Rabbit HSPA9 Polyclonal Antibody | anti-HSPA9 antibody
HSPA9 Antibody
Gene Names
HSPA9; CSA; MOT; MOT2; CRP40; GRP75; PBP74; GRP-75; HSPA9B; MTHSP75; HEL-S-124m
Reactivity
Human, Mouse, Rat
Applications
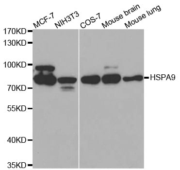
Immunofluorescence, Immunohistochemistry, Western Blot
Purity
Antibodies were purified by affinity purification using immunogen.
Synonyms
HSPA9, Antibody; HSPA9 Antibody; HSPA9; CSA; GRP75; HSPA9B; MGC4500; anti-HSPA9 antibody
Host
Rabbit
Reactivity
Human, Mouse, Rat
Clonality
Polyclonal
Specificity
The antibody detects endogenous level of total HSPA9 protein.
Purity/Purification
Antibodies were purified by affinity purification using immunogen.
Form/Format
Supplied at 1.0mg/mL in phosphate buffered saline (without Mg2+ and Ca2+), pH 7.4, 150mM NaCl, 0.02% sodium azide and 50% glycerol.
Concentration
1.0 mg/ml (varies by lot)
Sequence Length
679
Applicable Applications for anti-HSPA9 antibody
IF (Immunofluorescence), IHC (Immunohistochemistry), WB (Western Blot)
Immunogen Type
Recombinant Protein
Immunogen Description
Recombinant protein of human HSPA9.
Target Name
HSPA9
Preparation and Storage
Store at -20 degree C
Related Product Information for anti-HSPA9 antibody
Grp75, also known as mortalin, is a member of Hsp70 family of chaperone proteins that is not heat-inducible (1,2). This protein is essential for transporting many mitochondrial proteins from the cytoplasm to mitochondria (3). Grp75 inactivates the tumor suppressor p53 (4). Studies found that Grp75 is overexpressed in many tumor tissues and immortalized human cell lines, suggesting its role in the tumor formation (5). Grp75 is also implicated in cell aging, as its overexpression appears to prolong the life span of human fibroblasts (6).
Product Categories/Family for anti-HSPA9 antibody
NCBI and Uniprot Product Information
NCBI GI #
NCBI GeneID
NCBI Accession #
NCBI GenBank Nucleotide #
Molecular Weight
73,680 Da
NCBI Official Full Name
stress-70 protein, mitochondrial
NCBI Official Synonym Full Names
heat shock 70kDa protein 9 (mortalin)
NCBI Official Symbol
HSPA9
NCBI Official Synonym Symbols
CSA; MOT; MOT2; CRP40; GRP75; PBP74; GRP-75; HSPA9B; MTHSP75; HEL-S-124m
NCBI Protein Information
stress-70 protein, mitochondrial
UniProt Protein Name
Stress-70 protein, mitochondrial
UniProt Gene Name
HSPA9
UniProt Synonym Gene Names
GRP75; HSPA9B; mt-HSP70; GRP-75; MOT; PBP74
UniProt Entry Name
GRP75_HUMAN
Customer Reviews
Loading reviews...
Share Your Experience
Similar Products
Product Notes
The HSPA9 hspa9 (Catalog #AAA307304) is an Antibody produced from Rabbit and is intended for research purposes only. The product is available for immediate purchase. The HSPA9 Antibody reacts with Human, Mouse, Rat and may cross-react with other species as described in the data sheet. AAA Biotech's HSPA9 can be used in a range of immunoassay formats including, but not limited to, IF (Immunofluorescence), IHC (Immunohistochemistry), WB (Western Blot). Researchers should empirically determine the suitability of the HSPA9 hspa9 for an application not listed in the data sheet. Researchers commonly develop new applications and it is an integral, important part of the investigative research process. It is sometimes possible for the material contained within the vial of "HSPA9, Polyclonal Antibody" to become dispersed throughout the inside of the vial, particularly around the seal of said vial, during shipment and storage. We always suggest centrifuging these vials to consolidate all of the liquid away from the lid and to the bottom of the vial prior to opening. Please be advised that certain products may require dry ice for shipping and that, if this is the case, an additional dry ice fee may also be required.Precautions
All products in the AAA Biotech catalog are strictly for research-use only, and are absolutely not suitable for use in any sort of medical, therapeutic, prophylactic, in-vivo, or diagnostic capacity. By purchasing a product from AAA Biotech, you are explicitly certifying that said products will be properly tested and used in line with industry standard. AAA Biotech and its authorized distribution partners reserve the right to refuse to fulfill any order if we have any indication that a purchaser may be intending to use a product outside of our accepted criteria.Disclaimer
Though we do strive to guarantee the information represented in this datasheet, AAA Biotech cannot be held responsible for any oversights or imprecisions. AAA Biotech reserves the right to adjust any aspect of this datasheet at any time and without notice. It is the responsibility of the customer to inform AAA Biotech of any product performance issues observed or experienced within 30 days of receipt of said product. To see additional details on this or any of our other policies, please see our Terms & Conditions page.Item has been added to Shopping Cart
If you are ready to order, navigate to Shopping Cart and get ready to checkout.
