Rabbit GTF2IRD1 Polyclonal Antibody | anti-GTF2IRD1 antibody
GTF2IRD1 antibody - N-terminal region
Gene Names
GTF2IRD1; BEN; WBS; GTF3; RBAP2; CREAM1; MUSTRD1; WBSCR11; WBSCR12; hMusTRD1alpha1
Reactivity
Cow, Dog, Guinea Pig, Horse, Human, Pig, Rabbit, Rat
Applications
Western Blot, Immunohistochemistry
Purity
Protein A purified
Synonyms
GTF2IRD1, Antibody; GTF2IRD1 antibody - N-terminal region; anti-GTF2IRD1 antibody
Host
Rabbit
Reactivity
Cow, Dog, Guinea Pig, Horse, Human, Pig, Rabbit, Rat
Clonality
Polyclonal
Purity/Purification
Protein A purified
Form/Format
Liquid. Purified antibody supplied in 1x PBS buffer with 0.09% (w/v) sodium azide and 2% sucrose.
Sequence
Synthetic peptide located within the following region: MALLGKRCDVPTNGCGPDRWNSAFTRKDEIITSLVSALDSMCSALSKLNA
Sequence Length
959
Applicable Applications for anti-GTF2IRD1 antibody
WB (Western Blot), IHC (Immunohistochemistry)
Homology
Cow: 93%; Dog: 100%; Guinea Pig: 79%; Horse: 93%; Human: 100%; Pig: 93%; Rabbit: 86%; Rat: 100%
Immunogen
The immunogen is a synthetic peptide directed towards the N terminal region of human GTF2IRD1
Preparation and Storage
For short term use, store at 2-8 degree C up to 1 week. For long term storage, store at -20 degree C in small aliquots to prevent freeze-thaw cycles.
Related Product Information for anti-GTF2IRD1 antibody
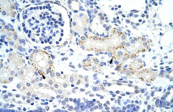
This is a rabbit polyclonal antibody against GTF2IRD1. It was validated on Western Blot and immunohistochemistry
Target Description: GTF2IRD1 contains five GTF2I-like repeats and each repeat possesses a potential helix-loop-helix (HLH) motif. It may have the ability to interact with other HLH-proteins and function as a transcription factor or as a positive transcriptional regulator under the control of Retinoblastoma protein. GTF2IRD1 is related to Williams-Beuren syndrome, a multisystem developmental disorder. Western blots using three different antibodies against three unique regions of this protein target confirm the same apparent molecular weight in our tests. The protein encoded by this gene contains five GTF2I-like repeats and each repeat possesses a potential helix-loop-helix (HLH) motif. It may have the ability to interact with other HLH-proteins and function as a transcription factor or as a positive transcriptional regulator under the control of Retinoblastoma protein. This gene is deleted in Williams-Beuren syndrome, a multisystem developmental disorder caused by deletion of multiple genes at 7q11.23. Alternative splicing of this gene generates at least 2 transcript variants.
Target Description: GTF2IRD1 contains five GTF2I-like repeats and each repeat possesses a potential helix-loop-helix (HLH) motif. It may have the ability to interact with other HLH-proteins and function as a transcription factor or as a positive transcriptional regulator under the control of Retinoblastoma protein. GTF2IRD1 is related to Williams-Beuren syndrome, a multisystem developmental disorder. Western blots using three different antibodies against three unique regions of this protein target confirm the same apparent molecular weight in our tests. The protein encoded by this gene contains five GTF2I-like repeats and each repeat possesses a potential helix-loop-helix (HLH) motif. It may have the ability to interact with other HLH-proteins and function as a transcription factor or as a positive transcriptional regulator under the control of Retinoblastoma protein. This gene is deleted in Williams-Beuren syndrome, a multisystem developmental disorder caused by deletion of multiple genes at 7q11.23. Alternative splicing of this gene generates at least 2 transcript variants.
Product Categories/Family for anti-GTF2IRD1 antibody
NCBI and Uniprot Product Information
NCBI GI #
NCBI GeneID
NCBI Accession #
NCBI GenBank Nucleotide #
UniProt Accession #
Molecular Weight
106kDa
NCBI Official Full Name
general transcription factor II-I repeat domain-containing protein 1 isoform 1
NCBI Official Synonym Full Names
GTF2I repeat domain containing 1
NCBI Official Symbol
GTF2IRD1
NCBI Official Synonym Symbols
BEN; WBS; GTF3; RBAP2; CREAM1; MUSTRD1; WBSCR11; WBSCR12; hMusTRD1alpha1
NCBI Protein Information
general transcription factor II-I repeat domain-containing protein 1
UniProt Protein Name
General transcription factor II-I repeat domain-containing protein 1
UniProt Gene Name
GTF2IRD1
UniProt Synonym Gene Names
CREAM1; GTF3; MUSTRD1; RBAP2; WBSCR11; WBSCR12; GTF2I repeat domain-containing protein 1
UniProt Entry Name
GT2D1_HUMAN
Customer Reviews
Loading reviews...
Share Your Experience
Similar Products
Product Notes
The GTF2IRD1 gtf2ird1 (Catalog #AAA198462) is an Antibody produced from Rabbit and is intended for research purposes only. The product is available for immediate purchase. The GTF2IRD1 antibody - N-terminal region reacts with Cow, Dog, Guinea Pig, Horse, Human, Pig, Rabbit, Rat and may cross-react with other species as described in the data sheet. AAA Biotech's GTF2IRD1 can be used in a range of immunoassay formats including, but not limited to, WB (Western Blot), IHC (Immunohistochemistry). Researchers should empirically determine the suitability of the GTF2IRD1 gtf2ird1 for an application not listed in the data sheet. Researchers commonly develop new applications and it is an integral, important part of the investigative research process. The amino acid sequence is listed below: Synthetic peptide located within the following region: MALLGKRCDV PTNGCGPDRW NSAFTRKDEI ITSLVSALDS MCSALSKLNA. It is sometimes possible for the material contained within the vial of "GTF2IRD1, Polyclonal Antibody" to become dispersed throughout the inside of the vial, particularly around the seal of said vial, during shipment and storage. We always suggest centrifuging these vials to consolidate all of the liquid away from the lid and to the bottom of the vial prior to opening. Please be advised that certain products may require dry ice for shipping and that, if this is the case, an additional dry ice fee may also be required.Precautions
All products in the AAA Biotech catalog are strictly for research-use only, and are absolutely not suitable for use in any sort of medical, therapeutic, prophylactic, in-vivo, or diagnostic capacity. By purchasing a product from AAA Biotech, you are explicitly certifying that said products will be properly tested and used in line with industry standard. AAA Biotech and its authorized distribution partners reserve the right to refuse to fulfill any order if we have any indication that a purchaser may be intending to use a product outside of our accepted criteria.Disclaimer
Though we do strive to guarantee the information represented in this datasheet, AAA Biotech cannot be held responsible for any oversights or imprecisions. AAA Biotech reserves the right to adjust any aspect of this datasheet at any time and without notice. It is the responsibility of the customer to inform AAA Biotech of any product performance issues observed or experienced within 30 days of receipt of said product. To see additional details on this or any of our other policies, please see our Terms & Conditions page.Item has been added to Shopping Cart
If you are ready to order, navigate to Shopping Cart and get ready to checkout.
