Hsp70 Polyclonal Antibody | anti-Hsp70 antibody
Anti-Hsp70 Antibody
IHC (Immunohistochemistry)
(Anti- Hsp70 Picoband antibody, AAA46564, IHC(P)IHC(P): Human Lung Cancer Tissue)
IHC (Immunohistochemisry)
(Anti- Hsp70 Picoband antibody, AAA46564, IHC(P)IHC(P): Rat Intestine Tissue)
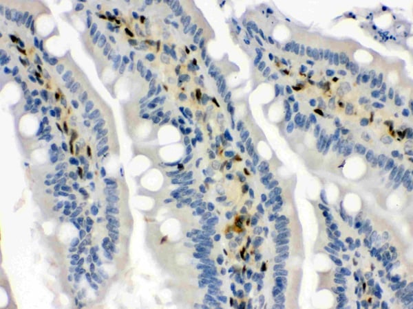
IHC (Immunohiostchemistry)
(Anti- Hsp70 Picoband antibody, AAA46564, IHC(P)IHC(P): Mouse Intestine Tissue)
WB (Western Blot)
(Anti- Hsp70 Picoband antibody, AAA46564, Western blottingAll lanes: Anti Hsp70 (AAA46564) at 0.5ug/mlLane 1: Rat Liver Tissue Lysate at 50ugLane 2: Rat Thymus Tissue Lysate at 50ugLane 3: Mouse Liver Tissue Lysate at 50ugLane 4: Mouse Kidney Tissue Lysate at 50ugLane 5: HELA Whole Cell Lysate at 40ugLane 6: MCF-7 Whole Cell Lysate at 40ugPredicted bind size: 70KDObserved bind size: 70KD)
Background: HSPA1 (heat shock 70kDa protein 1A) also known as HSP70-1, HSPA1A, HSP70-1A, HSP72 or HSP70I, is a protein that in humans is encoded by the HSPA1A gene. This intronless gene encodes a 70kDa heat shock protein which is a member of the heat shock protein 70 family. The HSPA1A gene encodes a predicted 641-amino acid protein. The HSPA1 gene is mapped on 6p21.33. Shimizu et al. (1999) found that peripheral blood mononuclear cells of 18 major depression patients expressed a short HSPA1A transcript that utilized exon 1 rather than exon 2, which is found in the more common HSPA1A transcript. No protein was associated with expression of this short HSPA1A mRNA, possibly due to lack of a TATA box or loss of internal ribosome binding sites. Treatment with BGP-15, a pharmacologic inducer of Hsp72 that can protect against obesity-induced insulin resistance, improved muscular architecture, strength, and contractile function in severely affected diaphragm muscles in mdx dystrophic mice.
NCBI and Uniprot Product Information
Customer Reviews
Loading reviews...
Share Your Experience
Similar Products
Product Notes
The Hsp70 hspa1a (Catalog #AAA46564) is an Antibody and is intended for research purposes only. The product is available for immediate purchase. The Anti-Hsp70 Antibody reacts with Human, Mouse, Rat and may cross-react with other species as described in the data sheet. AAA Biotech's Hsp70 can be used in a range of immunoassay formats including, but not limited to, IHC (Immunohistochemistry), WB (Western Blot). Researchers should empirically determine the suitability of the Hsp70 hspa1a for an application not listed in the data sheet. Researchers commonly develop new applications and it is an integral, important part of the investigative research process. It is sometimes possible for the material contained within the vial of "Hsp70, Polyclonal Antibody" to become dispersed throughout the inside of the vial, particularly around the seal of said vial, during shipment and storage. We always suggest centrifuging these vials to consolidate all of the liquid away from the lid and to the bottom of the vial prior to opening. Please be advised that certain products may require dry ice for shipping and that, if this is the case, an additional dry ice fee may also be required.Precautions
All products in the AAA Biotech catalog are strictly for research-use only, and are absolutely not suitable for use in any sort of medical, therapeutic, prophylactic, in-vivo, or diagnostic capacity. By purchasing a product from AAA Biotech, you are explicitly certifying that said products will be properly tested and used in line with industry standard. AAA Biotech and its authorized distribution partners reserve the right to refuse to fulfill any order if we have any indication that a purchaser may be intending to use a product outside of our accepted criteria.Disclaimer
Though we do strive to guarantee the information represented in this datasheet, AAA Biotech cannot be held responsible for any oversights or imprecisions. AAA Biotech reserves the right to adjust any aspect of this datasheet at any time and without notice. It is the responsibility of the customer to inform AAA Biotech of any product performance issues observed or experienced within 30 days of receipt of said product. To see additional details on this or any of our other policies, please see our Terms & Conditions page.Item has been added to Shopping Cart
If you are ready to order, navigate to Shopping Cart and get ready to checkout.
