in alcoholics. [provided
by RefSeq].
Luciano, M., et al. Behav. Genet. 40(4):518-532(2010)
Kilic, G., et al. Psychiatry Res 175 (1-2), 43-46 (2010) :
Gill, M.B., et al. J. Biol. Chem. 284(21):14503-14512(2009)
Ahmad, Y., et al. World J. Biol. Psychiatry 10(4):330-333(2009)
NCBI and Uniprot Product Information
Customer Reviews
Loading reviews...
Share Your Experience
Similar Products
Product Notes
The GRIK3 grik3 (Catalog #AAA284374) is an Antibody produced from Rabbit and is intended for research purposes only. The product is available for immediate purchase. The immunogen sequence is 70-98. The GRIK3 Antibody (N-term) reacts with Mouse (Predicted Reactivity: Monkey, Rat) and may cross-react with other species as described in the data sheet. AAA Biotech's GRIK3 can be used in a range of immunoassay formats including, but not limited to, IHC (Immunohistochemistry), ELISA, WB (Western Blot). Researchers should empirically determine the suitability of the GRIK3 grik3 for an application not listed in the data sheet. Researchers commonly develop new applications and it is an integral, important part of the investigative research process. It is sometimes possible for the material contained within the vial of "GRIK3, Polyclonal Antibody" to become dispersed throughout the inside of the vial, particularly around the seal of said vial, during shipment and storage. We always suggest centrifuging these vials to consolidate all of the liquid away from the lid and to the bottom of the vial prior to opening. Please be advised that certain products may require dry ice for shipping and that, if this is the case, an additional dry ice fee may also be required.Precautions
All products in the AAA Biotech catalog are strictly for research-use only, and are absolutely not suitable for use in any sort of medical, therapeutic, prophylactic, in-vivo, or diagnostic capacity. By purchasing a product from AAA Biotech, you are explicitly certifying that said products will be properly tested and used in line with industry standard. AAA Biotech and its authorized distribution partners reserve the right to refuse to fulfill any order if we have any indication that a purchaser may be intending to use a product outside of our accepted criteria.Disclaimer
Though we do strive to guarantee the information represented in this datasheet, AAA Biotech cannot be held responsible for any oversights or imprecisions. AAA Biotech reserves the right to adjust any aspect of this datasheet at any time and without notice. It is the responsibility of the customer to inform AAA Biotech of any product performance issues observed or experienced within 30 days of receipt of said product. To see additional details on this or any of our other policies, please see our Terms & Conditions page.Item has been added to Shopping Cart
If you are ready to order, navigate to Shopping Cart and get ready to checkout.
