Rabbit ITGAV Polyclonal Antibody | anti-ITGAV antibody
ITGAV Antibody
Phosphate buffered saline, pH 7.4, 150mM NaCl, 0.02% sodium azide and 50% glycerol.
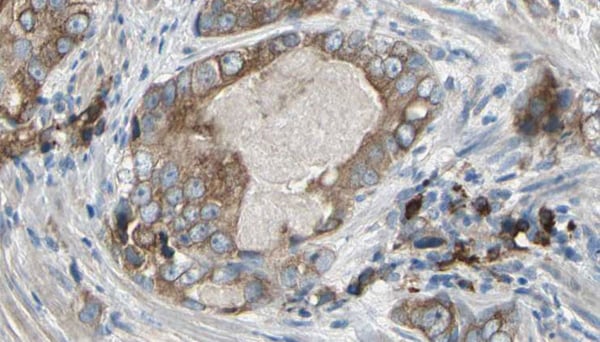
IHC (Immunohiostchemistry)
(AAA326576 at 1/100 staining Human prostate tissue by IHC-P. The sample was formaldehyde fixed and a heat mediated antigen retrieval step in citrate buffer was performed. The sample was then blocked and incubated with the antibody for 1.5 hours at 22 degree C. An HRP conjugated goat anti-rabbit antibody was used as the secondary.)
WB (Western Blot)
(Western blot analysis of A549 whole cell lysates, using ITGAV Antibody. The lane on the left is treated with the antigen-specific peptide.)
Function: The alpha-V (ITGAV) integrins are receptors for vitronectin, cytotactin, fibronectin, fibrinogen, laminin, matrix metalloproteinase-2, osteopontin, osteomodulin, prothrombin, thrombospondin and vWF. They recognize the sequence R-G-D in a wide array of ligands. ITGAV:ITGB3 binds to fractalkine (CX3CL1) and may act as its coreceptor in CX3CR1-dependent fractalkine signaling (PubMed:23125415). ITGAV:ITGB3 binds to NRG1 (via EGF domain) and this binding is essential for NRG1-ERBB signaling (PubMed:20682778). ITGAV:ITGB3 binds to FGF1 and this binding is essential for FGF1 signaling (PubMed:18441324). ITGAV:ITGB3 binds to FGF2 and this binding is essential for FGF2 signaling (PubMed:28302677). ITGAV:ITGB3 binds to IGF1 and this binding is essential for IGF1 signaling (PubMed:19578119). ITGAV:ITGB3 binds to IGF2 and this binding is essential for IGF2 signaling (PubMed:28873464). ITGAV:ITGB3 binds to IL1B and this binding is essential for IL1B signaling (PubMed:29030430). ITGAV:ITGB3 binds to PLA2G2A via a site (site 2) which is distinct from the classical ligand-binding site (site 1) and this induces integrin conformational changes and enhanced ligand binding to site 1 (PubMed:18635536, PubMed:25398877). ITGAV:ITGB3 and ITGAV:ITGB6 act as a receptor for fibrillin-1 (FBN1) and mediate R-G-D-dependent cell adhesion to FBN1 (PubMed:12807887, PubMed:17158881).
Subunit Structure: Heterodimer of an alpha and a beta subunit. The alpha subunit is composed of a heavy and a light chain linked by a disulfide bond. Alpha-V (ITGAV) associates with either beta-1 (ITGB1), beta-3 (ITGB3), beta-5 (ITGB5), beta-6 (ITGB6) or beta-8 (ITGB8). Interacts with CIB1 (PubMed:24011356). Interacts with RAB25 (PubMed:17925226). Integrins ITGAV:ITGB3 and ITGAV:ITGB5 interact with FBLN5 (via N-terminus) (By similarity). ITGAV:ITGB3 and ITGAV:ITGB5 interact with NOV (PubMed:12695522). ITGAV:ITGB3 interacts with ADGRA2 (PubMed:16982628). ITGAV:ITGB3 interacts with FGF2; it is likely that FGF2 can simultaneously bind ITGAV:ITGB3 and FGF receptors (PubMed:28302677). ITGAV:ITGB3 interacts with IL1B (PubMed:29030430). ITGAV:ITGB3 is found in a ternary complex with CX3CR1 and CX3CL1 (PubMed:23125415). ITGAV:ITGB3 is found in a ternary complex with NRG1 and ERBB3 (PubMed:20682778). ITGAV:ITGB3 is found in a ternary complex with FGF1 and FGFR1 (PubMed:18441324). ITGAV:ITGB3 is found in a ternary complex with IGF1 and IGF1R (PubMed:19578119). ITGAV:ITGB3 interacts with IGF2 (PubMed:28873464). ITGAV:ITGB3 and ITGAV:ITGB6 interact with FBN1 (PubMed:12807887, PubMed:17158881). ITGAV:ITGB3 interacts with CD9, CD81 and CD151 (via second extracellular domain) (PubMed:27993971).
Similarity: Belongs to the integrin alpha chain family.
NCBI and Uniprot Product Information
Predicted: 117 kDa
Customer Reviews
Loading reviews...
Share Your Experience
Similar Products
Product Notes
The ITGAV itgav (Catalog #AAA326576) is an Antibody produced from Rabbit and is intended for research purposes only. The product is available for immediate purchase. The ITGAV Antibody reacts with Human, Mouse, Rat and may cross-react with other species as described in the data sheet. AAA Biotech's ITGAV can be used in a range of immunoassay formats including, but not limited to, ELISA, IHC (Immunohistochemistry), WB (Western Blot). Researchers should empirically determine the suitability of the ITGAV itgav for an application not listed in the data sheet. Researchers commonly develop new applications and it is an integral, important part of the investigative research process. It is sometimes possible for the material contained within the vial of "ITGAV, Polyclonal Antibody" to become dispersed throughout the inside of the vial, particularly around the seal of said vial, during shipment and storage. We always suggest centrifuging these vials to consolidate all of the liquid away from the lid and to the bottom of the vial prior to opening. Please be advised that certain products may require dry ice for shipping and that, if this is the case, an additional dry ice fee may also be required.Precautions
All products in the AAA Biotech catalog are strictly for research-use only, and are absolutely not suitable for use in any sort of medical, therapeutic, prophylactic, in-vivo, or diagnostic capacity. By purchasing a product from AAA Biotech, you are explicitly certifying that said products will be properly tested and used in line with industry standard. AAA Biotech and its authorized distribution partners reserve the right to refuse to fulfill any order if we have any indication that a purchaser may be intending to use a product outside of our accepted criteria.Disclaimer
Though we do strive to guarantee the information represented in this datasheet, AAA Biotech cannot be held responsible for any oversights or imprecisions. AAA Biotech reserves the right to adjust any aspect of this datasheet at any time and without notice. It is the responsibility of the customer to inform AAA Biotech of any product performance issues observed or experienced within 30 days of receipt of said product. To see additional details on this or any of our other policies, please see our Terms & Conditions page.Item has been added to Shopping Cart
If you are ready to order, navigate to Shopping Cart and get ready to checkout.
