Rabbit anti-Human ITGB7 Polyclonal Antibody | anti-ITGB7 antibody
ITGB7 Antibody
Reactivity
Human
Applications
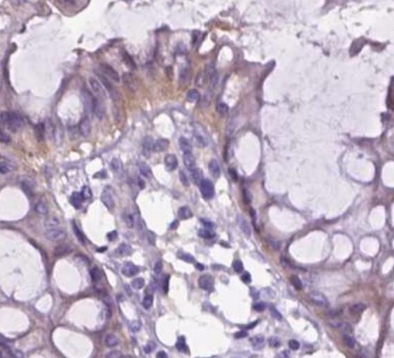
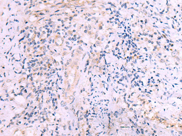
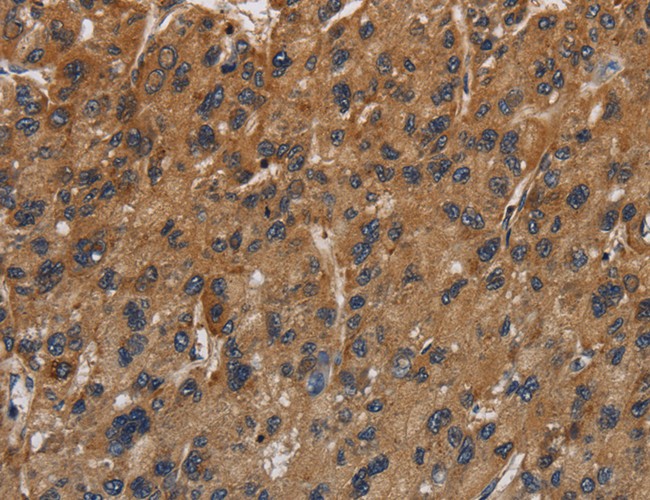
ELISA, Immunohistochemistry, Western Blot
Purity
The antiserum was purified by peptide affinity chromatography using SulfoLink Coupling Resin.
Synonyms
ITGB7, Antibody; ITGB7 Antibody; Gut homing receptor beta subunit; Integrin beta 7 subunit; Integrin beta-7; Integrin beta-P; Integrin, beta 7; ITB7; ITB7_HUMAN; Itgb7; Ly69; M290 IEL antigen; anti-ITGB7 antibody
Host
Rabbit
Reactivity
Human
Clonality
Polyclonal
Isotype
IgG
Specificity
ITGB7 antibody detects endogenous levels of total ITGB7
Purity/Purification
The antiserum was purified by peptide affinity chromatography using SulfoLink Coupling Resin.
Form/Format
Liquid
Phosphate buffered saline, pH 7.4, 150mM NaCl, 0.02% sodium azide and 50% glycerol.
Phosphate buffered saline, pH 7.4, 150mM NaCl, 0.02% sodium azide and 50% glycerol.
Concentration
1mg/ml (varies by lot)
Sequence Length
798
Applicable Applications for anti-ITGB7 antibody
ELISA, IHC (Immunohistochemistry), WB (Western Blot)
Immunogen
A synthesized peptide
Subcellular Location
Membrane.
Tissue Specificity
Expressed in a variety of leukocyte lines.
Predicted Cross Reactivity
Pig, Bovine, Horse, Sheep, Rabbit, Dog
Similarity
Pig (90%), Bovine (90%), Horse (100%), Sheep (100%), Rabbit (90%), Dog (100%)
Conjugation
Unconjugated
Related Product Information for anti-ITGB7 antibody
Description: Integrin alpha-4/beta-7 (Peyer patches-specific homing receptor LPAM-1) is an adhesion molecule that mediates lymphocyte migration and homing to gut-associated lymphoid tissue (GALT). Integrin alpha-4/beta-7 interacts with the cell surface adhesion molecules MADCAM1 which is normally expressed by the vascular endothelium of the gastrointestinal tract. Interacts also with VCAM1 and fibronectin, an extracellular matrix component. It recognizes one or more domains within the alternatively spliced CS-1 region of fibronectin. Interactions involves the tripeptide L-D-T in MADCAM1, and L-D-V in fibronectin. Binds to HIV-1 gp120, thereby allowing the virus to enter GALT, which is thought to be the major trigger of AIDS disease. Interaction would involve a tripeptide L-D-I in HIV-1 gp120. Integrin alpha-E/beta-7 (HML-1) is a receptor for E-cadherin.
