Rabbit IL13R Polyclonal Antibody | anti-IL13R antibody
IL13R antibody
Gene Names
IL13RA2; CT19; IL-13R; IL13BP; CD213A2
Applications
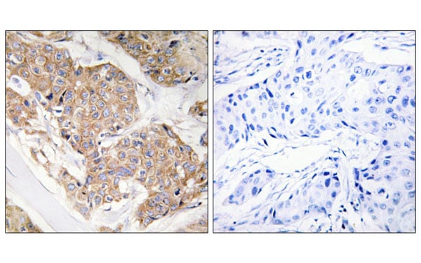
ELISA, Immunofluorescence, Immunohistochemistry, Western Blot
Purity
Affinity Purified
Synonyms
IL13R, Antibody; IL13R antibody; Polyclonal IL13R; Anti-IL13R; AI882074; CD213a1; I13R1; IL-13 receptor subunit alpha-1; IL-13R subunit alpha-1; IL-13R-alpha-1; IL-13r[a]; IL-13RA1; Il13r; Il13ra; Il13ra1; interleukin 13 receptor alpha 1; Interleukin-13 receptor subunit alpha-1; Interleukin-13-binding protein; Novel cytokine receptor 4; NR4; OTTMUSP00000018722; anti-IL13R antibody
Host
Rabbit
Clonality
Polyclonal
Isotype
IgG
Purity/Purification
Affinity Purified
Form/Format
Supplied in PBS (without Mg2+ and Ca2+), pH 7.4, 150mM NaCl, 0.02% sodium azide and 50% glycerol
Concentration
1 mg/ml (varies by lot)
Sequence Length
380
Applicable Applications for anti-IL13R antibody
ELISA, IF (Immunofluorescence), IHC (Immunohistochemistry), WB (Western Blot)
Cross-Reactivity
Human, Mouse
Immunogen
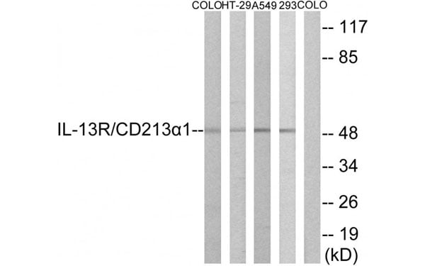
Synthesized non-phosphopeptide derived from human IL-13R/CD213α1 around the phosphorylation site of tyrosine 405 (D-I-YP-E-K)
Preparation and Storage
Store at -20°C. Product may be stored at 2°C to 8°C short term (<4months). Avoid repeat freeze/thaw cycles
Product Categories/Family for anti-IL13R antibody
NCBI and Uniprot Product Information
NCBI GI #
NCBI GeneID
NCBI Official Full Name
interleukin 13 receptor
NCBI Official Synonym Full Names
interleukin 13 receptor, alpha 2
NCBI Official Symbol
IL13RA2
NCBI Official Synonym Symbols
CT19; IL-13R; IL13BP; CD213A2
NCBI Protein Information
interleukin-13 receptor subunit alpha-2
UniProt Protein Name
Interleukin-13 receptor subunit alpha-2
UniProt Gene Name
IL13RA2
UniProt Synonym Gene Names
IL13R; IL-13 receptor subunit alpha-2; IL-13R subunit alpha-2; IL-13R-alpha-2; IL-13RA2
UniProt Entry Name
I13R2_HUMAN
Customer Reviews
Loading reviews...
Share Your Experience
Similar Products
Product Notes
The IL13R il13ra2 (Catalog #AAA224289) is an Antibody produced from Rabbit and is intended for research purposes only. The product is available for immediate purchase. AAA Biotech's IL13R can be used in a range of immunoassay formats including, but not limited to, ELISA, IF (Immunofluorescence), IHC (Immunohistochemistry), WB (Western Blot). Researchers should empirically determine the suitability of the IL13R il13ra2 for an application not listed in the data sheet. Researchers commonly develop new applications and it is an integral, important part of the investigative research process. It is sometimes possible for the material contained within the vial of "IL13R, Polyclonal Antibody" to become dispersed throughout the inside of the vial, particularly around the seal of said vial, during shipment and storage. We always suggest centrifuging these vials to consolidate all of the liquid away from the lid and to the bottom of the vial prior to opening. Please be advised that certain products may require dry ice for shipping and that, if this is the case, an additional dry ice fee may also be required.Precautions
All products in the AAA Biotech catalog are strictly for research-use only, and are absolutely not suitable for use in any sort of medical, therapeutic, prophylactic, in-vivo, or diagnostic capacity. By purchasing a product from AAA Biotech, you are explicitly certifying that said products will be properly tested and used in line with industry standard. AAA Biotech and its authorized distribution partners reserve the right to refuse to fulfill any order if we have any indication that a purchaser may be intending to use a product outside of our accepted criteria.Disclaimer
Though we do strive to guarantee the information represented in this datasheet, AAA Biotech cannot be held responsible for any oversights or imprecisions. AAA Biotech reserves the right to adjust any aspect of this datasheet at any time and without notice. It is the responsibility of the customer to inform AAA Biotech of any product performance issues observed or experienced within 30 days of receipt of said product. To see additional details on this or any of our other policies, please see our Terms & Conditions page.Item has been added to Shopping Cart
If you are ready to order, navigate to Shopping Cart and get ready to checkout.
