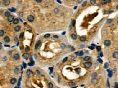
Rabbit anti-Human Involucrin Polyclonal Antibody | anti-IVL antibody
Involucrin Antibody
Reactivity
Human
Applications
Immunohistochemistry, Western Blot
Purity
The antibody was affinity-purified from rabbit antiserum by affinity-chromatography using epitope-specific immunogen.
Synonyms
Involucrin, Antibody; Involucrin Antibody; Involucrin; IVL; anti-IVL antibody
Host
Rabbit
Reactivity
Human
Clonality
Polyclonal
Specificity
The antibody detects endogenous levels of total Involucrin protein.
Purity/Purification
The antibody was affinity-purified from rabbit antiserum by affinity-chromatography using epitope-specific immunogen.
Form/Format
Rabbit IgG in phosphate buffered saline (without Mg2+ and Ca2+), pH 7.4, 150mM NaCl, 0.02% sodium azide and 50% glycerol.
Concentration
1.0 mg/ml (varies by lot)
Sequence Length
585
Applicable Applications for anti-IVL antibody
IHC (Immunohistochemistry), WB (Western Blot)
Immunogen Type
Peptide
Immunogen Description
Synthesized peptide derived from human Involucrin.
Target Name
Involucrin
Preparation and Storage
Store at -20 degree C
Related Product Information for anti-IVL antibody
Part of the insoluble cornified cell envelope (CE) of stratified squamous epithelia.Zoltan Nemes, J. Biol. Chem., Apr 1999; 274: 11013.MB Yaffe, J. Biol. Chem., Jun 1992; 267: 12233 - 12238.Gautam Adhikary, Invest. Ophthalmol. Vis. Sci., Sep 2005; 46: 3109 - 3120.E Taresa, J. Biol. Chem., Dec 1992; 267: 25648 - 25651.
Product Categories/Family for anti-IVL antibody
NCBI and Uniprot Product Information
NCBI GI #
NCBI GeneID
NCBI Accession #
NCBI GenBank Nucleotide #
Molecular Weight
68,479 Da
NCBI Official Full Name
involucrin
NCBI Official Synonym Full Names
involucrin
NCBI Official Symbol
IVL
NCBI Protein Information
involucrin
UniProt Protein Name
Involucrin
UniProt Gene Name
IVL
UniProt Entry Name
INVO_HUMAN
Customer Reviews
Loading reviews...
Share Your Experience
Similar Products
Product Notes
The IVL ivl (Catalog #AAA306314) is an Antibody produced from Rabbit and is intended for research purposes only. The product is available for immediate purchase. The Involucrin Antibody reacts with Human and may cross-react with other species as described in the data sheet. AAA Biotech's Involucrin can be used in a range of immunoassay formats including, but not limited to, IHC (Immunohistochemistry), WB (Western Blot). Researchers should empirically determine the suitability of the IVL ivl for an application not listed in the data sheet. Researchers commonly develop new applications and it is an integral, important part of the investigative research process. It is sometimes possible for the material contained within the vial of "Involucrin, Polyclonal Antibody" to become dispersed throughout the inside of the vial, particularly around the seal of said vial, during shipment and storage. We always suggest centrifuging these vials to consolidate all of the liquid away from the lid and to the bottom of the vial prior to opening. Please be advised that certain products may require dry ice for shipping and that, if this is the case, an additional dry ice fee may also be required.Precautions
All products in the AAA Biotech catalog are strictly for research-use only, and are absolutely not suitable for use in any sort of medical, therapeutic, prophylactic, in-vivo, or diagnostic capacity. By purchasing a product from AAA Biotech, you are explicitly certifying that said products will be properly tested and used in line with industry standard. AAA Biotech and its authorized distribution partners reserve the right to refuse to fulfill any order if we have any indication that a purchaser may be intending to use a product outside of our accepted criteria.Disclaimer
Though we do strive to guarantee the information represented in this datasheet, AAA Biotech cannot be held responsible for any oversights or imprecisions. AAA Biotech reserves the right to adjust any aspect of this datasheet at any time and without notice. It is the responsibility of the customer to inform AAA Biotech of any product performance issues observed or experienced within 30 days of receipt of said product. To see additional details on this or any of our other policies, please see our Terms & Conditions page.Item has been added to Shopping Cart
If you are ready to order, navigate to Shopping Cart and get ready to checkout.
