Rabbit HDAC5 Polyclonal Antibody | anti-HDAC5 antibody
HDAC5 Antibody
Phosphate buffered saline, pH 7.4, 150mM NaCl, 0.02% sodium azide and 50% glycerol.
IF (Immunofluorescence)
(AAA321121 staining HeLa cells by IF/ICC. The sample were fixed with PFA and permeabilized in 0.1% Triton X-100, then blocked in 10% serum for 45 minutes at 25 degree C. The primary antibody was diluted at 1/200 and incubated with the sample for 1 hour at 37 degree C. An Alexa Fluor 594 conjugated goat anti-rabbit IgG (H+L) antibody, diluted at 1/600, was used as secondary antibody.)
WB (Western Blot)
(Western blot analysis on NIH-3T3 cell lysate using HDAC5 Antibody, The lane on the left is treated with the antigen-specific peptide.)
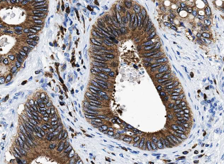
IHC (Immunohistochemistry)
(AAA321121 at 1/100 staining human Colorectal tissue sections by IHC-P. The tissue was formaldehyde fixed and a heat mediated antigen retrieval step in citrate buffer was performed. The tissue was then blocked and incubated with the antibody for 1.5 hours at 22 degree C. An HRP conjugated goat anti-rabbit antibody was used as the secondary.)
Function: Responsible for the deacetylation of lysine residues on the N-terminal part of the core histones (H2A, H2B, H3 and H4). Histone deacetylation gives a tag for epigenetic repression and plays an important role in transcriptional regulation, cell cycle progression and developmental events. Histone deacetylases act via the formation of large multiprotein complexes. Involved in muscle maturation by repressing transcription of myocyte enhancer MEF2C. During muscle differentiation, it shuttles into the cytoplasm, allowing the expression of myocyte enhancer factors. Involved in the MTA1-mediated epigenetic regulation of ESR1 expression in breast cancer.
Subunit Structure: Interacts with AHRR, BAHD1, BCOR, HDAC7, HDAC9, CTBP1, MEF2C, NCOR2, NRIP1, PHB2 and a 14-3-3 chaperone protein. Interacts with BCL6, DDIT3/CHOP, GRK5, KDM5B and MYOCD. Interacts with EP300 in the presence of TFAP2C. Interacts with ANKRA2. Interacts with CUL7 (as part of the 3M complex); negatively regulated by ANKRA2. Interacts with ZBTB7B; the interaction allows the recruitment of HDAC4 on CD8 loci for deacetylation and possible inhibition of CD8 genes expression (By similarity).
Post-translational Modifications: Phosphorylated by AMPK, CaMK1, SIK1 and PRKD1 at Ser-259 and Ser-498. The phosphorylation is required for the export to the cytoplasm and inhibition. Phosphorylated by the PKC kinases PKN1 and PKN2, impairing nuclear import. Phosphorylated by GRK5, leading to nuclear export of HDAC5 and allowing MEF2-mediated transcription (By similarity). Ubiquitinated. Polyubiquitination however does not lead to its degradation.
Similarity: The nuclear export sequence mediates the shuttling between the nucleus and the cytoplasm. Belongs to the histone deacetylase family. HD type 2 subfamily.
NCBI and Uniprot Product Information
Predicted: 122 kDa
Customer Reviews
Loading reviews...
Share Your Experience
Similar Products
Product Notes
The HDAC5 hdac5 (Catalog #AAA321121) is an Antibody produced from Rabbit and is intended for research purposes only. The product is available for immediate purchase. The HDAC5 Antibody reacts with Human, Mouse, Rat and may cross-react with other species as described in the data sheet. AAA Biotech's HDAC5 can be used in a range of immunoassay formats including, but not limited to, ELISA, ICC (Immunocytochemistry), IF (Immunofluorescence), IHC (Immunohistochemistry), WB (Western Blot). Researchers should empirically determine the suitability of the HDAC5 hdac5 for an application not listed in the data sheet. Researchers commonly develop new applications and it is an integral, important part of the investigative research process. It is sometimes possible for the material contained within the vial of "HDAC5, Polyclonal Antibody" to become dispersed throughout the inside of the vial, particularly around the seal of said vial, during shipment and storage. We always suggest centrifuging these vials to consolidate all of the liquid away from the lid and to the bottom of the vial prior to opening. Please be advised that certain products may require dry ice for shipping and that, if this is the case, an additional dry ice fee may also be required.Precautions
All products in the AAA Biotech catalog are strictly for research-use only, and are absolutely not suitable for use in any sort of medical, therapeutic, prophylactic, in-vivo, or diagnostic capacity. By purchasing a product from AAA Biotech, you are explicitly certifying that said products will be properly tested and used in line with industry standard. AAA Biotech and its authorized distribution partners reserve the right to refuse to fulfill any order if we have any indication that a purchaser may be intending to use a product outside of our accepted criteria.Disclaimer
Though we do strive to guarantee the information represented in this datasheet, AAA Biotech cannot be held responsible for any oversights or imprecisions. AAA Biotech reserves the right to adjust any aspect of this datasheet at any time and without notice. It is the responsibility of the customer to inform AAA Biotech of any product performance issues observed or experienced within 30 days of receipt of said product. To see additional details on this or any of our other policies, please see our Terms & Conditions page.Item has been added to Shopping Cart
If you are ready to order, navigate to Shopping Cart and get ready to checkout.
