Rabbit anti-Human, Mouse IGFBP7 Polyclonal Antibody | anti-IGFBP7 antibody
IGFBP7 Polyclonal Antibody
Gene Names
IGFBP7; AGM; PSF; TAF; FSTL2; IBP-7; MAC25; IGFBP-7; RAMSVPS; IGFBP-7v; IGFBPRP1
Reactivity
Human, Mouse
Applications
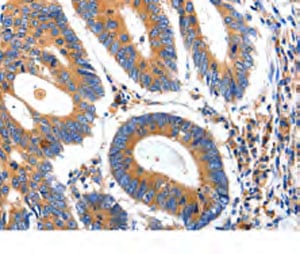
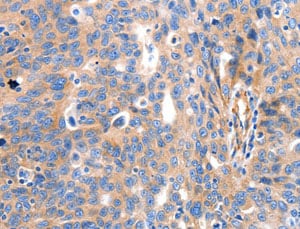
Immunohistochemistry, ELISA
Purity
Affinity purification
Synonyms
IGFBP7, Antibody; IGFBP7 Polyclonal Antibody; AGM, PSF, TAF, FSTL2, IBP-7, MAC25, IGFBP-7, RAMSVPS, IGFBP-7v, IGFBPRP1; anti-IGFBP7 antibody
Host
Rabbit
Reactivity
Human, Mouse
Clonality
Polyclonal
Isotype
IgG
Purity/Purification
Affinity purification
Sequence Length
279
Applicable Applications for anti-IGFBP7 antibody
IHC (Immunohistochemistry), ELISA
Immunogen
Synthetic peptide of human IGFBP7
Buffer
PBS with 0.05% sodium azide, 50% glycerol, pH7.3
Preparation and Storage
Store at -20°C. Avoid freeze / thaw cycles.
Related Product Information for anti-IGFBP7 antibody
This gene encodes a member of the insulin-like growth factor (IGF)-binding protein (IGFBP) family. IGFBPs bind IGFs with high affinity, and regulate IGF availability in body fluids and tissues and modulate IGF binding to its receptors. This protein binds IGF-I and IGF-II with relatively low affinity, and belongs to a subfamily of low-affinity IGFBPs. It also stimulates prostacyclin production and cell adhesion. Alternatively spliced transcript variants encoding different isoforms have been described for this gene, and one variant has been associated with retinal arterial macroaneurysm.
Product Categories/Family for anti-IGFBP7 antibody
NCBI and Uniprot Product Information
NCBI GI #
NCBI GeneID
NCBI Accession #
NCBI GenBank Nucleotide #
NCBI Official Full Name
insulin-like growth factor-binding protein 7 isoform 2
NCBI Official Synonym Full Names
insulin-like growth factor binding protein 7
NCBI Official Symbol
IGFBP7
NCBI Official Synonym Symbols
AGM; PSF; TAF; FSTL2; IBP-7; MAC25; IGFBP-7; RAMSVPS; IGFBP-7v; IGFBPRP1
NCBI Protein Information
insulin-like growth factor-binding protein 7; IGF-binding protein 7; IGFBP-rP1; PGI2-stimulating factor; angiomodulin; prostacyclin-stimulating factor; tumor-derived adhesion factor
UniProt Protein Name
Insulin-like growth factor-binding protein 7
UniProt Gene Name
IGFBP7
UniProt Synonym Gene Names
MAC25; PSF; IBP-7; IGF-binding protein 7; IGFBP-7; TAF
UniProt Entry Name
IBP7_HUMAN
Similar Products
Product Notes
The IGFBP7 igfbp7 (Catalog #AAA168847) is an Antibody produced from Rabbit and is intended for research purposes only. The product is available for immediate purchase. The IGFBP7 Polyclonal Antibody reacts with Human, Mouse and may cross-react with other species as described in the data sheet. AAA Biotech's IGFBP7 can be used in a range of immunoassay formats including, but not limited to, IHC (Immunohistochemistry), ELISA. Researchers should empirically determine the suitability of the IGFBP7 igfbp7 for an application not listed in the data sheet. Researchers commonly develop new applications and it is an integral, important part of the investigative research process. It is sometimes possible for the material contained within the vial of "IGFBP7, Polyclonal Antibody" to become dispersed throughout the inside of the vial, particularly around the seal of said vial, during shipment and storage. We always suggest centrifuging these vials to consolidate all of the liquid away from the lid and to the bottom of the vial prior to opening. Please be advised that certain products may require dry ice for shipping and that, if this is the case, an additional dry ice fee may also be required.Precautions
All products in the AAA Biotech catalog are strictly for research-use only, and are absolutely not suitable for use in any sort of medical, therapeutic, prophylactic, in-vivo, or diagnostic capacity. By purchasing a product from AAA Biotech, you are explicitly certifying that said products will be properly tested and used in line with industry standard. AAA Biotech and its authorized distribution partners reserve the right to refuse to fulfill any order if we have any indication that a purchaser may be intending to use a product outside of our accepted criteria.Disclaimer
Though we do strive to guarantee the information represented in this datasheet, AAA Biotech cannot be held responsible for any oversights or imprecisions. AAA Biotech reserves the right to adjust any aspect of this datasheet at any time and without notice. It is the responsibility of the customer to inform AAA Biotech of any product performance issues observed or experienced within 30 days of receipt of said product. To see additional details on this or any of our other policies, please see our Terms & Conditions page.Item has been added to Shopping Cart
If you are ready to order, navigate to Shopping Cart and get ready to checkout.