Subunit Structure: Heterodimer of an alpha and a beta subunit. Beta-7 associates with either alpha-4 or alpha-E. Integrin alpha-4/beta-7 interacts with MADCAM1, VCAM1, fibronectin, and may also interact with HIV-1 gp120. Interacts with FLNA (via filamin repeats 4, 9, 12, 17, 19, 21, and 23) (PubMed:19828450).
Similarity: Domain I contains three cation-binding sites: the ligand-integrin-binding site (LIMBS), the metal ion-dependent adhesion site (MIDAS), and the adjacent to MIDAS site (ADMIDAS). In the absence of a ligand or in calcium-dependent binding, only ADMIDAS is occupied. In magnesium-dependent binding all three sites bind metal ions. LIMBS positively modify ligand binding whereas ADMIDAS negatively modify ligand binding. Belongs to the integrin beta chain family.
Subunit Structure: Heterodimer of an alpha and a beta subunit. Beta-7 associates with either alpha-4 or alpha-E. Integrin alpha-4/beta-7 interacts with MADCAM1, VCAM1, fibronectin, and may also interact with HIV-1 gp120. Interacts with FLNA (via filamin repeats 4, 9, 12, 17, 19, 21, and 23) (PubMed:19828450).
Similarity: Domain I contains three cation-binding sites: the ligand-integrin-binding site (LIMBS), the metal ion-dependent adhesion site (MIDAS), and the adjacent to MIDAS site (ADMIDAS). In the absence of a ligand or in calcium-dependent binding, only ADMIDAS is occupied. In magnesium-dependent binding all three sites bind metal ions. LIMBS positively modify ligand binding whereas ADMIDAS negatively modify ligand binding. Belongs to the integrin beta chain family.
NCBI and Uniprot Product Information
NCBI GI #
NCBI GeneID
NCBI Accession #
NCBI GenBank Nucleotide #
Molecular Weight
Observed: 87 kDa
Predicted: 87 kDa
Predicted: 87 kDa
NCBI Official Full Name
integrin beta-7
NCBI Official Synonym Full Names
integrin subunit beta 7
NCBI Official Symbol
ITGB7
NCBI Protein Information
integrin beta-7
UniProt Protein Name
Integrin beta-7
UniProt Gene Name
ITGB7
Customer Reviews
Loading reviews...
Share Your Experience
Similar Products
Product Notes
The ITGB7 itgb7 (Catalog #AAA323478) is an Antibody produced from Rabbit and is intended for research purposes only. The product is available for immediate purchase. The ITGB7 Antibody reacts with Human and may cross-react with other species as described in the data sheet. AAA Biotech's ITGB7 can be used in a range of immunoassay formats including, but not limited to, ELISA, IHC (Immunohistochemistry), WB (Western Blot). Researchers should empirically determine the suitability of the ITGB7 itgb7 for an application not listed in the data sheet. Researchers commonly develop new applications and it is an integral, important part of the investigative research process. It is sometimes possible for the material contained within the vial of "ITGB7, Polyclonal Antibody" to become dispersed throughout the inside of the vial, particularly around the seal of said vial, during shipment and storage. We always suggest centrifuging these vials to consolidate all of the liquid away from the lid and to the bottom of the vial prior to opening. Please be advised that certain products may require dry ice for shipping and that, if this is the case, an additional dry ice fee may also be required.Precautions
All products in the AAA Biotech catalog are strictly for research-use only, and are absolutely not suitable for use in any sort of medical, therapeutic, prophylactic, in-vivo, or diagnostic capacity. By purchasing a product from AAA Biotech, you are explicitly certifying that said products will be properly tested and used in line with industry standard. AAA Biotech and its authorized distribution partners reserve the right to refuse to fulfill any order if we have any indication that a purchaser may be intending to use a product outside of our accepted criteria.Disclaimer
Though we do strive to guarantee the information represented in this datasheet, AAA Biotech cannot be held responsible for any oversights or imprecisions. AAA Biotech reserves the right to adjust any aspect of this datasheet at any time and without notice. It is the responsibility of the customer to inform AAA Biotech of any product performance issues observed or experienced within 30 days of receipt of said product. To see additional details on this or any of our other policies, please see our Terms & Conditions page.Item has been added to Shopping Cart
If you are ready to order, navigate to Shopping Cart and get ready to checkout.
