Rabbit anti-Human IL12_2 Polyclonal Antibody | anti-IL12RB2 antibody
IL12_2 Antibody (C-term)
FCM/FACS (Flow Cytometry)
(Overlay histogram showing A431 cells stained with AAA289081 (green line). The cells were fixed with 2% paraformaldehyde (10 min) andthen permeabilized with 90% methanol for 10min. The cells were then icubated in 2% bovineserum albumin to block non-specific protein-protein interactions followed by the antibody (AAA289081, 1:25 dilution) for 60 min at 37ºC. The secondary antibody used was Goat-Anti-Rabbit IgG, DyLight® 488 Conjugated Highly Cross-Adsorbed at 1/200 dilution for 40 min at 37ºC. Isotype control antibody (blue line) was rabbit IgG (1ug/1x10^6 cells) used under the same conditions. Acquisition of >10, 000 events was performed.)
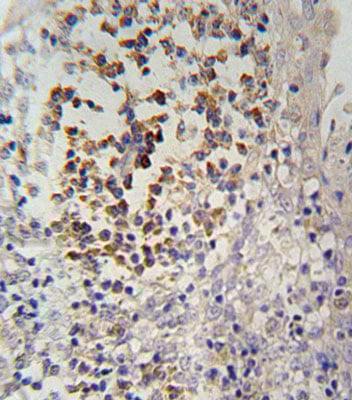
IHC (Immunohistochemisry)
(IL12RB2 Antibody (C-term) (Cat. #AAA289081) immunohistochemistry analysis in formalin fixed and paraffin embedded human tonsils tissue followed by peroxidase conjugation ofthe secondary antibody and DAB staining. This data demonstrates the use of the IL12RB2 Antibody (C-term) for immunohistochemistry. Clinical relevance has not been evaluated.)
WB (Western Blot)
(IL12RB2 Antibody (C-term) (Cat. #AAA289081) western blot analysis in MDA-MB435 cell line lysates (35ug/lane).This demonstrates the IL12RB2 antibody detected the IL12 protein (arrow))
WB (Western Blot)
(All lanes : Anti-IL12RB2 Antibody (C-term) at 1:2000 dilutionLane 1: THP-1 whole cell lysateLane 2: A431 whole cell lysateLane 3: Jurkat whole cell lysateLane 4: MOLT-4 whole cell lysate Lysates/proteins at 20 ug per lane.Secondary Goat Anti-Rabbit IgG, (H+L),Peroxidase conjugated at 1/10000 dilution.Predicted band size : 97 kDaBlocking/Dilution buffer: 5% NFDM/TBST.)
protein identified as a subunit of the interleukin 12 receptor
complex. The coexpression of this and IL12RB1 proteins was shown to
lead to the formation of high-affinity IL12 binding sites and
reconstitution of IL12 dependent signaling. The expression of this
gene is up-regulated by interferon gamma in Th1 cells, and plays a
role in Th1 cell differentiation. The up-regulation of this gene is
found to be associated with a number of infectious diseases, such
as Crohn's disease and leprosy, which is thought to contribute to
the inflammatory response and host defense.
Bailey, S.D., et al. Diabetes Care 33(10):2250-2253(2010)
Liu, X., et al. Nat. Genet. 42(8):658-660(2010)
Mizuki, N., et al. Nat. Genet. 42(8):703-706(2010)
Remmers, E.F., et al. Nat. Genet. 42(8):698-702(2010)
NCBI and Uniprot Product Information
Customer Reviews
Loading reviews...
Share Your Experience
Similar Products
Product Notes
The IL12RB2 il12rb2 (Catalog #AAA289081) is an Antibody produced from Rabbit and is intended for research purposes only. The product is available for immediate purchase. The immunogen sequence is 756-783. The IL12_2 Antibody (C-term) reacts with Human and may cross-react with other species as described in the data sheet. AAA Biotech's IL12_2 can be used in a range of immunoassay formats including, but not limited to, ELISA, FCM/FACS (Flow Cytometry), IHC (Immunohistochemistry), WB (Western Blot). Researchers should empirically determine the suitability of the IL12RB2 il12rb2 for an application not listed in the data sheet. Researchers commonly develop new applications and it is an integral, important part of the investigative research process. It is sometimes possible for the material contained within the vial of "IL12_2, Polyclonal Antibody" to become dispersed throughout the inside of the vial, particularly around the seal of said vial, during shipment and storage. We always suggest centrifuging these vials to consolidate all of the liquid away from the lid and to the bottom of the vial prior to opening. Please be advised that certain products may require dry ice for shipping and that, if this is the case, an additional dry ice fee may also be required.Precautions
All products in the AAA Biotech catalog are strictly for research-use only, and are absolutely not suitable for use in any sort of medical, therapeutic, prophylactic, in-vivo, or diagnostic capacity. By purchasing a product from AAA Biotech, you are explicitly certifying that said products will be properly tested and used in line with industry standard. AAA Biotech and its authorized distribution partners reserve the right to refuse to fulfill any order if we have any indication that a purchaser may be intending to use a product outside of our accepted criteria.Disclaimer
Though we do strive to guarantee the information represented in this datasheet, AAA Biotech cannot be held responsible for any oversights or imprecisions. AAA Biotech reserves the right to adjust any aspect of this datasheet at any time and without notice. It is the responsibility of the customer to inform AAA Biotech of any product performance issues observed or experienced within 30 days of receipt of said product. To see additional details on this or any of our other policies, please see our Terms & Conditions page.Item has been added to Shopping Cart
If you are ready to order, navigate to Shopping Cart and get ready to checkout.
