Rabbit anti-Human HP Polyclonal Antibody | anti-HP antibody
HP Antibody (Center)
WB (Western Blot)
(HP Antibody (Center) western blot analysis in MDA-MB453,CEM,NCI-H460,HepG2,K562 cell line lysates (35ug/lane).This demonstrates the HP antibody detected the HP protein (arrow).)
IF (Immunofluorescence)
(Confocal immunofluorescent analysis of HP Antibody (Center) with MDA-MB435 cell followed by Alexa Fluor 488-conjugated goat anti-rabbit lgG (green).DAPI was used to stain the cell nuclear (blue).)
FCM/FACS (Flow Cytometry)
(HP Antibody (Center) flow cytometric analysis of MDA-MB435 cells (right histogram) compared to a negative control cell (left histogram).FITC-conjugated goat-anti-rabbit secondary antibodies were used for the analysis.)
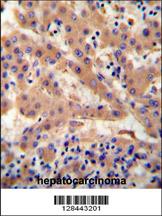
IHC (Immunohiostchemistry)
(HP antibody (Center) immunohistochemistry analysis in formalin fixed and paraffin embedded human hepatocarcinoma followed by peroxidase conjugation of the secondary antibody and DAB staining. This data demonstrates the use of the HP antibody (Center) for immunohistochemistry. Clinical relevance has not been evaluated.)
WB (Western Blot)
(Western blot analysis of HP (arrow) using rabbit polyclonal HP Antibody (Center). 293 cell lysates (2 ug/lane) either nontransfected (Lane 1) or transiently transfected (Lane 2) with the HP gene.)
yield both alpha and beta chains, which subsequently combine as a
tetramer to produce haptoglobin. Haptoglobin functions to bind free
plasma hemoglobin, which allows degradative enzymes to gain access
to the hemoglobin, while at the same time preventing loss of iron
through the kidneys and protecting the kidneys from damage by
hemoglobin. Mutations in this gene and/or its regulatory regions
cause ahaptoglobinemia or hypohaptoglobinemia. This gene has also
been linked to diabetic nephropathy, the incidence of coronary
artery disease in type 1 diabetes, Crohn's disease, inflammatory
disease behavior, primary sclerosing cholangitis, susceptibility to
idiopathic Parkinson's disease, and a reduced incidence of
Plasmodium falciparum malaria. A similar duplicated gene is located
next to this gene on chromosome 16. Multiple transcript variants
encoding different isoforms have been found for this gene.
Ucisik-Akkaya, E., et al. Mol. Hum. Reprod. 16(10):770-777(2010)
Ruano, G., et al. Pharmacogenomics 11(7):959-971(2010)
Savy, M., et al. PLoS ONE 5 (6), E11075 (2010) :
Kasvosve, I., et al. Adv Clin Chem 50, 23-46 (2010) :
NCBI and Uniprot Product Information
Customer Reviews
Loading reviews...
Share Your Experience
Similar Products
Product Notes
The HP hp (Catalog #AAA288862) is an Antibody produced from Rabbit and is intended for research purposes only. The product is available for immediate purchase. The immunogen sequence is 296-322. The HP Antibody (Center) reacts with Human and may cross-react with other species as described in the data sheet. AAA Biotech's HP can be used in a range of immunoassay formats including, but not limited to, IF (Immunofluorescence), FCM/FACS (Flow Cytometry), IHC (Immunohistochemistry), ELISA, WB (Western Blot). Researchers should empirically determine the suitability of the HP hp for an application not listed in the data sheet. Researchers commonly develop new applications and it is an integral, important part of the investigative research process. It is sometimes possible for the material contained within the vial of "HP, Polyclonal Antibody" to become dispersed throughout the inside of the vial, particularly around the seal of said vial, during shipment and storage. We always suggest centrifuging these vials to consolidate all of the liquid away from the lid and to the bottom of the vial prior to opening. Please be advised that certain products may require dry ice for shipping and that, if this is the case, an additional dry ice fee may also be required.Precautions
All products in the AAA Biotech catalog are strictly for research-use only, and are absolutely not suitable for use in any sort of medical, therapeutic, prophylactic, in-vivo, or diagnostic capacity. By purchasing a product from AAA Biotech, you are explicitly certifying that said products will be properly tested and used in line with industry standard. AAA Biotech and its authorized distribution partners reserve the right to refuse to fulfill any order if we have any indication that a purchaser may be intending to use a product outside of our accepted criteria.Disclaimer
Though we do strive to guarantee the information represented in this datasheet, AAA Biotech cannot be held responsible for any oversights or imprecisions. AAA Biotech reserves the right to adjust any aspect of this datasheet at any time and without notice. It is the responsibility of the customer to inform AAA Biotech of any product performance issues observed or experienced within 30 days of receipt of said product. To see additional details on this or any of our other policies, please see our Terms & Conditions page.Item has been added to Shopping Cart
If you are ready to order, navigate to Shopping Cart and get ready to checkout.
