Rabbit Hydroxysteroid(17-beta) Dehydrogenase 4 Polyclonal Antibody | anti-HSD17B4 antibody
Anti-Hydroxysteroid(17-beta) Dehydrogenase 4 antibody
No cross reactivity with other proteins.
No cross reactivity with other proteins.
Each vial contains 5mg BSA,0.9mg NaCI, 0.2 mg Na2HPO4, 0.05 mg Thimerosal, 0.05 mg NaN3
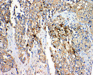
IHC (Immunohistochemisry)
(Anti-Hydroxysteroid(17-beta) Dehydrogenase 4 antibody, AAA45167, IHC(P)IHC(P): Human Intestinal Cancer Tissue)
WB (Western Blot)
(Figure 1. Western blot analysis of HSD17B4 using anti- HSD17B4 antibody (AAA45167).Electrophoresis was performed on a 5-20% SDS-PAGE gel at 70V (Stacking gel) / 90V (Resolving gel) for 2-3 hours. The sample well of each lane was loaded with 50ug of sample under reducing conditions.Lane 1: mouse heart tissue lysates,Lane 2: rat heart tissue lysates,Lane 3: human placenta tissue lysates,Lane 4: MCF-7 whole cell lysates.After Electrophoresis, proteins were transferred to a Nitrocellulose membrane at 150mA for 50-90 minutes. Blocked the membrane with 5% Non-fat Milk/ TBS for 1.5 hour at RT. The membrane was incubated with rabbit anti- HSD17B4 antigen affinity purified polyclonal antibody at 0.5ug/mL overnight at 4 degree C, then washed with TBS-0.1%Tween 3 times with 5 minutes each and probed with a goat anti-rabbit IgG-HRP secondary antibody at a dilution of 1:10000 for 1.5 hour at RT. The signal is developed using an Enhanced Chemiluminescent detection (ECL) kit with Tanon 5200 system. A specific band was detected for HSD17B4 at approximately 80KD. The expected band size for HSD17B4 is at 80KD.)
IHC (Immunohistochemistry)
(Anti-Hydroxysteroid(17-beta) Dehydrogenase 4 antibody, AAA45167, IHC(P)IHC(P): Human Lung Cancer Tissue)
Background: The HSD17B4 gene encodes an enzyme involved in peroxisomal fatty acid beta-oxidation. It was first identified as a 17-beta-estradiol dehydrogenase. Peroxisomal beta-oxidation of fatty acids is catalyzed by 3 enzymes: acyl-CoA oxidase; the D-bifunctional enzyme with enoyl-CoA-hydratase and D-3-hydroxyacyl-CoA dehydrogenase activity, and 3-ketoacyl-CoA thiolase. The D- and L-bifunctional proteins have different substrate specificities. The D-bifunctional protein catalyzes the formation of 3-ketoacyl-CoA intermediates from both straight-chain and 2-methyl-branched-chain fatty acids and also acts in shortening cholesterol for bile acid formation. In contrast, the L-specific bifunctional protein does not have the latter 2 activities.
NCBI and Uniprot Product Information
Customer Reviews
Loading reviews...
Share Your Experience
Similar Products
Product Notes
The HSD17B4 hsd17b4 (Catalog #AAA45167) is an Antibody produced from Rabbit and is intended for research purposes only. The product is available for immediate purchase. The Anti-Hydroxysteroid(17-beta) Dehydrogenase 4 antibody reacts with Human, Mouse, Rat No cross reactivity with other proteins. and may cross-react with other species as described in the data sheet. AAA Biotech's Hydroxysteroid(17-beta) Dehydrogenase 4 can be used in a range of immunoassay formats including, but not limited to, IHC (Immunohistochemistry), WB (Western Blot). Researchers should empirically determine the suitability of the HSD17B4 hsd17b4 for an application not listed in the data sheet. Researchers commonly develop new applications and it is an integral, important part of the investigative research process. It is sometimes possible for the material contained within the vial of "Hydroxysteroid(17-beta) Dehydrogenase 4, Polyclonal Antibody" to become dispersed throughout the inside of the vial, particularly around the seal of said vial, during shipment and storage. We always suggest centrifuging these vials to consolidate all of the liquid away from the lid and to the bottom of the vial prior to opening. Please be advised that certain products may require dry ice for shipping and that, if this is the case, an additional dry ice fee may also be required.Precautions
All products in the AAA Biotech catalog are strictly for research-use only, and are absolutely not suitable for use in any sort of medical, therapeutic, prophylactic, in-vivo, or diagnostic capacity. By purchasing a product from AAA Biotech, you are explicitly certifying that said products will be properly tested and used in line with industry standard. AAA Biotech and its authorized distribution partners reserve the right to refuse to fulfill any order if we have any indication that a purchaser may be intending to use a product outside of our accepted criteria.Disclaimer
Though we do strive to guarantee the information represented in this datasheet, AAA Biotech cannot be held responsible for any oversights or imprecisions. AAA Biotech reserves the right to adjust any aspect of this datasheet at any time and without notice. It is the responsibility of the customer to inform AAA Biotech of any product performance issues observed or experienced within 30 days of receipt of said product. To see additional details on this or any of our other policies, please see our Terms & Conditions page.Item has been added to Shopping Cart
If you are ready to order, navigate to Shopping Cart and get ready to checkout.
