Rabbit IKK beta Polyclonal Antibody | anti-IKBKB antibody
Phospho-IKK beta (Tyr188) Antibody
Phosphate buffered saline, pH 7.4, 150mM NaCl, 0.02% sodium azide and 50% glycerol.
WB (Western Blot)
(Western blot analysis of IKK-beta phosphorylation expression in COS7 whole cell lysates, The lane on the left is treated with the antigen-specific peptide.)
WB (Western Blot)
(Western blot analysis of Phospho-IKK beta (Tyr188) Antibody expression in COS7 cells lysates.The lane on the right is treated with the antigen-specific peptide.)
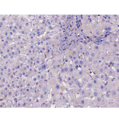
IHC (Immunohiostchemistry)
(AAA321428 at 1/200 staining human liver cancer tissue sections by IHC-P. The tissue was formaldehyde fixed and a heat mediated antigen retrieval step in citrate buffer was performed. The tissue was then blocked and incubated with the antibody for 1.5 hours at 22 degree C. An HRP conjugated goat anti-rabbit antibody was used as the secondary.)
IF (Immunofluorescence)
(AAA321428 staining COS7 by IF/ICC. The sample were fixed with PFA and permeabilized in 0.1% Triton X-100, then blocked in 10% serum for 45 minutes at 25 degree C. The primary antibody was diluted at 1/200 and incubated with the sample for 1 hour at 37 degree C. An Alexa Fluor 594 conjugated goat anti-rabbit IgG (H+L) Ab, diluted at 1/600, was used as the secondary antibody.)
Function: Serine kinase that plays an essential role in the NF-kappa-B signaling pathway which is activated by multiple stimuli such as inflammatory cytokines, bacterial or viral products, DNA damages or other cellular stresses. Acts as part of the canonical IKK complex in the conventional pathway of NF-kappa-B activation and phosphorylates inhibitors of NF-kappa-B on 2 critical serine residues. These modifications allow polyubiquitination of the inhibitors and subsequent degradation by the proteasome. In turn, free NF-kappa-B is translocated into the nucleus and activates the transcription of hundreds of genes involved in immune response, growth control, or protection against apoptosis. In addition to the NF-kappa-B inhibitors, phosphorylates several other components of the signaling pathway including NEMO/IKBKG, NF-kappa-B subunits RELA and NFKB1, as well as IKK-related kinases TBK1 and IKBKE. IKK-related kinase phosphorylations may prevent the overproduction of inflammatory mediators since they exert a negative regulation on canonical IKKs. Phosphorylates FOXO3, mediating the TNF-dependent inactivation of this pro-apoptotic transcription factor. Also phosphorylates other substrates including NCOA3, BCL10 and IRS1. Within the nucleus, acts as an adapter protein for NFKBIA degradation in UV-induced NF-kappa-B activation.
Subunit Structure: Component of the I-kappa-B-kinase (IKK) core complex consisting of CHUK, IKBKB and IKBKG; probably four alpha/CHUK-beta/IKBKB dimers are associated with four gamma/IKBKG subunits. The IKK core complex seems to associate with regulatory or adapter proteins to form a IKK-signalosome holo-complex (PubMed:12612076). The IKK complex associates with TERF2IP/RAP1, leading to promote IKK-mediated phosphorylation of RELA/p65 (By similarity). Part of a complex composed of NCOA2, NCOA3, CHUK/IKKA, IKBKB, IKBKG and CREBBP (PubMed:11971985). Part of a 70-90 kDa complex at least consisting of CHUK/IKKA, IKBKB, NFKBIA, RELA, ELP1 and MAP3K14 (PubMed:9751059). Found in a membrane raft complex, at least composed of BCL10, CARD11, DPP4 and IKBKB (PubMed:17287217). Interacts with SQSTM1 through PRKCZ or PRKCI (PubMed:10356400). Forms an NGF-induced complex with IKBKB, PRKCI and TRAF6 (By similarity). May interact with MAVS/IPS1 (PubMed:16177806). Interacts with NALP2 (PubMed:15456791). Interacts with TICAM1 (PubMed:14739303). Interacts with FAF1; the interaction disrupts the IKK complex formation (PubMed:17684021). Interacts with ATM (PubMed:16497931). Part of a ternary complex consisting of TANK, IKBKB and IKBKG (PubMed:12133833). Interacts with NIBP; the interaction is direct (PubMed:15951441). Interacts with ARRB1 and ARRB2 (PubMed:15173580). Interacts with TRIM21 (PubMed:19675099). Interacts with NLRC5; prevents IKBKB phosphorylation and kinase activity (PubMed:20434986). Interacts with PDPK1 (PubMed:16207722). Interacts with EIF2AK2/PKR (PubMed:10848580). The phosphorylated form interacts with PPM1A and PPM1B (PubMed:18930133). Interacts with ZNF268 isoform 2; the interaction is further increased in a TNF-alpha-dependent manner (PubMed:23091055). Interacts with IKBKE (PubMed:23453969). Interacts with NAA10, leading to NAA10 degradation (PubMed:19716809). Interacts with FOXO3 (PubMed:15084260). Interacts with AKAP13 (PubMed:23090968). Interacts with IFIT5; the interaction synergizes the recruitment of IKK to MAP3K7 and enhances IKK phosphorylation (PubMed:26334375). Interacts with LRRC14; disrupts IKBKB-IKBKG interaction preventing I-kappa-B-kinase (IKK) core complex formation and leading to a decrease of IKBKB phosphorylation and NF-kappaB activation (PubMed:27426725).
