Rabbit IFNAR1 Polyclonal Antibody | anti-IFNAR1 antibody
IFNAR1 Antibody
Phosphate buffered saline, pH 7.4, 150mM NaCl, 0.02% sodium azide and 50% glycerol.
WB (Western Blot)
(Western blot analysis of K562 whole cell lysates, using IFNAR1 Antibody. The lane on the left is treated with the antigen-specific peptide.)
IHC (Immunohistochemistry)
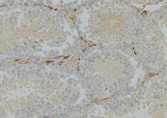
(AAA326337 at 1/100 staining Mouse testis tissue by IHC-P. The sample was formaldehyde fixed and a heat mediated antigen retrieval step in citrate buffer was performed. The sample was then blocked and incubated with the antibody for 1.5 hours at 22 degree C. An HRP conjugated goat anti-rabbit antibody was used as the secondary.)
Function: Component of the receptor for type I interferons, including interferons alpha, IFNB1 and IFNW1 (PubMed:2153461, PubMed:7665574, PubMed:10049744, PubMed:14532120, PubMed:15337770, PubMed:21854986). Functions in general as heterodimer with IFNAR2 (PubMed:7665574, PubMed:10049744, PubMed:21854986). Type I interferon binding activates the JAK-STAT signaling cascade, and triggers tyrosine phosphorylation of a number of proteins including JAKs, TYK2, STAT proteins and the IFNR alpha-and beta-subunits themselves (PubMed:7665574, PubMed:21854986). Can form an active IFNB1 receptor by itself and activate a signaling cascade that does not involve activation of the JAK-STAT pathway (By similarity).
Subunit Structure: Heterodimer with IFNAR2 (PubMed:7665574, PubMed:10049744, PubMed:21854986). Interacts with STAT1 and STAT2; the interaction requires its phosphorylation at Tyr-466 (PubMed:9121453). Interacts with TYK2 (PubMed:7526154, PubMed:15337770, PubMed:24704786). Interacts (serine-phosphorylated form) with FBXW11, the substrate recognition component of a SCF (SKP1-CUL1-F-box protein) E3 ubiquitin-protein ligase complex (PubMed:14532120, PubMed:15337770, PubMed:18056411). Interacts with SHMT2; this promotes interaction with ABRAXAS2 and the BRISC complex (PubMed:24075985).
Post-translational Modifications: Ubiquitinated, leading to its internalization and degradation (PubMed:14532120, PubMed:15337770). Polyubiquitinated via 'Lys-48'-linked and 'Lys-63'-linked ubiquitin chains, leading to receptor internalization and lysosomal degradation (PubMed:18056411). The 'Lys-63'-linked ubiquitin chains are cleaved off by the BRISC complex (PubMed:24075985). Phosphorylated on serine residues in response to interferon binding; this promotes interaction with FBXW11 and ubiquitination (PubMed:14532120, PubMed:15337770, PubMed:24075985). Phosphorylated on tyrosine residues by TYK2 tyrosine kinase (PubMed:7526154). Phosphorylated on tyrosine residues in response to interferon (PubMed:10049744). Palmitoylation at Cys-463 is required for the activation of STAT1 and STAT2.
Similarity: Belongs to the type II cytokine receptor family.
NCBI and Uniprot Product Information
Predicted: 64 kDa
Customer Reviews
Loading reviews...
Share Your Experience
Similar Products
Product Notes
The IFNAR1 ifnar1 (Catalog #AAA326337) is an Antibody produced from Rabbit and is intended for research purposes only. The product is available for immediate purchase. The IFNAR1 Antibody reacts with Human, Mouse, Rat and may cross-react with other species as described in the data sheet. AAA Biotech's IFNAR1 can be used in a range of immunoassay formats including, but not limited to, ELISA, IHC (Immunohistochemistry), WB (Western Blot). Researchers should empirically determine the suitability of the IFNAR1 ifnar1 for an application not listed in the data sheet. Researchers commonly develop new applications and it is an integral, important part of the investigative research process. It is sometimes possible for the material contained within the vial of "IFNAR1, Polyclonal Antibody" to become dispersed throughout the inside of the vial, particularly around the seal of said vial, during shipment and storage. We always suggest centrifuging these vials to consolidate all of the liquid away from the lid and to the bottom of the vial prior to opening. Please be advised that certain products may require dry ice for shipping and that, if this is the case, an additional dry ice fee may also be required.Precautions
All products in the AAA Biotech catalog are strictly for research-use only, and are absolutely not suitable for use in any sort of medical, therapeutic, prophylactic, in-vivo, or diagnostic capacity. By purchasing a product from AAA Biotech, you are explicitly certifying that said products will be properly tested and used in line with industry standard. AAA Biotech and its authorized distribution partners reserve the right to refuse to fulfill any order if we have any indication that a purchaser may be intending to use a product outside of our accepted criteria.Disclaimer
Though we do strive to guarantee the information represented in this datasheet, AAA Biotech cannot be held responsible for any oversights or imprecisions. AAA Biotech reserves the right to adjust any aspect of this datasheet at any time and without notice. It is the responsibility of the customer to inform AAA Biotech of any product performance issues observed or experienced within 30 days of receipt of said product. To see additional details on this or any of our other policies, please see our Terms & Conditions page.Item has been added to Shopping Cart
If you are ready to order, navigate to Shopping Cart and get ready to checkout.
