Rabbit HSPA1L Polyclonal Antibody | anti-HSPA1L antibody
HSPA1L antibody - C-terminal region
WB (Western Blot)
(WB Suggested Anti-HSPA1L Antibody Titration: 0.2-1 ug/mlPositive Control: Jurkat cell lysate)
WB (Western Blot)
(Host: RabbitTarget Name: HSPA1LSample Tissue: Human MDA-MB-435sAntibody Dilution: 1.0ug/ml)
WB (Western Blot)
(Sample Type: Rat, LampreySample Type: 1. Lamprey CNS (20ug)2. Rat Brain Lysate (20ug) Primary Dilution: 1:1000Secondary Antibody: Goat anti-Rabbit HRPSecondary Dilution: 1:4000Image Submitted by: Jennifer Morgan, PhD & David BuschUniversity of Texas in Austin )
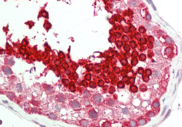
IHC (Immunohistochemistry)
(Rabbit Anti-HSPA1L antibodyFormalin Fixed Paraffin Embedded Tissue: Human TestisPrimary antibody Concentration: 1:200Secondary Antibody: Donkey anti-Rabbit-Cy3Secondary Antibody Concentration: 1:200Magnification: 20xExposure Time: 0.5-2.0sec)
Target Description: HSPA1L is a 70kDa heat shock protein. In conjunction with other heat shock proteins, this protein stabilizes existing proteins against aggregation and mediates the folding of newly translated proteins in the cytosol and in organelles. This gene encodes a 70kDa heat shock protein. In conjunction with other heat shock proteins, this protein stabilizes existing proteins against aggregation and mediates the folding of newly translated proteins in the cytosol and in organelles. The gene is located in the major histocompatibility complex class III region, in a cluster with two closely related genes which also encode isoforms of the 70kDa heat shock protein. Publication Note: This RefSeq record includes a subset of the publications that are available for this gene. Please see the Entrez Gene record to access additional publications.
NCBI and Uniprot Product Information
Customer Reviews
Loading reviews...
Share Your Experience
Similar Products
Product Notes
The HSPA1L hspa1l (Catalog #AAA200310) is an Antibody produced from Rabbit and is intended for research purposes only. The product is available for immediate purchase. The HSPA1L antibody - C-terminal region reacts with Cow, Dog, Goat, Horse, Human, Mouse, Pig, Rat and may cross-react with other species as described in the data sheet. AAA Biotech's HSPA1L can be used in a range of immunoassay formats including, but not limited to, WB (Western Blot). Researchers should empirically determine the suitability of the HSPA1L hspa1l for an application not listed in the data sheet. Researchers commonly develop new applications and it is an integral, important part of the investigative research process. The amino acid sequence is listed below: Synthetic peptide located within the following region: DEFDHKRKEL EQMCNPIITK LYQGGCTGPA CGTGYVPGRP ATGPTIEEVD. It is sometimes possible for the material contained within the vial of "HSPA1L, Polyclonal Antibody" to become dispersed throughout the inside of the vial, particularly around the seal of said vial, during shipment and storage. We always suggest centrifuging these vials to consolidate all of the liquid away from the lid and to the bottom of the vial prior to opening. Please be advised that certain products may require dry ice for shipping and that, if this is the case, an additional dry ice fee may also be required.Precautions
All products in the AAA Biotech catalog are strictly for research-use only, and are absolutely not suitable for use in any sort of medical, therapeutic, prophylactic, in-vivo, or diagnostic capacity. By purchasing a product from AAA Biotech, you are explicitly certifying that said products will be properly tested and used in line with industry standard. AAA Biotech and its authorized distribution partners reserve the right to refuse to fulfill any order if we have any indication that a purchaser may be intending to use a product outside of our accepted criteria.Disclaimer
Though we do strive to guarantee the information represented in this datasheet, AAA Biotech cannot be held responsible for any oversights or imprecisions. AAA Biotech reserves the right to adjust any aspect of this datasheet at any time and without notice. It is the responsibility of the customer to inform AAA Biotech of any product performance issues observed or experienced within 30 days of receipt of said product. To see additional details on this or any of our other policies, please see our Terms & Conditions page.Item has been added to Shopping Cart
If you are ready to order, navigate to Shopping Cart and get ready to checkout.