Post-translational Modifications: Upon cytokine stimulation, phosphorylated on Ser-177 and Ser-181 by MEKK1 and/or MAP3K14/NIK as well as TBK1 and PRKCZ; which enhances activity. Once activated, autophosphorylates on the C-terminal serine cluster; which decreases activity and prevents prolonged activation of the inflammatory response. Phosphorylated by the IKK-related kinases TBK1 and IKBKE, which is associated with reduced CHUK/IKKA and IKBKB activity and NF-kappa-B-dependent gene transcription. Dephosphorylated at Ser-177 and Ser-181 by PPM1A and PPM1B. (Microbial infection) Acetylation of Thr-180 by Yersinia yopJ prevents phosphorylation and activation, thus blocking the I-kappa-B pathway. Ubiquitinated. Monoubiquitination involves TRIM21 that leads to inhibition of Tax-induced NF-kappa-B signaling. According to PubMed:19675099, 'Ser-163' does not serve as a monoubiquitination site. According to PubMed:16267042, ubiquitination on 'Ser-163' modulates phosphorylation on C-terminal serine residues. (Microbial infection) Monoubiquitination by TRIM21 is disrupted by Yersinia yopJ. Hydroxylated by PHD1/EGLN2, loss of hydroxylation under hypoxic conditions results in activation of NF-kappa-B.
Similarity: The kinase domain is located in the N-terminal region. The leucine zipper is important to allow homo-and hetero-dimerization. At the C-terminal region is located the region responsible for the interaction with NEMO/IKBKG. Belongs to the protein kinase superfamily. Ser/Thr protein kinase family. I-kappa-B kinase subfamily.
NCBI and Uniprot Product Information
Predicted: 87 kDa
Customer Reviews
Loading reviews...
Share Your Experience
Similar Products
Product Notes
The IKBKB ikbkb (Catalog #AAA321428) is an Antibody produced from Rabbit and is intended for research purposes only. The product is available for immediate purchase. The Phospho-IKK beta (Tyr188) Antibody reacts with Human, Mouse, Rat, Monkey and may cross-react with other species as described in the data sheet. AAA Biotech's IKK beta can be used in a range of immunoassay formats including, but not limited to, ELISA, ICC (Immunocytochemistry), IF (Immunofluorescence), IHC (Immunohistochemistry), WB (Western Blot). Researchers should empirically determine the suitability of the IKBKB ikbkb for an application not listed in the data sheet. Researchers commonly develop new applications and it is an integral, important part of the investigative research process. It is sometimes possible for the material contained within the vial of "IKK beta, Polyclonal Antibody" to become dispersed throughout the inside of the vial, particularly around the seal of said vial, during shipment and storage. We always suggest centrifuging these vials to consolidate all of the liquid away from the lid and to the bottom of the vial prior to opening. Please be advised that certain products may require dry ice for shipping and that, if this is the case, an additional dry ice fee may also be required.Precautions
All products in the AAA Biotech catalog are strictly for research-use only, and are absolutely not suitable for use in any sort of medical, therapeutic, prophylactic, in-vivo, or diagnostic capacity. By purchasing a product from AAA Biotech, you are explicitly certifying that said products will be properly tested and used in line with industry standard. AAA Biotech and its authorized distribution partners reserve the right to refuse to fulfill any order if we have any indication that a purchaser may be intending to use a product outside of our accepted criteria.Disclaimer
Though we do strive to guarantee the information represented in this datasheet, AAA Biotech cannot be held responsible for any oversights or imprecisions. AAA Biotech reserves the right to adjust any aspect of this datasheet at any time and without notice. It is the responsibility of the customer to inform AAA Biotech of any product performance issues observed or experienced within 30 days of receipt of said product. To see additional details on this or any of our other policies, please see our Terms & Conditions page.Item has been added to Shopping Cart
If you are ready to order, navigate to Shopping Cart and get ready to checkout.
