Rabbit IKZF1 Polyclonal Antibody | anti-IKZF1 antibody
IKZF1 Antibody
Phosphate buffered saline, pH 7.4, 150mM NaCl, 0.02% sodium azide and 50% glycerol.
WB (Western Blot)
(Western blot analysis of extracts from HepG2, mouse muscle, using IKZF1 Antibody.)
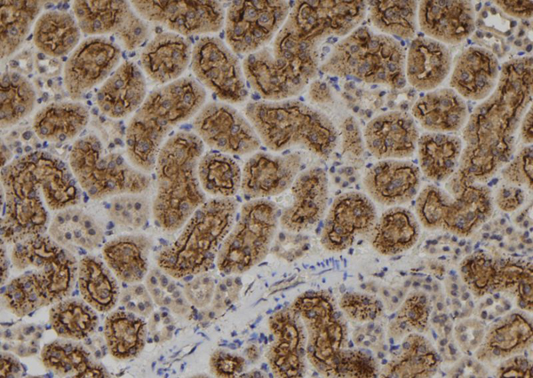
IHC (Immunohiostchemistry)
(AAA326424 at 1/100 staining Rat kidney tissue by IHC-P. The sample was formaldehyde fixed and a heat mediated antigen retrieval step in citrate buffer was performed. The sample was then blocked and incubated with the antibody for 1.5 hours at 22 degree C. An HRP conjugated goat anti-rabbit antibody was used as the secondary.)
WB (Western Blot)
(Western blot analysis of extracts of BT474, using IKZF1antibody. The lane on the left is treated with the antigen-specific peptide.)
Function: Transcription regulator of hematopoietic cell differentiation (PubMed:17934067). Binds gamma-satellite DNA (PubMed:17135265, PubMed:19141594). Plays a role in the development of lymphocytes, B-and T-cells. Binds and activates the enhancer (delta-A element) of the CD3-delta gene. Repressor of the TDT (fikzfterminal deoxynucleotidyltransferase) gene during thymocyte differentiation. Regulates transcription through association with both HDAC-dependent and HDAC-independent complexes. Targets the 2 chromatin-remodeling complexes, NuRD and BAF (SWI/SNF), in a single complex (PYR complex), to the beta-globin locus in adult erythrocytes. Increases normal apoptosis in adult erythroid cells. Confers early temporal competence to retinal progenitor cells (RPCs) (By similarity). Function is isoform-specific and is modulated by dominant-negative inactive isoforms (PubMed:17135265, PubMed:17934067).
Subunit Structure: Heterodimer formed by the various isoforms; this modulates transcription regulator activity (PubMed:17135265, PubMed:17934067). Heterodimer with other IKAROS family members. Interacts with IKZF4 AND IKZF5 (PubMed:10978333). Component of the chromatin-remodeling NuRD repressor complex which includes at least HDAC1, HDAC2, RBBP4, RBBP7, IKZF1, MTA2, MBD2, MBD3, MTA1L1, CHD3 and CHD4. Interacts directly with the CHD4 component of the NuRD complex. Interacts directly with SMARCA4; the interaction associates IKFZ1 with the BAF complex (PubMed:10204490). Interacts with SUMO1; the interaction sumoylates IKAROS, promoted by PIAS2 and PIAS3. Interacts with PIAS2 (isoform alpha); the interaction promotes sumoylation and reduces transcription repression. Interacts, to a lesser extent, with PIAS3. Interacts with PPP1CC; the interaction targets PPP1CC to pericentromeric heterochromatin, dephosphorylates IKAROS, stabilizes it and prevents it from degradation. Interacts with IKZF3 (By similarity).
Post-translational Modifications: Phosphorylation controls cell-cycle progression from late G1 stage to S stage. Hyperphosphorylated during G2/M phase. Dephosphorylated state during late G1 phase. Phosphorylation on Thr-140 is required for DNA and pericentromeric location during mitosis. CK2 is the main kinase, in vitro. GSK3 and CDK may also contribute to phosphorylation of the C-terminal serine and threonine residues. Phosphorylation on these C-terminal residues reduces the DNA-binding ability. Phosphorylation/dephosphorylation events on Ser-13 and Ser-295 regulate TDT expression during thymocyte differentiation. Dephosphorylation by protein phosphatase 1 regulates stability and pericentromeric heterochromatin location. Phosphorylated in both lymphoid and non-lymphoid tissues (By similarity). Phosphorylation at Ser-361 and Ser-364 downstream of SYK induces nuclear translocation. Sumoylated. Simulataneous sumoylation on the 2 sites results in a loss of both HDAC-dependent and HDAC-independent repression. Has no effect on pericentromeric heterochromatin location. Desumoylated by SENP1 (By similarity). Polyubiquitinated.
Similarity: The N-terminal zinc-fingers 2 and 3 are required for DNA binding as well as for targeting IKFZ1 to pericentromeric heterochromatin.The C-terminal zinc-finger domain is required for dimerization. Belongs to the Ikaros C2H2-type zinc-finger protein family.
NCBI and Uniprot Product Information
Predicted: 58 kDa
Customer Reviews
Loading reviews...
Share Your Experience
Similar Products
Product Notes
The IKZF1 ikzf1 (Catalog #AAA326424) is an Antibody produced from Rabbit and is intended for research purposes only. The product is available for immediate purchase. The IKZF1 Antibody reacts with Human, Mouse, Rat and may cross-react with other species as described in the data sheet. AAA Biotech's IKZF1 can be used in a range of immunoassay formats including, but not limited to, ELISA, IHC (Immunohistochemistry), WB (Western Blot). Researchers should empirically determine the suitability of the IKZF1 ikzf1 for an application not listed in the data sheet. Researchers commonly develop new applications and it is an integral, important part of the investigative research process. It is sometimes possible for the material contained within the vial of "IKZF1, Polyclonal Antibody" to become dispersed throughout the inside of the vial, particularly around the seal of said vial, during shipment and storage. We always suggest centrifuging these vials to consolidate all of the liquid away from the lid and to the bottom of the vial prior to opening. Please be advised that certain products may require dry ice for shipping and that, if this is the case, an additional dry ice fee may also be required.Precautions
All products in the AAA Biotech catalog are strictly for research-use only, and are absolutely not suitable for use in any sort of medical, therapeutic, prophylactic, in-vivo, or diagnostic capacity. By purchasing a product from AAA Biotech, you are explicitly certifying that said products will be properly tested and used in line with industry standard. AAA Biotech and its authorized distribution partners reserve the right to refuse to fulfill any order if we have any indication that a purchaser may be intending to use a product outside of our accepted criteria.Disclaimer
Though we do strive to guarantee the information represented in this datasheet, AAA Biotech cannot be held responsible for any oversights or imprecisions. AAA Biotech reserves the right to adjust any aspect of this datasheet at any time and without notice. It is the responsibility of the customer to inform AAA Biotech of any product performance issues observed or experienced within 30 days of receipt of said product. To see additional details on this or any of our other policies, please see our Terms & Conditions page.Item has been added to Shopping Cart
If you are ready to order, navigate to Shopping Cart and get ready to checkout.
