Rabbit anti-Human Haptoglobin Polyclonal Antibody | anti-HP antibody
Haptoglobin Polyclonal Antibody
Gene Names
HP; BP; HPA1S; HP2ALPHA2
Reactivity
Human
Applications
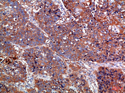
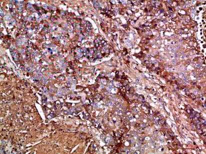
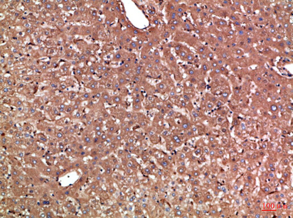
Immunohistochemistry
Synonyms
Haptoglobin, Antibody; Haptoglobin Polyclonal Antibody; Haptoglobin (Zonulin)[Cleaved into: Haptoglobin alpha chain; Haptoglobin beta chain]; anti-HP antibody
Host
Rabbit
Reactivity
Human
Clonality
Polyclonal
Applicable Applications for anti-HP antibody
IHC (Immunohistochemistry)
Preparation and Storage
Maintain refrigerated at 2-8 degree C for up to 2 weeks. For long term storage store at -20 degree C in small aliquots to prevent freeze-thaw cycles.
Related Product Information for anti-HP antibody
As a result of hemolysis, hemoglobin is found to accumulate in the kidney and is secreted in the urine. Haptoglobin captures, and combines with free plasma hemoglobin to allow hepatic recycling of heme iron and to prevent kidney damage. Haptoglobin also acts as an antioxidant, has antibacterial activity, and plays a role in modulating many aspects of the acute phase response. Hemoglobin/haptoglobin complexes are rapidly cleared by the macrophage CD163 scavenger receptor expressed on the surface of liver Kupfer cells through an endocytic lysosomal degradation pathway.
NCBI and Uniprot Product Information
NCBI GI #
NCBI GeneID
Molecular Weight
45,205 Da
NCBI Official Full Name
haptoglobin
NCBI Official Synonym Full Names
haptoglobin
NCBI Official Symbol
HP
NCBI Official Synonym Symbols
BP; HPA1S; HP2ALPHA2
NCBI Protein Information
haptoglobin; zonulin; binding peptide; haptoglobin alpha(1S)-beta; haptoglobin alpha(2FS)-beta; haptoglobin, beta polypeptide; haptoglobin, alpha polypeptide
UniProt Protein Name
Haptoglobin
UniProt Gene Name
HP
UniProt Entry Name
HPT_HUMAN
Customer Reviews
Loading reviews...
Share Your Experience
Similar Products
Product Notes
The HP hp (Catalog #AAA296617) is an Antibody produced from Rabbit and is intended for research purposes only. The product is available for immediate purchase. The Haptoglobin Polyclonal Antibody reacts with Human and may cross-react with other species as described in the data sheet. AAA Biotech's Haptoglobin can be used in a range of immunoassay formats including, but not limited to, IHC (Immunohistochemistry). Researchers should empirically determine the suitability of the HP hp for an application not listed in the data sheet. Researchers commonly develop new applications and it is an integral, important part of the investigative research process. It is sometimes possible for the material contained within the vial of "Haptoglobin, Polyclonal Antibody" to become dispersed throughout the inside of the vial, particularly around the seal of said vial, during shipment and storage. We always suggest centrifuging these vials to consolidate all of the liquid away from the lid and to the bottom of the vial prior to opening. Please be advised that certain products may require dry ice for shipping and that, if this is the case, an additional dry ice fee may also be required.Precautions
All products in the AAA Biotech catalog are strictly for research-use only, and are absolutely not suitable for use in any sort of medical, therapeutic, prophylactic, in-vivo, or diagnostic capacity. By purchasing a product from AAA Biotech, you are explicitly certifying that said products will be properly tested and used in line with industry standard. AAA Biotech and its authorized distribution partners reserve the right to refuse to fulfill any order if we have any indication that a purchaser may be intending to use a product outside of our accepted criteria.Disclaimer
Though we do strive to guarantee the information represented in this datasheet, AAA Biotech cannot be held responsible for any oversights or imprecisions. AAA Biotech reserves the right to adjust any aspect of this datasheet at any time and without notice. It is the responsibility of the customer to inform AAA Biotech of any product performance issues observed or experienced within 30 days of receipt of said product. To see additional details on this or any of our other policies, please see our Terms & Conditions page.Item has been added to Shopping Cart
If you are ready to order, navigate to Shopping Cart and get ready to checkout.
