Rabbit HAX1 Polyclonal Antibody | anti-HAX1 antibody
HAX1 Antibody
Phosphate buffered saline, pH 7.4, 150mM NaCl, 0.02% sodium azide and 50% glycerol.
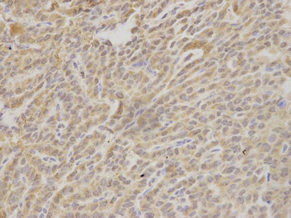
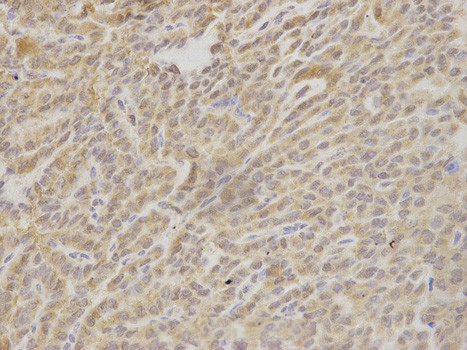
IHC (Immunohiostchemistry)
(AAA327092 at 1/100 staining Human breast cancer tissue by IHC-P. The sample was formaldehyde fixed and a heat mediated antigen retrieval step in citrate buffer was performed. The sample was then blocked and incubated with the antibody for 1.5 hours at 22 degree C. An HRP conjugated goat anti-rabbit antibody was used as the secondary.)
WB (Western Blot)
(Western blot analysis of Mouse brain lysate, using HAX1 Antibody. The lane on the left is treated with the antigen-specific peptide.)
Function: Recruits the Arp2/3 complex to the cell cortex and regulates reorganization of the cortical actin cytoskeleton via its interaction with KCNC3 and the Arp2/3 complex (PubMed:26997484). Slows down the rate of inactivation of KCNC3 channels (PubMed:26997484). Promotes GNA13-mediated cell migration. Involved in the clathrin-mediated endocytosis pathway. May be involved in internalization of ABC transporters such as ABCB11. May inhibit CASP9 and CASP3. Promotes cell survival. May regulate intracellular calcium pools.
Subunit Structure: Interacts with ABCB1, ABCB4 and ABCB11 (By similarity). Directly associates with HCLS1/HS1, through binding to its N-terminal region (PubMed:9058808). Interacts with CTTN (By similarity). Interacts with PKD2 (PubMed:10760273). Interacts with GNA13 (PubMed:15339924). Interacts with CASP9 (PubMed:16857965). Interacts with ITGB6 (PubMed:17545607). Interacts with PLN and ATP2A2; these interactions are inhibited by calcium (PubMed:17241641, PubMed:18971376). Interacts with GRB7 (PubMed:20665473). Interacts (via C-terminus) with XIAP/BIRC4 (via BIR 2 domain and BIR 3 domain) and this interaction blocks ubiquitination of XIAP/BIRC4 (PubMed:20171186). Interacts with TPC2 (PubMed:24188827). Interacts with KCNC3 (PubMed:26997484). Interacts with XPO1 (PubMed:23164465).
Post-translational Modifications: Proteolytically cleaved by caspase-3 during apoptosis.
Similarity: Belongs to the HAX1 family.
NCBI and Uniprot Product Information
Predicted: 32 kDa
Customer Reviews
Loading reviews...
Share Your Experience
Similar Products
Product Notes
The HAX1 hax1 (Catalog #AAA327092) is an Antibody produced from Rabbit and is intended for research purposes only. The product is available for immediate purchase. The HAX1 Antibody reacts with Human, Mouse, Rat and may cross-react with other species as described in the data sheet. AAA Biotech's HAX1 can be used in a range of immunoassay formats including, but not limited to, ELISA, IHC (Immunohistochemistry), WB (Western Blot). Researchers should empirically determine the suitability of the HAX1 hax1 for an application not listed in the data sheet. Researchers commonly develop new applications and it is an integral, important part of the investigative research process. It is sometimes possible for the material contained within the vial of "HAX1, Polyclonal Antibody" to become dispersed throughout the inside of the vial, particularly around the seal of said vial, during shipment and storage. We always suggest centrifuging these vials to consolidate all of the liquid away from the lid and to the bottom of the vial prior to opening. Please be advised that certain products may require dry ice for shipping and that, if this is the case, an additional dry ice fee may also be required.Precautions
All products in the AAA Biotech catalog are strictly for research-use only, and are absolutely not suitable for use in any sort of medical, therapeutic, prophylactic, in-vivo, or diagnostic capacity. By purchasing a product from AAA Biotech, you are explicitly certifying that said products will be properly tested and used in line with industry standard. AAA Biotech and its authorized distribution partners reserve the right to refuse to fulfill any order if we have any indication that a purchaser may be intending to use a product outside of our accepted criteria.Disclaimer
Though we do strive to guarantee the information represented in this datasheet, AAA Biotech cannot be held responsible for any oversights or imprecisions. AAA Biotech reserves the right to adjust any aspect of this datasheet at any time and without notice. It is the responsibility of the customer to inform AAA Biotech of any product performance issues observed or experienced within 30 days of receipt of said product. To see additional details on this or any of our other policies, please see our Terms & Conditions page.Item has been added to Shopping Cart
If you are ready to order, navigate to Shopping Cart and get ready to checkout.
