Rabbit HOXA5 Polyclonal Antibody | anti-HOXA5 antibody
HOXA5 antibody - C-terminal region
WB (Western Blot)
(Host: MouseTarget Name: HOXA5Sample Tissue: Mouse SpleenAntibody Dilution: 1ug/ml)
IHC (Immunohistochemisry)
(Rabbit Anti-HOXA5 AntibodyParaffin Embedded Tissue: Human BreastAntibody Concentration: 5 ug/ml)
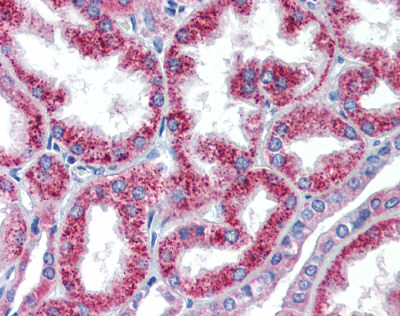
IHC (Immunohiostchemistry)
(Sample Type: Human KidneyAnti-HOXA5 antibody IHC staining of human kidney. Immunohistochemistry of formalin-fixed, paraffin-embedded tissue after heat-induced antigen retrieval. Antibody concentration 5 ug/ml.)
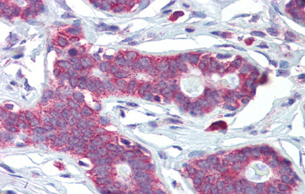
IHC (Immunohistochemistry)
(Sample Type: Human breastAnti-HOXA5 antibody IHC staining of human breast. Immunohistochemistry of formalin-fixed, paraffin-embedded tissue after heat-induced antigen retrieval. Antibody concentration 5 ug/ml.)
Target Description: In vertebrates, the genes encoding the class of transcription factors called homeobox genes are found in clusters named A, B, C, and D on four separate chromosomes. Expression of these proteins is spatially and temporally regulated during embryonic development. HOXA5 is a DNA-binding transcription factor which may regulate gene expression, morphogenesis, and differentiation. Methylation of the gene encoding HOXA5 may result in the loss of its expression and, since the encoded protein upregulates the tumor suppressor p53, this protein may play an important role in tumorigenesis.In vertebrates, the genes encoding the class of transcription factors called homeobox genes are found in clusters named A, B, C, and D on four separate chromosomes. Expression of these proteins is spatially and temporally regulated during embryonic development. This gene is part of the A cluster on chromosome 7 and encodes a DNA-binding transcription factor which may regulate gene expression, morphogenesis, and differentiation. Methylation of this gene may result in the loss of its expression and, since the encoded protein upregulates the tumor suppressor p53, this protein may play an important role in tumorigenesis. Publication Note: This RefSeq record includes a subset of the publications that are available for this gene. Please see the Entrez Gene record to access additional publications.
NCBI and Uniprot Product Information
Customer Reviews
Loading reviews...
Share Your Experience
Similar Products
Product Notes
The HOXA5 hoxa5 (Catalog #AAA198478) is an Antibody produced from Rabbit and is intended for research purposes only. The product is available for immediate purchase. The HOXA5 antibody - C-terminal region reacts with Cow, Dog, Guinea Pig, Horse, Human, Mouse, Rabbit, Rat, Zebrafish and may cross-react with other species as described in the data sheet. AAA Biotech's HOXA5 can be used in a range of immunoassay formats including, but not limited to, WB (Western Blot), IHC (Immunohistochemistry). Researchers should empirically determine the suitability of the HOXA5 hoxa5 for an application not listed in the data sheet. Researchers commonly develop new applications and it is an integral, important part of the investigative research process. The amino acid sequence is listed below: Synthetic peptide located within the following region: FNRYLTRRRR IEIAHALCLS ERQIKIWFQN RRMKWKKDNK LKSMSMAAAG. It is sometimes possible for the material contained within the vial of "HOXA5, Polyclonal Antibody" to become dispersed throughout the inside of the vial, particularly around the seal of said vial, during shipment and storage. We always suggest centrifuging these vials to consolidate all of the liquid away from the lid and to the bottom of the vial prior to opening. Please be advised that certain products may require dry ice for shipping and that, if this is the case, an additional dry ice fee may also be required.Precautions
All products in the AAA Biotech catalog are strictly for research-use only, and are absolutely not suitable for use in any sort of medical, therapeutic, prophylactic, in-vivo, or diagnostic capacity. By purchasing a product from AAA Biotech, you are explicitly certifying that said products will be properly tested and used in line with industry standard. AAA Biotech and its authorized distribution partners reserve the right to refuse to fulfill any order if we have any indication that a purchaser may be intending to use a product outside of our accepted criteria.Disclaimer
Though we do strive to guarantee the information represented in this datasheet, AAA Biotech cannot be held responsible for any oversights or imprecisions. AAA Biotech reserves the right to adjust any aspect of this datasheet at any time and without notice. It is the responsibility of the customer to inform AAA Biotech of any product performance issues observed or experienced within 30 days of receipt of said product. To see additional details on this or any of our other policies, please see our Terms & Conditions page.Item has been added to Shopping Cart
If you are ready to order, navigate to Shopping Cart and get ready to checkout.
