Rabbit anti-Human HTR1B/5-HT1B Receptor Polyclonal Antibody | anti-HTR1B antibody
HTR1B/5-HT1B Receptor Rabbit anti-Human Polyclonal Antibody
IHC (Immunohistochemisry)
(HTR1B/5-HT1B Receptor Antibody-Human Liver, Smooth Muscle: Formalin-Fixed, Paraffin-Embedded (FFPE))
IHC (Immunohiostchemistry)
(HTR1B/5-HT1B Receptor Antibody-Human Prostate, Smooth Muscle: Formalin-Fixed, Paraffin-Embedded (FFPE))
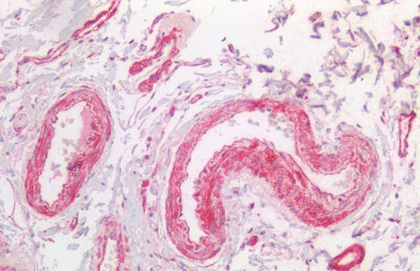
IHC (Immunohistochemistry)
(HTR1B/5-HT1B Receptor Antibody-Human Small Intestine, Smooth Muscle: Formalin-Fixed, Paraffin-Embedded (FFPE))
HTR1B is the G-protein coupled receptor for 5-hydroxytryptamine (serotonin). It functions as a receptor for serotonin, ergot alkaloid derivatives, anxiolytic and antidepressant drugs, and various psychoactive substances. Ligand binding triggers signaling via G-proteins and modulates downstream activity of adenylate cyclase. It plays a role in neural activity, pain perception, mood, and behavior, and plays a role in the vasoconstriction of cerebral arteries. There is evidence that HTR1B is involved in self-renewal of acute myeloid leukemia cells and is differentially expressed versus normal tissue in the disease. In immunohistochemistry of normal tissue, the protein is expressed in a variety of tissues, including various brain regions, subsets of immune cells, the placenta and vessels.
NCBI and Uniprot Product Information
Customer Reviews
Loading reviews...
Share Your Experience
Similar Products
Product Notes
The HTR1B htr1b (Catalog #AAA162950) is an Antibody produced from Rabbit and is intended for research purposes only. The product is available for immediate purchase. The HTR1B/5-HT1B Receptor Rabbit anti-Human Polyclonal Antibody reacts with Human and may cross-react with other species as described in the data sheet. AAA Biotech's HTR1B/5-HT1B Receptor can be used in a range of immunoassay formats including, but not limited to, IHC (Immunohistochemistry). Researchers should empirically determine the suitability of the HTR1B htr1b for an application not listed in the data sheet. Researchers commonly develop new applications and it is an integral, important part of the investigative research process. It is sometimes possible for the material contained within the vial of "HTR1B/5-HT1B Receptor, Polyclonal Antibody" to become dispersed throughout the inside of the vial, particularly around the seal of said vial, during shipment and storage. We always suggest centrifuging these vials to consolidate all of the liquid away from the lid and to the bottom of the vial prior to opening. Please be advised that certain products may require dry ice for shipping and that, if this is the case, an additional dry ice fee may also be required.Precautions
All products in the AAA Biotech catalog are strictly for research-use only, and are absolutely not suitable for use in any sort of medical, therapeutic, prophylactic, in-vivo, or diagnostic capacity. By purchasing a product from AAA Biotech, you are explicitly certifying that said products will be properly tested and used in line with industry standard. AAA Biotech and its authorized distribution partners reserve the right to refuse to fulfill any order if we have any indication that a purchaser may be intending to use a product outside of our accepted criteria.Disclaimer
Though we do strive to guarantee the information represented in this datasheet, AAA Biotech cannot be held responsible for any oversights or imprecisions. AAA Biotech reserves the right to adjust any aspect of this datasheet at any time and without notice. It is the responsibility of the customer to inform AAA Biotech of any product performance issues observed or experienced within 30 days of receipt of said product. To see additional details on this or any of our other policies, please see our Terms & Conditions page.Item has been added to Shopping Cart
If you are ready to order, navigate to Shopping Cart and get ready to checkout.
