Rabbit IKKgamma Polyclonal Antibody | anti-IKKgamma antibody
IKKgamma Polyclonal Antibody
Gene Names
IKBKG; IP; IP1; IP2; FIP3; IPD2; NEMO; FIP-3; Fip3p; AMCBX1; ZC2HC9; IKK-gamma
Reactivity
Human, Mouse, Rat
Applications
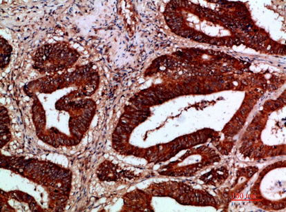
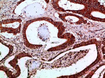
Immunohistochemistry, Western Blot
Synonyms
IKKgamma, Antibody; IKKgamma Polyclonal Antibody; NF-kappa-B essential modulator (NEMO)(FIP-3)(IkB kinase-associated protein 1)(IKKAP1)(Inhibitor of nuclear factor kappa-B kinase subunit gamma)(I-kappa-B kinase subunit gamma)(IKK-gamma)(IKKG)(IkB kinase subunit gamma)(NF-kappa-B essential modifier); anti-IKKgamma antibody
Host
Rabbit
Reactivity
Human, Mouse, Rat
Clonality
Polyclonal
Applicable Applications for anti-IKKgamma antibody
IHC (Immunohistochemistry), WB (Western Blot)
Preparation and Storage
Maintain refrigerated at 2-8 degree C for up to 2 weeks. For long term storage store at -20 degree C in small aliquots to prevent freeze-thaw cycles.
Related Product Information for anti-IKKgamma antibody
Regulatory subunit of the IKK core complex which phosphorylates inhibitors of NF-kappa-B thus leading to the dissociation of the inhibitor/NF-kappa-B complex andultimately the degradation of the inhibitor. Its binding to scaffolding polyubiquitin seems to play a role in IKK activation by multiple signaling receptor pathways. However, the specific type of polyubiquitin recognized upon cell stimulation (either 'Lys-63'- linked or linear polyubiquitin) and its functional importance is reported conflictingly. Also considered to be a mediator for TAX activation of NF-kappa-B. Could be implicated in NF-kappa-B- mediated protection from cytokine toxicity. Essential for viral activation of IRF3. Involved in TLR3- and IFIH1-mediated antiviral innate response; this function requires 'Lys-27'-linked polyubiquitination.
NCBI and Uniprot Product Information
NCBI GI #
NCBI GeneID
NCBI Accession #
NCBI GenBank Nucleotide #
Molecular Weight
48,198 Da
NCBI Official Full Name
NF-kappa-B essential modulator isoform b
NCBI Official Synonym Full Names
inhibitor of kappa light polypeptide gene enhancer in B-cells, kinase gamma
NCBI Official Symbol
IKBKG
NCBI Official Synonym Symbols
IP; IP1; IP2; FIP3; IPD2; NEMO; FIP-3; Fip3p; AMCBX1; ZC2HC9; IKK-gamma
NCBI Protein Information
NF-kappa-B essential modulator; IKKG; IKKAP1; incontinentia pigmenti; IkB kinase gamma subunit; ikB kinase subunit gamma; NFkappaB essential modulator; NF-kappa-B essential modifier; I-kappa-B kinase subunit gamma; ikB kinase-associated protein 1; inhibit
UniProt Protein Name
NF-kappa-B essential modulator
UniProt Gene Name
IKBKG
UniProt Synonym Gene Names
FIP3; NEMO; NEMO; IKKAP1; I-kappa-B kinase subunit gamma; IKK-gamma; IKKG
UniProt Entry Name
NEMO_HUMAN
Customer Reviews
Loading reviews...
Share Your Experience
Similar Products
Product Notes
The IKKgamma ikbkg (Catalog #AAA296532) is an Antibody produced from Rabbit and is intended for research purposes only. The product is available for immediate purchase. The IKKgamma Polyclonal Antibody reacts with Human, Mouse, Rat and may cross-react with other species as described in the data sheet. AAA Biotech's IKKgamma can be used in a range of immunoassay formats including, but not limited to, IHC (Immunohistochemistry), WB (Western Blot). Researchers should empirically determine the suitability of the IKKgamma ikbkg for an application not listed in the data sheet. Researchers commonly develop new applications and it is an integral, important part of the investigative research process. It is sometimes possible for the material contained within the vial of "IKKgamma, Polyclonal Antibody" to become dispersed throughout the inside of the vial, particularly around the seal of said vial, during shipment and storage. We always suggest centrifuging these vials to consolidate all of the liquid away from the lid and to the bottom of the vial prior to opening. Please be advised that certain products may require dry ice for shipping and that, if this is the case, an additional dry ice fee may also be required.Precautions
All products in the AAA Biotech catalog are strictly for research-use only, and are absolutely not suitable for use in any sort of medical, therapeutic, prophylactic, in-vivo, or diagnostic capacity. By purchasing a product from AAA Biotech, you are explicitly certifying that said products will be properly tested and used in line with industry standard. AAA Biotech and its authorized distribution partners reserve the right to refuse to fulfill any order if we have any indication that a purchaser may be intending to use a product outside of our accepted criteria.Disclaimer
Though we do strive to guarantee the information represented in this datasheet, AAA Biotech cannot be held responsible for any oversights or imprecisions. AAA Biotech reserves the right to adjust any aspect of this datasheet at any time and without notice. It is the responsibility of the customer to inform AAA Biotech of any product performance issues observed or experienced within 30 days of receipt of said product. To see additional details on this or any of our other policies, please see our Terms & Conditions page.Item has been added to Shopping Cart
If you are ready to order, navigate to Shopping Cart and get ready to checkout.
