Rabbit anti-Human IGHMBP2 Polyclonal Antibody | anti-IGHMBP2 antibody
IGHMBP2 Antibody
Gene Names
IGHMBP2; HCSA; HMN6; CATF1; CMT2S; SMARD1; SMUBP2; ZFAND7
Reactivity
Human
Applications
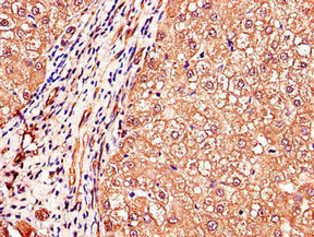
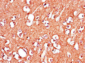
Immunohistochemistry, ELISA
Purity
>95%, Protein G purified
Synonyms
IGHMBP2, Antibody; IGHMBP2 Antibody; DNA-binding protein SMUBP-2; ATP-dependent helicase IGHMBP2; Glial factor 1; GF-1; Immunoglobulin mu-binding protein 2; IGHMBP2; SMBP2; SMUBP2; anti-IGHMBP2 antibody
Host
Rabbit
Reactivity
Human
Clonality
Polyclonal
Isotype
IgG
Purity/Purification
>95%, Protein G purified
Form/Format
Liquid
Sequence Length
993
Applicable Applications for anti-IGHMBP2 antibody
IHC (Immunohistochemistry), ELISA
Immunogen
Recombinant human DNA-binding protein SMUBP-2 protein (646-884AA)
Preservative
0.03% Proclin 300
Constituents
50% Glycerol, 0.01M PBS, PH 7.4
Conjugation
Non-conjugated
Santa Cruz Alternative
Potential replacement for Santa Cruz Biotechnology antibody catalog# sc-168143
Preparation and Storage
Shipped at 4 degree C. Upon delivery aliquot and store at -20 degree C or -80 degree C. Avoid repeated freeze.
Related Product Information for anti-IGHMBP2 antibody
5' to 3' helicase that unwinds RNA and DNA duplices in an ATP-dependent reaction. Acts as a transcription regulator. Required for the transcriptional activation of the flounder liver-type antifreeze protein gene. Exhibits strong binding specificity to the enhancer element B of the flounder antifreeze protein gene intron. Binds to the insulin II gene RIPE3B enhancer region. May be involved in translation (By similarity). DNA-binding protein specific to 5'-phosphorylated single-stranded guanine-rich sequence related to the immunoglobulin mu chain switch region. Preferentially binds to the 5'-GGGCT-3' motif. Interacts with tRNA-Tyr. Stimulates the transcription of the human neurotropic virus JCV.
NCBI and Uniprot Product Information
NCBI GI #
NCBI GeneID
NCBI Accession #
NCBI GenBank Nucleotide #
Molecular Weight
109,149 Da
NCBI Official Full Name
DNA-binding protein SMUBP-2
NCBI Official Synonym Full Names
immunoglobulin mu binding protein 2
NCBI Official Symbol
IGHMBP2
NCBI Official Synonym Symbols
HCSA; HMN6; CATF1; CMT2S; SMARD1; SMUBP2; ZFAND7
NCBI Protein Information
DNA-binding protein SMUBP-2
UniProt Protein Name
DNA-binding protein SMUBP-2
UniProt Gene Name
IGHMBP2
UniProt Synonym Gene Names
SMBP2; SMUBP2; GF-1
UniProt Entry Name
SMBP2_HUMAN
Customer Reviews
Loading reviews...
Share Your Experience
Similar Products
Product Notes
The IGHMBP2 ighmbp2 (Catalog #AAA232540) is an Antibody produced from Rabbit and is intended for research purposes only. The product is available for immediate purchase. The IGHMBP2 Antibody reacts with Human and may cross-react with other species as described in the data sheet. AAA Biotech's IGHMBP2 can be used in a range of immunoassay formats including, but not limited to, IHC (Immunohistochemistry), ELISA. Researchers should empirically determine the suitability of the IGHMBP2 ighmbp2 for an application not listed in the data sheet. Researchers commonly develop new applications and it is an integral, important part of the investigative research process. It is sometimes possible for the material contained within the vial of "IGHMBP2, Polyclonal Antibody" to become dispersed throughout the inside of the vial, particularly around the seal of said vial, during shipment and storage. We always suggest centrifuging these vials to consolidate all of the liquid away from the lid and to the bottom of the vial prior to opening. Please be advised that certain products may require dry ice for shipping and that, if this is the case, an additional dry ice fee may also be required.Precautions
All products in the AAA Biotech catalog are strictly for research-use only, and are absolutely not suitable for use in any sort of medical, therapeutic, prophylactic, in-vivo, or diagnostic capacity. By purchasing a product from AAA Biotech, you are explicitly certifying that said products will be properly tested and used in line with industry standard. AAA Biotech and its authorized distribution partners reserve the right to refuse to fulfill any order if we have any indication that a purchaser may be intending to use a product outside of our accepted criteria.Disclaimer
Though we do strive to guarantee the information represented in this datasheet, AAA Biotech cannot be held responsible for any oversights or imprecisions. AAA Biotech reserves the right to adjust any aspect of this datasheet at any time and without notice. It is the responsibility of the customer to inform AAA Biotech of any product performance issues observed or experienced within 30 days of receipt of said product. To see additional details on this or any of our other policies, please see our Terms & Conditions page.Item has been added to Shopping Cart
If you are ready to order, navigate to Shopping Cart and get ready to checkout.
