Rabbit ITGAM Polyclonal Antibody | anti-ITGAM antibody
ITGAM Antibody
Phosphate buffered saline, pH 7.4, 150mM NaCl, 0.02% sodium azide and 50% glycerol.
WB (Western Blot)
(Western blot analysis of Mouse spleen lysate, using ITGAM Antibody. The lane on the left is treated with the antigen-specific peptide.)
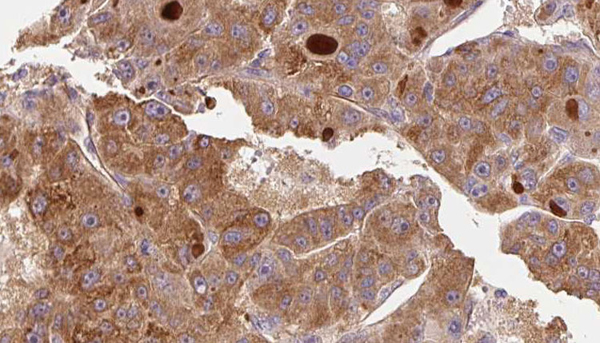
IHC (Immunohiostchemistry)
(AAA326244 at 1/100 staining Human liver cancer tissue by IHC-P. The sample was formaldehyde fixed and a heat mediated antigen retrieval step in citrate buffer was performed. The sample was then blocked and incubated with the antibody for 1.5 hours at 22 degree C. An HRP conjugated goat anti-rabbit antibody was used as the secondary.)
WB (Western Blot)
(Western blot analysis of extracts from Hela, using ITGAM Antibody. Lane 1 was treated with the antigen-specific peptide.)
Function: Integrin ITGAM/ITGB2 is implicated in various adhesive interactions of monocytes, macrophages and granulocytes as well as in mediating the uptake of complement-coated particles. It is identical with CR-3, the receptor for the iC3b fragment of the third complement component. It probably recognizes the R-G-D peptide in C3b. Integrin ITGAM/ITGB2 is also a receptor for fibrinogen, factor X and ICAM1. It recognizes P1 and P2 peptides of fibrinogen gamma chain. Regulates neutrophil migration (PubMed:28807980). In association with beta subunit ITGB2/CD18, required for CD177-PRTN3-mediated activation of TNF primed neutrophils (PubMed:21193407). May regulate phagocytosis-induced apoptosis in extravasated neutrophils (By similarity). May play a role in mast cell development (By similarity).
Subunit Structure: Heterodimer of an alpha and a beta subunit. ITGAM associates with ITGB2. Found in a complex with CD177 and ITGB2/CD18 (PubMed:21193407). Interacts with JAM3 (PubMed:15194813, PubMed:12208882). Interacts with THBD (PubMed:27055590).
Similarity: The integrin I-domain (insert) is a VWFA domain. Integrins with I-domains do not undergo protease cleavage. Belongs to the integrin alpha chain family.
NCBI and Uniprot Product Information
Predicted: 128 kDa
Customer Reviews
Loading reviews...
Share Your Experience
Similar Products
Product Notes
The ITGAM itgam (Catalog #AAA326244) is an Antibody produced from Rabbit and is intended for research purposes only. The product is available for immediate purchase. The ITGAM Antibody reacts with Human, Mouse, Rat and may cross-react with other species as described in the data sheet. AAA Biotech's ITGAM can be used in a range of immunoassay formats including, but not limited to, ELISA, IHC (Immunohistochemistry), WB (Western Blot). Researchers should empirically determine the suitability of the ITGAM itgam for an application not listed in the data sheet. Researchers commonly develop new applications and it is an integral, important part of the investigative research process. It is sometimes possible for the material contained within the vial of "ITGAM, Polyclonal Antibody" to become dispersed throughout the inside of the vial, particularly around the seal of said vial, during shipment and storage. We always suggest centrifuging these vials to consolidate all of the liquid away from the lid and to the bottom of the vial prior to opening. Please be advised that certain products may require dry ice for shipping and that, if this is the case, an additional dry ice fee may also be required.Precautions
All products in the AAA Biotech catalog are strictly for research-use only, and are absolutely not suitable for use in any sort of medical, therapeutic, prophylactic, in-vivo, or diagnostic capacity. By purchasing a product from AAA Biotech, you are explicitly certifying that said products will be properly tested and used in line with industry standard. AAA Biotech and its authorized distribution partners reserve the right to refuse to fulfill any order if we have any indication that a purchaser may be intending to use a product outside of our accepted criteria.Disclaimer
Though we do strive to guarantee the information represented in this datasheet, AAA Biotech cannot be held responsible for any oversights or imprecisions. AAA Biotech reserves the right to adjust any aspect of this datasheet at any time and without notice. It is the responsibility of the customer to inform AAA Biotech of any product performance issues observed or experienced within 30 days of receipt of said product. To see additional details on this or any of our other policies, please see our Terms & Conditions page.Item has been added to Shopping Cart
If you are ready to order, navigate to Shopping Cart and get ready to checkout.
