Rabbit anti-Human IRAK1 Polyclonal Antibody | anti-IRAK1 antibody
IRAK1 Antibody
Phosphate buffered saline, pH 7.4, 150mM NaCl, 0.02% sodium azide and 50% glycerol.
IF (Immunofluorescence)
(AAA324177 staining Hela cells by IF/ICC. The sample were fixed with PFA and permeabilized in 0.1% Triton X-100, then blocked in 10% serum for 45 minutes at 25 degree C. The primary antibody was diluted at 1/200 and incubated with the sample for 1 hour at 37 degree C. An Alexa Fluor 594 conjugated goat anti-rabbit IgG (H+L) antibody, diluted at 1/600, was used as secondary antibody.)
WB (Western Blot)
(Western blot analysis of extracts from K562 cells, using IRAK1 antibody.The lane on the left is treated with the antigen-specific peptide.)
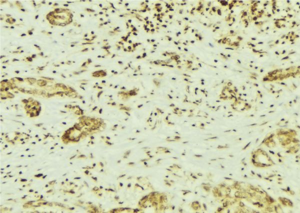
IHC (Immunohistochemistry)
(AAA324177 at 1/100 staining Human breast cancer tissue by IHC-P. The sample was formaldehyde fixed and a heat mediated antigen retrieval step in citrate buffer was performed. The sample was then blocked and incubated with the antibody for 1.5 hours at 22 degree C. An HRP conjugated goat anti-rabbit antibody was used as the secondary.)
Subunit Structure: Homodimer (By similarity). Forms a complex with TRAF6, PELI1, IRAK4 and MYD88 (PubMed:16951688). Direct binding of SMAD6 to PELI1 prevents complex formation and hence negatively regulates IL1R-TLR signaling and eventually NF-kappa-B-mediated gene expression (PubMed:16951688). The TRAF6-PELI1-IRAK4-MYD88 complex recruits MAP3K7/TAK1, TAB1 and TAB2 to mediate NF-kappa-B activation (PubMed:16951688). Interaction with MYD88 recruits IRAK1 to the stimulated receptor complex (PubMed:9430229). Interacts with TOLLIP; this interaction occurs in the cytosol prior to receptor activation (PubMed:10854325). Interacts with IL1RL1 (PubMed:16286016). Interacts with PELI1 and TRAF6 (PubMed:12496252). Interacts (when polyubiquitinated) with IKBKG/NEMO (PubMed:18347055). Interacts with RSAD2/viperin (By similarity). Interacts with IRAK1BP1 (By similarity). Interacts with PELI2 (By similarity). Interacts with ZC3H12A; this interaction increases the interaction between ZC3H12A and IKBKB/IKKB (By similarity). Interacts with IRAK4 (PubMed:11960013). Interacts with PELI3 (PubMed:12874243). Interacts with INAVA; the interaction takes place upon PRR stimulation (PubMed:28436939).
Post-translational Modifications: Following recruitment on the activated receptor complex, phosphorylated on Thr-209, probably by IRAK4, resulting in a conformational change of the kinase domain, allowing further phosphorylations to take place. Thr-387 phosphorylation in the activation loop is required to achieve full enzymatic activity. Polyubiquitinated by TRAF6 after cell stimulation with IL-1-beta by PELI1, PELI2 and PELI3. Polyubiquitination occurs with polyubiquitin chains linked through 'Lys-63'. Ubiquitination promotes interaction with NEMO/IKBKG. Also sumoylated; leading to nuclear translocation.
Similarity: The ProST region is composed of many proline and serine residues (more than 20 of each) and some threonines. This region is the site of IRAK-1 hyperphosphorylation. Belongs to the protein kinase superfamily. TKL Ser/Thr protein kinase family. Pelle subfamily.
NCBI and Uniprot Product Information
Predicted: 77 kDa
Customer Reviews
Loading reviews...
Share Your Experience
Similar Products
Product Notes
The IRAK1 irak1 (Catalog #AAA324177) is an Antibody produced from Rabbit and is intended for research purposes only. The product is available for immediate purchase. The IRAK1 Antibody reacts with Human and may cross-react with other species as described in the data sheet. AAA Biotech's IRAK1 can be used in a range of immunoassay formats including, but not limited to, ELISA, ICC (Immunocytochemistry), IF (Immunofluorescence), IHC (Immunohistochemistry), WB (Western Blot). Researchers should empirically determine the suitability of the IRAK1 irak1 for an application not listed in the data sheet. Researchers commonly develop new applications and it is an integral, important part of the investigative research process. It is sometimes possible for the material contained within the vial of "IRAK1, Polyclonal Antibody" to become dispersed throughout the inside of the vial, particularly around the seal of said vial, during shipment and storage. We always suggest centrifuging these vials to consolidate all of the liquid away from the lid and to the bottom of the vial prior to opening. Please be advised that certain products may require dry ice for shipping and that, if this is the case, an additional dry ice fee may also be required.Precautions
All products in the AAA Biotech catalog are strictly for research-use only, and are absolutely not suitable for use in any sort of medical, therapeutic, prophylactic, in-vivo, or diagnostic capacity. By purchasing a product from AAA Biotech, you are explicitly certifying that said products will be properly tested and used in line with industry standard. AAA Biotech and its authorized distribution partners reserve the right to refuse to fulfill any order if we have any indication that a purchaser may be intending to use a product outside of our accepted criteria.Disclaimer
Though we do strive to guarantee the information represented in this datasheet, AAA Biotech cannot be held responsible for any oversights or imprecisions. AAA Biotech reserves the right to adjust any aspect of this datasheet at any time and without notice. It is the responsibility of the customer to inform AAA Biotech of any product performance issues observed or experienced within 30 days of receipt of said product. To see additional details on this or any of our other policies, please see our Terms & Conditions page.Item has been added to Shopping Cart
If you are ready to order, navigate to Shopping Cart and get ready to checkout.
