Rabbit anti-Human HERV-FRD Polyclonal Antibody | anti-ERVFRD-1 antibody
HERV-FRD antibody - N-terminal region
Gene Names
ERVFRD-1; envFRD; UNQ6191; ERVFRDE1; GLLL6191; HERV-FRD; HERV-W/FRD
Reactivity
Human
Applications
Western Blot
Purity
Affinity Purified
Synonyms
HERV-FRD, Antibody; HERV-FRD antibody - N-terminal region; anti-ERVFRD-1 antibody
Host
Rabbit
Reactivity
Human
Clonality
Polyclonal
Purity/Purification
Affinity Purified
Form/Format
Liquid. Purified antibody supplied in 1x PBS buffer with 0.09% (w/v) sodium azide and 2% sucrose.
Sequence
Synthetic peptide located within the following region: TGSPYSTNCWLCTSSSTETPGTAYPASPREWTSIEAELHISYRWDPNLKG
Sequence Length
538
Applicable Applications for anti-ERVFRD-1 antibody
WB (Western Blot)
Homology
Human: 100%
Immunogen
The immunogen is a synthetic peptide directed towards the N terminal region of human HERV-FRD
Preparation and Storage
For short term use, store at 2-8 degree C up to 1 week. For long term storage, store at -20 degree C in small aliquots to prevent freeze-thaw cycles.
Related Product Information for anti-ERVFRD-1 antibody
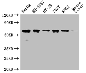
This is a rabbit polyclonal antibody against HERV-FRD. It was validated on Western Blot using a cell lysate as a positive control.
Target Description: Retroviral envelope proteins mediate receptor recognition and membrane fusion during early infection. Endogenous envelope proteins may have kept, lost or modified their original function during evolution. This endogenous envelope protein has retained its original fusogenic properties. HERV-FRD can make pseudotypes with MLV, HIV-1 or SIV-1 virions and confer infectivity.Human endogenous retroviruses (HERVs) make up approximately 8% of the human genome. Although most HERVs are nonfunctional, the HERV-W (ERVWE1; MIM 604659) and HERV-FRD envelope (env) proteins can induce cell-cell fusion when expressed in cells possessing appropriate receptors (Blaise et al., 2003 [PubMed 14557543]).[supplied by OMIM].
Target Description: Retroviral envelope proteins mediate receptor recognition and membrane fusion during early infection. Endogenous envelope proteins may have kept, lost or modified their original function during evolution. This endogenous envelope protein has retained its original fusogenic properties. HERV-FRD can make pseudotypes with MLV, HIV-1 or SIV-1 virions and confer infectivity.Human endogenous retroviruses (HERVs) make up approximately 8% of the human genome. Although most HERVs are nonfunctional, the HERV-W (ERVWE1; MIM 604659) and HERV-FRD envelope (env) proteins can induce cell-cell fusion when expressed in cells possessing appropriate receptors (Blaise et al., 2003 [PubMed 14557543]).[supplied by OMIM].
Product Categories/Family for anti-ERVFRD-1 antibody
NCBI and Uniprot Product Information
NCBI GI #
NCBI GeneID
NCBI Accession #
NCBI GenBank Nucleotide #
UniProt Accession #
Molecular Weight
60kDa
NCBI Official Full Name
syncytin-2 preproprotein
NCBI Official Synonym Full Names
endogenous retrovirus group FRD member 1, envelope
NCBI Official Symbol
ERVFRD-1
NCBI Official Synonym Symbols
envFRD; UNQ6191; ERVFRDE1; GLLL6191; HERV-FRD; HERV-W/FRD
NCBI Protein Information
syncytin-2
UniProt Protein Name
Syncytin-2
UniProt Gene Name
ERVFRD-1
UniProt Synonym Gene Names
ERVFRDE1; SU; TM
Customer Reviews
Loading reviews...
Share Your Experience
Similar Products
Product Notes
The ERVFRD-1 ervfrd-1 (Catalog #AAA200534) is an Antibody produced from Rabbit and is intended for research purposes only. The product is available for immediate purchase. The HERV-FRD antibody - N-terminal region reacts with Human and may cross-react with other species as described in the data sheet. AAA Biotech's HERV-FRD can be used in a range of immunoassay formats including, but not limited to, WB (Western Blot). Researchers should empirically determine the suitability of the ERVFRD-1 ervfrd-1 for an application not listed in the data sheet. Researchers commonly develop new applications and it is an integral, important part of the investigative research process. The amino acid sequence is listed below: Synthetic peptide located within the following region: TGSPYSTNCW LCTSSSTETP GTAYPASPRE WTSIEAELHI SYRWDPNLKG. It is sometimes possible for the material contained within the vial of "HERV-FRD, Polyclonal Antibody" to become dispersed throughout the inside of the vial, particularly around the seal of said vial, during shipment and storage. We always suggest centrifuging these vials to consolidate all of the liquid away from the lid and to the bottom of the vial prior to opening. Please be advised that certain products may require dry ice for shipping and that, if this is the case, an additional dry ice fee may also be required.Precautions
All products in the AAA Biotech catalog are strictly for research-use only, and are absolutely not suitable for use in any sort of medical, therapeutic, prophylactic, in-vivo, or diagnostic capacity. By purchasing a product from AAA Biotech, you are explicitly certifying that said products will be properly tested and used in line with industry standard. AAA Biotech and its authorized distribution partners reserve the right to refuse to fulfill any order if we have any indication that a purchaser may be intending to use a product outside of our accepted criteria.Disclaimer
Though we do strive to guarantee the information represented in this datasheet, AAA Biotech cannot be held responsible for any oversights or imprecisions. AAA Biotech reserves the right to adjust any aspect of this datasheet at any time and without notice. It is the responsibility of the customer to inform AAA Biotech of any product performance issues observed or experienced within 30 days of receipt of said product. To see additional details on this or any of our other policies, please see our Terms & Conditions page.Item has been added to Shopping Cart
If you are ready to order, navigate to Shopping Cart and get ready to checkout.
