Rabbit anti-Human HEXB Polyclonal Antibody | anti-HEXB antibody
HEXB Rabbit anti-Human Polyclonal Antibody
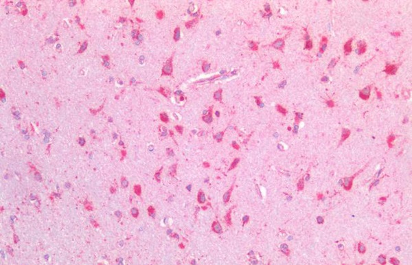
IHC (Immunohistochemistry)
(HEXB Antibody-Human Brain, Cortex: Formalin-Fixed, Paraffin-Embedded (FFPE))
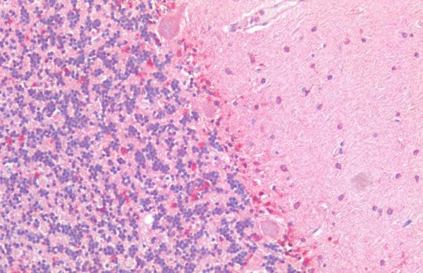
IHC (Immunohistochemisry)
(HEXB Antibody-Human Brain, Cerebellum: Formalin-Fixed, Paraffin-Embedded (FFPE))
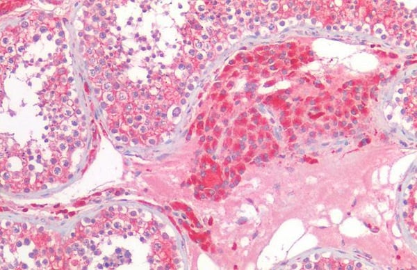
IHC (Immunohiostchemistry)
(HEXB Antibody-Human Testis Leydig Cells: Formalin-Fixed, Paraffin-Embedded (FFPE))
HEXB (Hexosaminidase B subunit beta) is the beta subunit of the lysosomal enzyme beta-hexosaminidase that catalyzes the degradation of the ganglioside GM2 and other molecules containing terminal N-acetyl hexosamines. Mutations in the alpha or beta subunit genes of beta-hexosaminidase lead to an accumulation of GM2 ganglioside in neurons and neurodegenerative disorders termed the GM2 gangliosidoses. Beta subunit gene mutations lead to Sandhoff disease (GM2-gangliosidosis type II), a lysosomal disorder characterized by progressive neurodegeneration and childhood mortality. In immunohistochemistry of normal tissue, HEXB has cytoplasmic positivity in the lung, epididymis, testes, prostate, heart muscle, some immune tissues, gastrointestinal tissues, endocrine tissues, the kidney, the pancreas and the brain.
NCBI and Uniprot Product Information
Similar Products
Product Notes
The HEXB hexb (Catalog #AAA163009) is an Antibody produced from Rabbit and is intended for research purposes only. The product is available for immediate purchase. The HEXB Rabbit anti-Human Polyclonal Antibody reacts with Human and may cross-react with other species as described in the data sheet. AAA Biotech's HEXB can be used in a range of immunoassay formats including, but not limited to, IHC (Immunohistochemistry). Researchers should empirically determine the suitability of the HEXB hexb for an application not listed in the data sheet. Researchers commonly develop new applications and it is an integral, important part of the investigative research process. It is sometimes possible for the material contained within the vial of "HEXB, Polyclonal Antibody" to become dispersed throughout the inside of the vial, particularly around the seal of said vial, during shipment and storage. We always suggest centrifuging these vials to consolidate all of the liquid away from the lid and to the bottom of the vial prior to opening. Please be advised that certain products may require dry ice for shipping and that, if this is the case, an additional dry ice fee may also be required.Precautions
All products in the AAA Biotech catalog are strictly for research-use only, and are absolutely not suitable for use in any sort of medical, therapeutic, prophylactic, in-vivo, or diagnostic capacity. By purchasing a product from AAA Biotech, you are explicitly certifying that said products will be properly tested and used in line with industry standard. AAA Biotech and its authorized distribution partners reserve the right to refuse to fulfill any order if we have any indication that a purchaser may be intending to use a product outside of our accepted criteria.Disclaimer
Though we do strive to guarantee the information represented in this datasheet, AAA Biotech cannot be held responsible for any oversights or imprecisions. AAA Biotech reserves the right to adjust any aspect of this datasheet at any time and without notice. It is the responsibility of the customer to inform AAA Biotech of any product performance issues observed or experienced within 30 days of receipt of said product. To see additional details on this or any of our other policies, please see our Terms & Conditions page.Item has been added to Shopping Cart
If you are ready to order, navigate to Shopping Cart and get ready to checkout.
