Rabbit anti-Human HSD17B2 Polyclonal Antibody | anti-HSD17B2 antibody
HSD17B2 Antibody
Gene Names
HSD17B2; HSD17; SDR9C2; EDH17B2
Reactivity
Human
Applications
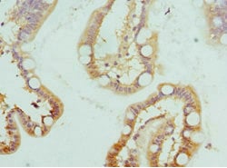
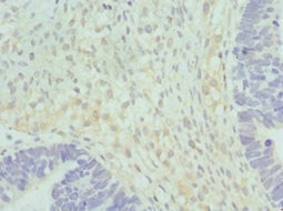
Immunohistochemistry, ELISA
Purity
Antigen Affinity Purified
Synonyms
HSD17B2, Antibody; HSD17B2 Antibody; Estradiol 17-beta-dehydrogenase 2; 17-beta-hydroxysteroid dehydrogenase type 2; 17-beta-HSD 2; 20 alpha-hydroxysteroid dehydrogenase; 20-alpha-HSD; E2DH; Microsomal 17-beta-hydroxysteroid dehydrogenase; Short chain dehydrogenase/reductase family 9C member 2; Testosterone 17-beta-dehydrogenase; HSD17B2; EDH17B2; SDR9C2; anti-HSD17B2 antibody
Host
Rabbit
Reactivity
Human
Clonality
Polyclonal
Isotype
IgG
Purity/Purification
Antigen Affinity Purified
Form/Format
Liquid
Sequence Length
387
Applicable Applications for anti-HSD17B2 antibody
IHC (Immunohistochemistry), ELISA
Species
Human
Immunogen
Recombinant human Estradiol 17-beta-dehydrogenase 2 protein (C-270AA)
Conjugate
Non-conjugated
Buffer
PBS with 0.02% sodium azide, 50% glycerol, pH7.3.
Santa Cruz Alternative
Potential replacement for Santa Cruz Biotechnology antibody catalog# sc-66408
Preparation and Storage
Shipped at 4 degree C. Upon delivery aliquot and store at -20 degree C or -80 degree C. Avoid repeated freeze.
Related Product Information for anti-HSD17B2 antibody
Capable of catalyzing the interconversion of testosterone and androstenedione, as well as estradiol and estrone. Also has 20-alpha-HSD activity. Uses NADH while EDH17B3 uses NADPH.
NCBI and Uniprot Product Information
NCBI GI #
NCBI GeneID
NCBI Accession #
NCBI GenBank Nucleotide #
Molecular Weight
42,785 Da
NCBI Official Full Name
estradiol 17-beta-dehydrogenase 2
NCBI Official Synonym Full Names
hydroxysteroid 17-beta dehydrogenase 2
NCBI Official Symbol
HSD17B2
NCBI Official Synonym Symbols
HSD17; SDR9C2; EDH17B2
NCBI Protein Information
estradiol 17-beta-dehydrogenase 2
UniProt Protein Name
Estradiol 17-beta-dehydrogenase 2
UniProt Gene Name
HSD17B2
UniProt Synonym Gene Names
EDH17B2; SDR9C2; 17-beta-HSD 2; 20-alpha-HSD
UniProt Entry Name
DHB2_HUMAN
Customer Reviews
Loading reviews...
Share Your Experience
Similar Products
Product Notes
The HSD17B2 hsd17b2 (Catalog #AAA231454) is an Antibody produced from Rabbit and is intended for research purposes only. The product is available for immediate purchase. The HSD17B2 Antibody reacts with Human and may cross-react with other species as described in the data sheet. AAA Biotech's HSD17B2 can be used in a range of immunoassay formats including, but not limited to, IHC (Immunohistochemistry), ELISA. Researchers should empirically determine the suitability of the HSD17B2 hsd17b2 for an application not listed in the data sheet. Researchers commonly develop new applications and it is an integral, important part of the investigative research process. It is sometimes possible for the material contained within the vial of "HSD17B2, Polyclonal Antibody" to become dispersed throughout the inside of the vial, particularly around the seal of said vial, during shipment and storage. We always suggest centrifuging these vials to consolidate all of the liquid away from the lid and to the bottom of the vial prior to opening. Please be advised that certain products may require dry ice for shipping and that, if this is the case, an additional dry ice fee may also be required.Precautions
All products in the AAA Biotech catalog are strictly for research-use only, and are absolutely not suitable for use in any sort of medical, therapeutic, prophylactic, in-vivo, or diagnostic capacity. By purchasing a product from AAA Biotech, you are explicitly certifying that said products will be properly tested and used in line with industry standard. AAA Biotech and its authorized distribution partners reserve the right to refuse to fulfill any order if we have any indication that a purchaser may be intending to use a product outside of our accepted criteria.Disclaimer
Though we do strive to guarantee the information represented in this datasheet, AAA Biotech cannot be held responsible for any oversights or imprecisions. AAA Biotech reserves the right to adjust any aspect of this datasheet at any time and without notice. It is the responsibility of the customer to inform AAA Biotech of any product performance issues observed or experienced within 30 days of receipt of said product. To see additional details on this or any of our other policies, please see our Terms & Conditions page.Item has been added to Shopping Cart
If you are ready to order, navigate to Shopping Cart and get ready to checkout.
