Rabbit IRF-3 Polyclonal Antibody | anti-IRF-3 antibody
Phospho-IRF-3 (Ser15) Antibody
Predicted: Bovine, Horse
Predicted: Bovine, Horse
WB (Western Blot)
(Western blot analysis of Phospho-IRF-3 (Ser15) in lysates of HT29 Insulin 0.01U/ML 15', using Phospho-IRF-3 (Ser15) Antibody.)
IHC (Immunohiostchemistry)
(At 1/100 staining rat lung tissue sections by IHC-P. The tissue was formaldehyde fixed and a heat mediated antigen retrieval step in citrate buffer was performed. The tissue was then blocked and incubated with the antibody for 1.5 hours at 22 degree C. An HRP conjugated goat anti-rabbit antibody was used as the secondary)
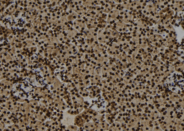
IHC (Immunohistochemistry)
(At 1/100 staining mouse kidney tissue sections by IHC-P. The tissue was formaldehyde fixed and a heat mediated antigen retrieval step in citrate buffer was performed. The tissue was then blocked and incubated with the antibody for 1.5 hours at 22 degree C. An HRP conjugated goat anti-rabbit antibody was used as the secondary)
Post Translational Modifications: Constitutively phosphorylated on many Ser/Thr residues. C-terminal serine/threonine cluster is phosphorylated in response of induction by IKBKE and TBK1. Phosphorylated at Ser-396 by IKBKE upon ssRNA viral infection. Ser-385 and Ser-386 may be specifically phosphorylated in response to induction. Phosphorylation at Ser-386 by TBK1 results in oligomerization. An alternate model propose that the five serine/threonine residues between 396 and 405 are phosphorylated in response to a viral infection.(Microbial infection) Phosphorylation and subsequent activation of IRF3 is inhibited by vaccinia virus protein E3. Ubiquitinated; ubiquitination involves RBCK1 leading to proteasomal degradation. Polyubiquitinated; ubiquitination involves TRIM21 leading to proteasomal degradation. ISGylated by HERC5 resulting in sustained IRF3 activation and in the inhibition of IRF3 ubiquitination by disrupting PIN1 binding. The phosphorylation state of IRF3 does not alter ISGylation.
Subunit Structure: Monomer. Homodimer; phosphorylation-induced. Heterodimer with IRF7. Interacts with CREBBP. May interact with MAVS. Interacts with IKBKE and TBK1. Interacts with TICAM1 and TICAM2. Interacts with RBCK1. Interacts with HERC5. Interacts with DDX3X (phosphorylated at 'Ser-102'); the interaction allows the phosphorylation and activation of IRF3 by IKBKE. Interacts with TRIM21 and ULK1, in the presence of TRIM21; this interaction leads to IRF3 degradation by autophagy (PubMed:26347139). Interacts with RIOK3; RIOK3 probybly mediates the interaction of TBK1 with IRF3.
Similarity: Belongs to the IRF family.
NCBI and Uniprot Product Information
Predicted: 48 kDa
Customer Reviews
Loading reviews...
Share Your Experience
Similar Products
Product Notes
The IRF-3 irf3 (Catalog #AAA328514) is an Antibody produced from Rabbit and is intended for research purposes only. The product is available for immediate purchase. The Phospho-IRF-3 (Ser15) Antibody reacts with Human, Mouse, Rat Predicted: Bovine, Horse and may cross-react with other species as described in the data sheet. AAA Biotech's IRF-3 can be used in a range of immunoassay formats including, but not limited to, ELISA (Peptide ELISA), IHC (Immunohistochemistry), WB (Western Blot). Researchers should empirically determine the suitability of the IRF-3 irf3 for an application not listed in the data sheet. Researchers commonly develop new applications and it is an integral, important part of the investigative research process. It is sometimes possible for the material contained within the vial of "IRF-3, Polyclonal Antibody" to become dispersed throughout the inside of the vial, particularly around the seal of said vial, during shipment and storage. We always suggest centrifuging these vials to consolidate all of the liquid away from the lid and to the bottom of the vial prior to opening. Please be advised that certain products may require dry ice for shipping and that, if this is the case, an additional dry ice fee may also be required.Precautions
All products in the AAA Biotech catalog are strictly for research-use only, and are absolutely not suitable for use in any sort of medical, therapeutic, prophylactic, in-vivo, or diagnostic capacity. By purchasing a product from AAA Biotech, you are explicitly certifying that said products will be properly tested and used in line with industry standard. AAA Biotech and its authorized distribution partners reserve the right to refuse to fulfill any order if we have any indication that a purchaser may be intending to use a product outside of our accepted criteria.Disclaimer
Though we do strive to guarantee the information represented in this datasheet, AAA Biotech cannot be held responsible for any oversights or imprecisions. AAA Biotech reserves the right to adjust any aspect of this datasheet at any time and without notice. It is the responsibility of the customer to inform AAA Biotech of any product performance issues observed or experienced within 30 days of receipt of said product. To see additional details on this or any of our other policies, please see our Terms & Conditions page.Item has been added to Shopping Cart
If you are ready to order, navigate to Shopping Cart and get ready to checkout.
