Rabbit Hsp105 Polyclonal Antibody | anti-HSPH1 antibody
Anti-Hsp105 antibody
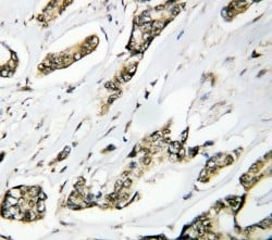
IHC (Immunohiostchemistry)
(Anti-Hsp105 antibody, AAA45180, IHC(P)IHC(P): Human Mammary Cancer Tissue)
WB (Western Blot)
(Anti-Hsp105 antibody, AAA45180, Western blottingLane 1: Rat Ovary Tissue LysateLane 2: A549 Cell LysateLane 3: U87 Cell LysateLane 4: HELA Cell Lysate)
Background: HSP105(HEAT-SHOCK 105/110-KD PROTEIN 1), also called HSPH1 or HSP110, is a protein that in humans is encoded by the HSPH1 gene. Immunohistochemical analysis localizes HSP105 mainly in the cytoplasm. Database analysis indicates that both HSP105 isoforms are highly conserved during evolution. By analysis of radiation hybrids and human/rodent hybrid cell lines, the HSPH1 gene is mapped to chromosome 13. Both HSP105-alpha and HSP105-beta are upregulated in HeLa cells exposed to heat shock. HSP105-alpha, but not HSP105-beta, is also upregulate in response to other cell stresses. Following heat shock, HSP105 relocalizes from a cytoplasmic to perinuclear position. Besides, HSP110 may thus constitute a major determinant for both prognosis and treatment response in colorectal cancer.
NCBI and Uniprot Product Information
Customer Reviews
Loading reviews...
Share Your Experience
Similar Products
Product Notes
The HSPH1 hsph1 (Catalog #AAA45180) is an Antibody produced from Rabbit and is intended for research purposes only. The product is available for immediate purchase. The Anti-Hsp105 antibody reacts with Human, Mouse, Rat and may cross-react with other species as described in the data sheet. AAA Biotech's Hsp105 can be used in a range of immunoassay formats including, but not limited to, IHC (Immunohistochemistry), IHC (Immunohistochemistry), WB (Western Blot). Researchers should empirically determine the suitability of the HSPH1 hsph1 for an application not listed in the data sheet. Researchers commonly develop new applications and it is an integral, important part of the investigative research process. It is sometimes possible for the material contained within the vial of "Hsp105, Polyclonal Antibody" to become dispersed throughout the inside of the vial, particularly around the seal of said vial, during shipment and storage. We always suggest centrifuging these vials to consolidate all of the liquid away from the lid and to the bottom of the vial prior to opening. Please be advised that certain products may require dry ice for shipping and that, if this is the case, an additional dry ice fee may also be required.Precautions
All products in the AAA Biotech catalog are strictly for research-use only, and are absolutely not suitable for use in any sort of medical, therapeutic, prophylactic, in-vivo, or diagnostic capacity. By purchasing a product from AAA Biotech, you are explicitly certifying that said products will be properly tested and used in line with industry standard. AAA Biotech and its authorized distribution partners reserve the right to refuse to fulfill any order if we have any indication that a purchaser may be intending to use a product outside of our accepted criteria.Disclaimer
Though we do strive to guarantee the information represented in this datasheet, AAA Biotech cannot be held responsible for any oversights or imprecisions. AAA Biotech reserves the right to adjust any aspect of this datasheet at any time and without notice. It is the responsibility of the customer to inform AAA Biotech of any product performance issues observed or experienced within 30 days of receipt of said product. To see additional details on this or any of our other policies, please see our Terms & Conditions page.Item has been added to Shopping Cart
If you are ready to order, navigate to Shopping Cart and get ready to checkout.
