Host
Rabbit
Reactivity
Human
Predicted: Mouse, Rat
Predicted: Mouse, Rat
Clonality
Polyclonal
Form/Format
Purified by protein affinity column containing 1% BSA and 0.02% NaN3
Sequence Length
422
Applicable Applications for anti-IL11RA antibody
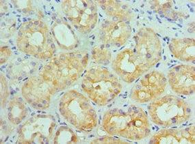
IHC (Immunohistochemistry), WB (Western Blot), ELISA
Preparation and Storage
Already reconstituted in 200ul sterile H2O. The antibody is stable for at least one year when stored at-20 degree C after reconstitution. Avoid repeated freeze/defrost cycles
Related Product Information for anti-IL11RA antibody
Rabbit polyclonal IL11RA (1) antibody was raised against a recombinate human IL11RA protein 177-370aa (BC003110).
Product Categories/Family for anti-IL11RA antibody
References
(1) Bailey, S.D., Xie, C., Do, R., et al. Variation at the NFATC2 locus increases the risk of thiazolidinedione-induced edema in the Diabetes Reduction Assessment with ramipril and rosiglitazone Medication (DREAM) study. Diabetes Care 33 (10), 2250-2253 (2010).
NCBI and Uniprot Product Information
NCBI GI #
NCBI GeneID
NCBI Accession #
NCBI GenBank Nucleotide #
NCBI Official Full Name
interleukin-11 receptor subunit alpha
NCBI Official Synonym Full Names
interleukin 11 receptor subunit alpha
NCBI Official Symbol
IL11RA
NCBI Official Synonym Symbols
CRSDA
NCBI Protein Information
interleukin-11 receptor subunit alpha
UniProt Protein Name
Interleukin-11 receptor subunit alpha
UniProt Gene Name
IL11RA
UniProt Synonym Gene Names
IL-11 receptor subunit alpha; IL-11R subunit alpha; IL-11R-alpha; IL-11RA
Customer Reviews
Loading reviews...
Share Your Experience
Similar Products
Product Notes
The IL11RA il11ra (Catalog #AAA109291) is an Antibody produced from Rabbit and is intended for research purposes only. The product is available for immediate purchase. The IL11RA Antibody reacts with Human Predicted: Mouse, Rat and may cross-react with other species as described in the data sheet. AAA Biotech's IL11RA can be used in a range of immunoassay formats including, but not limited to, IHC (Immunohistochemistry), WB (Western Blot), ELISA. Researchers should empirically determine the suitability of the IL11RA il11ra for an application not listed in the data sheet. Researchers commonly develop new applications and it is an integral, important part of the investigative research process. It is sometimes possible for the material contained within the vial of "IL11RA, Polyclonal Antibody" to become dispersed throughout the inside of the vial, particularly around the seal of said vial, during shipment and storage. We always suggest centrifuging these vials to consolidate all of the liquid away from the lid and to the bottom of the vial prior to opening. Please be advised that certain products may require dry ice for shipping and that, if this is the case, an additional dry ice fee may also be required.Precautions
All products in the AAA Biotech catalog are strictly for research-use only, and are absolutely not suitable for use in any sort of medical, therapeutic, prophylactic, in-vivo, or diagnostic capacity. By purchasing a product from AAA Biotech, you are explicitly certifying that said products will be properly tested and used in line with industry standard. AAA Biotech and its authorized distribution partners reserve the right to refuse to fulfill any order if we have any indication that a purchaser may be intending to use a product outside of our accepted criteria.Disclaimer
Though we do strive to guarantee the information represented in this datasheet, AAA Biotech cannot be held responsible for any oversights or imprecisions. AAA Biotech reserves the right to adjust any aspect of this datasheet at any time and without notice. It is the responsibility of the customer to inform AAA Biotech of any product performance issues observed or experienced within 30 days of receipt of said product. To see additional details on this or any of our other policies, please see our Terms & Conditions page.Item has been added to Shopping Cart
If you are ready to order, navigate to Shopping Cart and get ready to checkout.
