Rabbit Induced myeloid leukemia cell differentiation protein Mcl-1 Polyclonal Antibody | anti-MCL1 antibody
Anti-MCL1 Antibody
Each vial contains 5mg BSA, 0.9mg NaCl, 0.2mg Na2HPO4, 0.05mg NaN3.
IHC (Immunohistochemistry)
(Anti-MCL1 Picoband antibody, AAA46091-5.JPGIHC(P): Mouse Intestine Tissue)
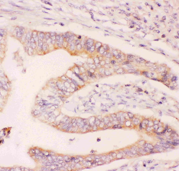
IHC (Immunohistochemistry)
(Anti-MCL1 Picoband antibody, AAA46091-4.JPGIHC(P): Human Intestinal Cancer Tissue)
Application Data
(Anti-MCL1 Picoband antibody, AAA46091-2.jpgAll lanes: Anti MCL1 (AAA46091) at 0.5ug/mlLane 1: Rat Spleen Tissue Lysate at 50ugLane 2: HEPG2 Whole Cell Lysate at 40ugLane 3: MCF-7 Whole Cell Lysate at 40ugLane 4: COLO320 Whole Cell Lysate at 40ugPredicted bind size: 37KDObserved bind size: 37KD)
Application Data
(Anti-MCL1 Picoband antibody, AAA46091-1.jpgAll lanes: Anti MCL1 (AAA46091) at 0.5ug/mlWB: Recombinant Human MCL1 Protein 0.5ngPredicted bind size: 40KDObserved bind size: 40KD)
Background: MCL1, also known as myeloid cell leukemia 1, is a protein that in humans is encoded the MCL1 gene. It is mapped to 1q21.3. MCL1 is a potent multidomain antiapoptotic protein of the BCL2 family that heterodimerizes with other BCL2 family members to protect against apoptotic cell death. MCL1 as an attractive candidate for regulation of hematopoietic stem cell homeostasis that is highly expressed in hematopoietic stem cells and regulated by growth factor signals. MCL1 is a critical and specific regulator essential for ensuring the homeostasis of early hematopoietic progenitors. During mitotic arrest, MCL1 protein levels decline markedly, through a posttranslational mechanism, potentiating cell death. Phosphorylation of MCL1 directs its interaction with the tumor suppressor protein FBW7, which is the substrate-binding component of a ubiquitin ligase complex.
NCBI and Uniprot Product Information
Customer Reviews
Loading reviews...
Share Your Experience
Similar Products
Product Notes
The MCL1 mcl1 (Catalog #AAA46091) is an Antibody produced from Rabbit and is intended for research purposes only. The product is available for immediate purchase. The Anti-MCL1 Antibody reacts with Human, Mouse, Rat. No cross reactivity with other proteins. and may cross-react with other species as described in the data sheet. AAA Biotech's Induced myeloid leukemia cell differentiation protein Mcl-1 can be used in a range of immunoassay formats including, but not limited to, IHC (Immunohistochemistry), WB (Western Blot). Researchers should empirically determine the suitability of the MCL1 mcl1 for an application not listed in the data sheet. Researchers commonly develop new applications and it is an integral, important part of the investigative research process. It is sometimes possible for the material contained within the vial of "Induced myeloid leukemia cell differentiation protein Mcl-1, Polyclonal Antibody" to become dispersed throughout the inside of the vial, particularly around the seal of said vial, during shipment and storage. We always suggest centrifuging these vials to consolidate all of the liquid away from the lid and to the bottom of the vial prior to opening. Please be advised that certain products may require dry ice for shipping and that, if this is the case, an additional dry ice fee may also be required.Precautions
All products in the AAA Biotech catalog are strictly for research-use only, and are absolutely not suitable for use in any sort of medical, therapeutic, prophylactic, in-vivo, or diagnostic capacity. By purchasing a product from AAA Biotech, you are explicitly certifying that said products will be properly tested and used in line with industry standard. AAA Biotech and its authorized distribution partners reserve the right to refuse to fulfill any order if we have any indication that a purchaser may be intending to use a product outside of our accepted criteria.Disclaimer
Though we do strive to guarantee the information represented in this datasheet, AAA Biotech cannot be held responsible for any oversights or imprecisions. AAA Biotech reserves the right to adjust any aspect of this datasheet at any time and without notice. It is the responsibility of the customer to inform AAA Biotech of any product performance issues observed or experienced within 30 days of receipt of said product. To see additional details on this or any of our other policies, please see our Terms & Conditions page.Item has been added to Shopping Cart
If you are ready to order, navigate to Shopping Cart and get ready to checkout.
