KChIP2 Polyclonal Antibody | anti-KChIP2 antibody
Anti-KChIP2 Antibody
IHC (Immunohistochemistry)
(Anti- KCNIP2 Picoband antibody, AAA46335,IHC(P)IHC(P): Rat Brain Tissue)
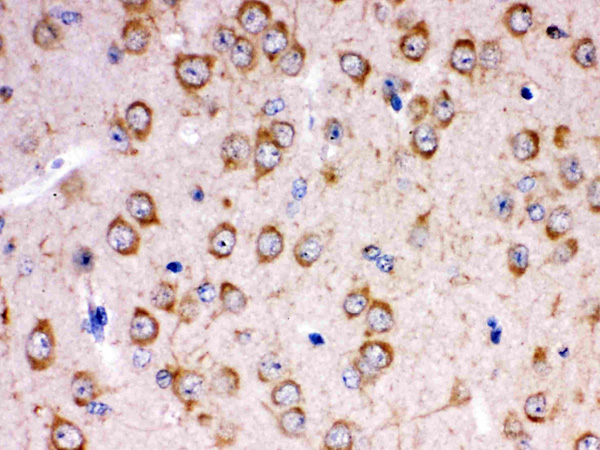
IHC (Immunohistochemisry)
(Anti- KCNIP2 Picoband antibody, AAA46335,IHC(P)IHC(P): Human Glioma Tissue)
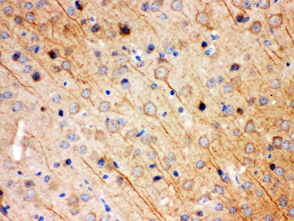
IHC (Immunohiostchemistry)
(Anti- KCNIP2 Picoband antibody, AAA46335,IHC(P)IHC(P): Mouse Brain Tissue)
WB (Western Blot)
(Anti- KCNIP2 Picoband antibody, AAA46335, Western blottingAll lanes: Anti KCNIP2 (AAA46335) at 0.5ug/mlLane 1: Rat Brain Tissue Lysate at 50ugLane 2: Rat Cardiac Muscle Tissue Lysate at 50ugLane 3: Mouse Cardiac Muscle Tissue Lysate at 50ugLane 4: 22RV1 Whole Cell Lysate at 40ugPredicted bind size: 31KDObserved bind size: 31KD)
Background: Kv channel-interacting protein 2 also known as KChIP2 is a protein that in humans is encoded by the KCNIP2 gene. This gene encodes a member of the family of voltage-gated potassium (Kv) channel-interacting proteins, which belong to the recoverin branch of the EF-hand superfamily. Members of the KCNIP family are small calcium binding proteins. They all have EF-hand-like domains, and differ from each other in the N-terminus. And they are integral subunit components of native Kv4 channel complexes. They may regulate A-type currents, and hence neuronal excitability, in response to changes in intracellular calcium. Alternative splicing results in multiple transcript variant encoding different isoforms.
NCBI and Uniprot Product Information
Customer Reviews
Loading reviews...
Share Your Experience
Similar Products
Product Notes
The KChIP2 kcnip2 (Catalog #AAA46335) is an Antibody and is intended for research purposes only. The product is available for immediate purchase. The Anti-KChIP2 Antibody reacts with Human, Mouse, Rat and may cross-react with other species as described in the data sheet. AAA Biotech's KChIP2 can be used in a range of immunoassay formats including, but not limited to, IHC (Immunohistochemistry), WB (Western Blot). Researchers should empirically determine the suitability of the KChIP2 kcnip2 for an application not listed in the data sheet. Researchers commonly develop new applications and it is an integral, important part of the investigative research process. It is sometimes possible for the material contained within the vial of "KChIP2, Polyclonal Antibody" to become dispersed throughout the inside of the vial, particularly around the seal of said vial, during shipment and storage. We always suggest centrifuging these vials to consolidate all of the liquid away from the lid and to the bottom of the vial prior to opening. Please be advised that certain products may require dry ice for shipping and that, if this is the case, an additional dry ice fee may also be required.Precautions
All products in the AAA Biotech catalog are strictly for research-use only, and are absolutely not suitable for use in any sort of medical, therapeutic, prophylactic, in-vivo, or diagnostic capacity. By purchasing a product from AAA Biotech, you are explicitly certifying that said products will be properly tested and used in line with industry standard. AAA Biotech and its authorized distribution partners reserve the right to refuse to fulfill any order if we have any indication that a purchaser may be intending to use a product outside of our accepted criteria.Disclaimer
Though we do strive to guarantee the information represented in this datasheet, AAA Biotech cannot be held responsible for any oversights or imprecisions. AAA Biotech reserves the right to adjust any aspect of this datasheet at any time and without notice. It is the responsibility of the customer to inform AAA Biotech of any product performance issues observed or experienced within 30 days of receipt of said product. To see additional details on this or any of our other policies, please see our Terms & Conditions page.Item has been added to Shopping Cart
If you are ready to order, navigate to Shopping Cart and get ready to checkout.
