Rabbit HMGCR Polyclonal Antibody | anti-HMGCR antibody
HMGCR Antibody
Phosphate buffered saline, pH 7.4, 150mM NaCl, 0.02% sodium azide and 50% glycerol.
WB (Western Blot)
(Western blot analysis of extracts from mouse muscle, mouse spleen, using HMGCR Antibody.)
WB (Western Blot)
(Western blot analysis of extracts of hela, using HMGCR antibody. The lane on the left is treated with the antigen-specific peptide.)
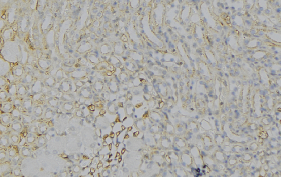
IHC (Immunohistochemistry)
(AAA326285 at 1/100 staining Human gastric tissue by IHC-P. The sample was formaldehyde fixed and a heat mediated antigen retrieval step in citrate buffer was performed. The sample was then blocked and incubated with the antibody for 1.5 hours at 22 degree C. An HRP conjugated goat anti-rabbit antibody was used as the secondary.)
Function: Transmembrane glycoprotein that is the rate-limiting enzyme in cholesterol biosynthesis as well as in the biosynthesis of nonsterol isoprenoids that are essential for normal cell function including ubiquinone and geranylgeranyl proteins.
Subunit Structure: Homodimer. Interacts (via its SSD) with INSIG1; the interaction, accelerated by sterols, leads to the recruitment of HMGCR to AMFR/gp78 for its ubiquitination by the sterol-mediated ERAD pathway. Interacts with UBIAD1.
Post-translational Modifications: N-glycosylated. Deglycosylated by NGLY1 on release from the endoplasmic reticulum (ER) in a sterol-mediated manner. Undergoes sterol-mediated ubiquitination and ER-associated degradation (ERAD). Accumulation of sterols in the endoplasmic reticulum (ER) membrane, triggers binding of the reductase to the ER membrane protein INSIG1. This INSIG1 binding leads to the recruitment of the ubiquitin ligase, AMFR/gp78 or RNF145, initiating ubiquitination of the reductase. The ubiquitinated reductase is then extracted from the ER membrane and delivered to cytosolic 26S proteosomes by a mechanism probably mediated by the ATPase Valosin-containing protein VCP/p97. Lys-248 is the main site of ubiquitination. Ubiquitination is enhanced by the presence of a geranylgeranylated protein.
Similarity: Belongs to the HMG-CoA reductase family.
NCBI and Uniprot Product Information
Predicted: 98 kDa
Customer Reviews
Loading reviews...
Share Your Experience
Similar Products
Product Notes
The HMGCR hmgcr (Catalog #AAA326285) is an Antibody produced from Rabbit and is intended for research purposes only. The product is available for immediate purchase. The HMGCR Antibody reacts with Human, Mouse, Rat and may cross-react with other species as described in the data sheet. AAA Biotech's HMGCR can be used in a range of immunoassay formats including, but not limited to, ELISA, IHC (Immunohistochemistry), WB (Western Blot). Researchers should empirically determine the suitability of the HMGCR hmgcr for an application not listed in the data sheet. Researchers commonly develop new applications and it is an integral, important part of the investigative research process. It is sometimes possible for the material contained within the vial of "HMGCR, Polyclonal Antibody" to become dispersed throughout the inside of the vial, particularly around the seal of said vial, during shipment and storage. We always suggest centrifuging these vials to consolidate all of the liquid away from the lid and to the bottom of the vial prior to opening. Please be advised that certain products may require dry ice for shipping and that, if this is the case, an additional dry ice fee may also be required.Precautions
All products in the AAA Biotech catalog are strictly for research-use only, and are absolutely not suitable for use in any sort of medical, therapeutic, prophylactic, in-vivo, or diagnostic capacity. By purchasing a product from AAA Biotech, you are explicitly certifying that said products will be properly tested and used in line with industry standard. AAA Biotech and its authorized distribution partners reserve the right to refuse to fulfill any order if we have any indication that a purchaser may be intending to use a product outside of our accepted criteria.Disclaimer
Though we do strive to guarantee the information represented in this datasheet, AAA Biotech cannot be held responsible for any oversights or imprecisions. AAA Biotech reserves the right to adjust any aspect of this datasheet at any time and without notice. It is the responsibility of the customer to inform AAA Biotech of any product performance issues observed or experienced within 30 days of receipt of said product. To see additional details on this or any of our other policies, please see our Terms & Conditions page.Item has been added to Shopping Cart
If you are ready to order, navigate to Shopping Cart and get ready to checkout.
