Rabbit anti-Human Heat shock protein 105 kDa Polyclonal Antibody | anti-HSPH1 antibody
Rabbit anti-human Heat shock protein 105 kDa polyclonal Antibody(HSPH1)
Gene Names
HSPH1; HSP105; HSP105A; HSP105B; NY-CO-25
Reactivity
Human
Applications
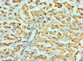
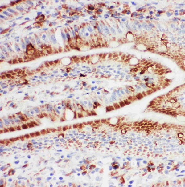
Immunohistochemistry, ELISA
Purity
Antigen Affinity Purified
Synonyms
Heat shock protein 105 kDa, Antibody; Rabbit anti-human Heat shock protein 105 kDa polyclonal Antibody(HSPH1); Antigen NY-CO-25; Heat shock 110 kDa protein; HSPH1; HSP105; HSP110; KIAA0201; anti-HSPH1 antibody
Host
Rabbit
Reactivity
Human
Clonality
Polyclonal
Isotype
IgG
Purity/Purification
Antigen Affinity Purified
Sequence Length
814
Applicable Applications for anti-HSPH1 antibody
IHC (Immunohistochemistry), ELISA
Storage Buffer
PBS with 0.02% sodium azide, 50% glycerol, pH7.3.
Conjugate
Non-conjugated
Immunogen
Recombinant human Heat shock protein 105 kDa protein (659-858aa)
Santa Cruz Alternative
Potential replacement for Santa Cruz Biotechnology antibody catalog# sc-1804 / sc-6241
Preparation and Storage
Shipped at 4 degree C. Upon delivery aliquot and store at -20 degree C or -80 degree C. Avoid repeated freeze.
Related Product Information for anti-HSPH1 antibody
Prevents the aggregation of denatured proteins in cells under severe stress, on which the ATP levels decrease markedly. Inhibits HSPA8/HSC70 ATPase and chaperone activities.
NCBI and Uniprot Product Information
NCBI GI #
NCBI GeneID
NCBI Accession #
NCBI GenBank Nucleotide #
Molecular Weight
97,460 Da
NCBI Official Full Name
heat shock protein 105 kDa isoform 2
NCBI Official Synonym Full Names
heat shock protein family H (Hsp110) member 1
NCBI Official Symbol
HSPH1
NCBI Official Synonym Symbols
HSP105; HSP105A; HSP105B; NY-CO-25
NCBI Protein Information
heat shock protein 105 kDa
UniProt Protein Name
Heat shock protein 105 kDa
UniProt Gene Name
HSPH1
UniProt Synonym Gene Names
HSP105; HSP110; KIAA0201
UniProt Entry Name
HS105_HUMAN
Customer Reviews
Loading reviews...
Share Your Experience
Similar Products
Product Notes
The HSPH1 hsph1 (Catalog #AAA118578) is an Antibody produced from Rabbit and is intended for research purposes only. The product is available for immediate purchase. The Rabbit anti-human Heat shock protein 105 kDa polyclonal Antibody(HSPH1) reacts with Human and may cross-react with other species as described in the data sheet. AAA Biotech's Heat shock protein 105 kDa can be used in a range of immunoassay formats including, but not limited to, IHC (Immunohistochemistry), ELISA. Researchers should empirically determine the suitability of the HSPH1 hsph1 for an application not listed in the data sheet. Researchers commonly develop new applications and it is an integral, important part of the investigative research process. It is sometimes possible for the material contained within the vial of "Heat shock protein 105 kDa, Polyclonal Antibody" to become dispersed throughout the inside of the vial, particularly around the seal of said vial, during shipment and storage. We always suggest centrifuging these vials to consolidate all of the liquid away from the lid and to the bottom of the vial prior to opening. Please be advised that certain products may require dry ice for shipping and that, if this is the case, an additional dry ice fee may also be required.Precautions
All products in the AAA Biotech catalog are strictly for research-use only, and are absolutely not suitable for use in any sort of medical, therapeutic, prophylactic, in-vivo, or diagnostic capacity. By purchasing a product from AAA Biotech, you are explicitly certifying that said products will be properly tested and used in line with industry standard. AAA Biotech and its authorized distribution partners reserve the right to refuse to fulfill any order if we have any indication that a purchaser may be intending to use a product outside of our accepted criteria.Disclaimer
Though we do strive to guarantee the information represented in this datasheet, AAA Biotech cannot be held responsible for any oversights or imprecisions. AAA Biotech reserves the right to adjust any aspect of this datasheet at any time and without notice. It is the responsibility of the customer to inform AAA Biotech of any product performance issues observed or experienced within 30 days of receipt of said product. To see additional details on this or any of our other policies, please see our Terms & Conditions page.Item has been added to Shopping Cart
If you are ready to order, navigate to Shopping Cart and get ready to checkout.
