Rabbit anti-Human Histone H2A.Z Polyclonal Antibody | anti-H2AFZ antibody
Rabbit anti-human Histone H2A.Z polyclonal Antibody(H2AFZ)
Gene Names
H2AFZ; H2AZ; H2A.z; H2A/z; H2A.Z-1
Reactivity
Human
Applications
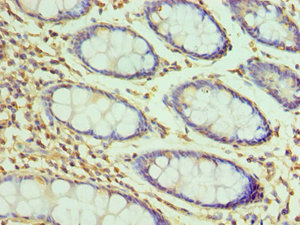
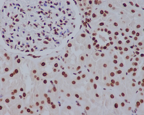
Immunohistochemistry, ELISA
Purity
Antigen Affinity Purified
Synonyms
Histone H2A.Z, Antibody; Rabbit anti-human Histone H2A.Z polyclonal Antibody(H2AFZ); H2A/z; H2AFZ; H2AZ; anti-H2AFZ antibody
Host
Rabbit
Reactivity
Human
Clonality
Polyclonal
Isotype
IgG
Purity/Purification
Antigen Affinity Purified
Sequence Length
128
Applicable Applications for anti-H2AFZ antibody
IHC (Immunohistochemistry), ELISA
Storage Buffer
PBS with 0.02% sodium azide, 50% glycerol, pH7.3.
Conjugate
Non-conjugated
Immunogen
Recombinant human Histone H2A.Z protein (1-128aa)
Santa Cruz Alternative
Potential replacement for Santa Cruz Biotechnology antibody catalog# sc-67218
Preparation and Storage
Shipped at 4 degree C. Upon delivery aliquot and store at -20 degree C or -80 degree C. Avoid repeated freeze.
Related Product Information for anti-H2AFZ antibody
Variant histone H2A which replaces conventional H2A in a subset of nucleosomes. Nucleosomes wrap and compact DNA into chromatin, limiting DNA accessibility to the cellular machineries which require DNA as a template. Histones thereby play a central role in transcription regulation, DNA repair, DNA replication and chromosomal stability. DNA accessibility is regulated via a complex set of post-translational modifications of histones, also called histone code, and nucleosome remodeling. May be involved in the formation of constitutive heterochromatin. May be required for chromosome segregation during cell division.
NCBI and Uniprot Product Information
NCBI GI #
NCBI GeneID
NCBI Accession #
NCBI GenBank Nucleotide #
Molecular Weight
13,553 Da
NCBI Official Full Name
histone H2A.Z
NCBI Official Synonym Full Names
H2A histone family member Z
NCBI Official Symbol
H2AFZ
NCBI Official Synonym Symbols
H2AZ; H2A.z; H2A/z; H2A.Z-1
NCBI Protein Information
histone H2A.Z
UniProt Protein Name
Histone H2A.Z
UniProt Gene Name
H2AFZ
UniProt Synonym Gene Names
H2AZ; H2A/z
UniProt Entry Name
H2AZ_HUMAN
Customer Reviews
Loading reviews...
Share Your Experience
Similar Products
Product Notes
The H2AFZ h2afz (Catalog #AAA118242) is an Antibody produced from Rabbit and is intended for research purposes only. The product is available for immediate purchase. The Rabbit anti-human Histone H2A.Z polyclonal Antibody(H2AFZ) reacts with Human and may cross-react with other species as described in the data sheet. AAA Biotech's Histone H2A.Z can be used in a range of immunoassay formats including, but not limited to, IHC (Immunohistochemistry), ELISA. Researchers should empirically determine the suitability of the H2AFZ h2afz for an application not listed in the data sheet. Researchers commonly develop new applications and it is an integral, important part of the investigative research process. It is sometimes possible for the material contained within the vial of "Histone H2A.Z, Polyclonal Antibody" to become dispersed throughout the inside of the vial, particularly around the seal of said vial, during shipment and storage. We always suggest centrifuging these vials to consolidate all of the liquid away from the lid and to the bottom of the vial prior to opening. Please be advised that certain products may require dry ice for shipping and that, if this is the case, an additional dry ice fee may also be required.Precautions
All products in the AAA Biotech catalog are strictly for research-use only, and are absolutely not suitable for use in any sort of medical, therapeutic, prophylactic, in-vivo, or diagnostic capacity. By purchasing a product from AAA Biotech, you are explicitly certifying that said products will be properly tested and used in line with industry standard. AAA Biotech and its authorized distribution partners reserve the right to refuse to fulfill any order if we have any indication that a purchaser may be intending to use a product outside of our accepted criteria.Disclaimer
Though we do strive to guarantee the information represented in this datasheet, AAA Biotech cannot be held responsible for any oversights or imprecisions. AAA Biotech reserves the right to adjust any aspect of this datasheet at any time and without notice. It is the responsibility of the customer to inform AAA Biotech of any product performance issues observed or experienced within 30 days of receipt of said product. To see additional details on this or any of our other policies, please see our Terms & Conditions page.Item has been added to Shopping Cart
If you are ready to order, navigate to Shopping Cart and get ready to checkout.
