Rabbit anti-Human, Mouse HDAC7 Polyclonal Antibody | anti-HDAC7 antibody
HDAC7 Antibody
Phosphate buffered saline, pH 7.4, 150mM NaCl, 0.02% sodium azide and 50% glycerol.
IHC (Immunohiostchemistry)
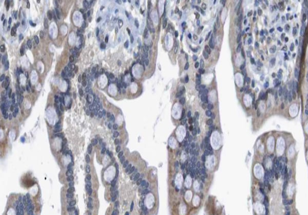
(AAA320825 at 1/100 staining human colon carcinoma tissue sections by IHC-P. The tissue was formaldehyde fixed and a heat mediated antigen retrieval step in citrate buffer was performed. The tissue was then blocked and incubated with the antibody for 1.5 hours at 22 degree C. An HRP conjugated goat anti-rabbit antibody was used as the secondary.)
WB (Western Blot)
(Western blot analysis on HeLa cell lysate using HDAC7 Antibody, The lane on the left is treated with the antigen-specific peptide.)
Subunit Structure: Interacts with HDAC1, HDAC2, HDAC3, HDAC4, HDAC5, NCOR1, NCOR2, SIN3A, SIN3B, RBBP4, RBBP7, MTA1L1, SAP30 and MBD3. Interacts with the 14-3-3 protein YWHAE, MEF2A, MEF2B and MEF2C (By similarity). Interacts with KAT5 and EDNRA. Interacts with KDM5B. Interacts with ZMYND15 (By similarity). Interacts with PML (isoform PML-4). Interacts with FOXP3.
Post-translational Modifications: May be phosphorylated by CaMK1. Phosphorylated by the PKC kinases PKN1 and PKN2, impairing nuclear import. Phosphorylation at Ser-155 by MARK2, MARK3 and PRKD1 promotes interaction with 14-3-3 proteins and export from the nucleus. Phosphorylation at Ser-155 is a prerequisite for phosphorylation at Ser-181.
Similarity: The nuclear export sequence mediates the shuttling between the nucleus and the cytoplasm. Belongs to the histone deacetylase family. HD type 2 subfamily.
NCBI and Uniprot Product Information
Predicted: 103 kDa
Customer Reviews
Loading reviews...
Share Your Experience
Similar Products
Product Notes
The HDAC7 hdac7 (Catalog #AAA320825) is an Antibody produced from Rabbit and is intended for research purposes only. The product is available for immediate purchase. The HDAC7 Antibody reacts with Human, Mouse and may cross-react with other species as described in the data sheet. AAA Biotech's HDAC7 can be used in a range of immunoassay formats including, but not limited to, ELISA, ICC (Immunocytochemistry), IF (Immunofluorescence), IHC (Immunohistochemistry), WB (Western Blot). Researchers should empirically determine the suitability of the HDAC7 hdac7 for an application not listed in the data sheet. Researchers commonly develop new applications and it is an integral, important part of the investigative research process. It is sometimes possible for the material contained within the vial of "HDAC7, Polyclonal Antibody" to become dispersed throughout the inside of the vial, particularly around the seal of said vial, during shipment and storage. We always suggest centrifuging these vials to consolidate all of the liquid away from the lid and to the bottom of the vial prior to opening. Please be advised that certain products may require dry ice for shipping and that, if this is the case, an additional dry ice fee may also be required.Precautions
All products in the AAA Biotech catalog are strictly for research-use only, and are absolutely not suitable for use in any sort of medical, therapeutic, prophylactic, in-vivo, or diagnostic capacity. By purchasing a product from AAA Biotech, you are explicitly certifying that said products will be properly tested and used in line with industry standard. AAA Biotech and its authorized distribution partners reserve the right to refuse to fulfill any order if we have any indication that a purchaser may be intending to use a product outside of our accepted criteria.Disclaimer
Though we do strive to guarantee the information represented in this datasheet, AAA Biotech cannot be held responsible for any oversights or imprecisions. AAA Biotech reserves the right to adjust any aspect of this datasheet at any time and without notice. It is the responsibility of the customer to inform AAA Biotech of any product performance issues observed or experienced within 30 days of receipt of said product. To see additional details on this or any of our other policies, please see our Terms & Conditions page.Item has been added to Shopping Cart
If you are ready to order, navigate to Shopping Cart and get ready to checkout.
