Rabbit anti-Human KCNG1 Polyclonal Antibody | anti-KCNG1 antibody
KCNG1 Antibody
Gene Names
KCNG1; K13; kH2; KCNG; KV6.1
Reactivity
Human
Applications
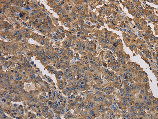
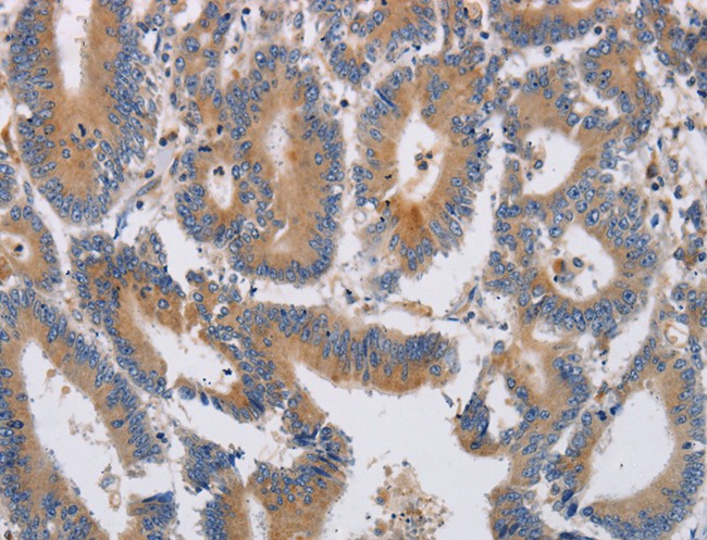
Immunohistochemistry
Purity
Antigen affinity purification.
Synonyms
KCNG1, Antibody; KCNG1 Antibody; K13; kH2; KCNG; KV6.1; anti-KCNG1 antibody
Host
Rabbit
Reactivity
Human
Clonality
Polyclonal
Specificity
The antibody detects endogenous levels of total KCNG1 protein.
Purity/Purification
Antigen affinity purification.
Form/Format
Rabbit IgG in pH7.3 PBS, 0.05% NaN3, 50% Glycerol.
Concentration
2.7 mg/ml (varies by lot)
Sequence Length
513
Applicable Applications for anti-KCNG1 antibody
IHC (Immunohistochemistry)
Immunogen Type
Peptide
Immunogen Description
Synthetic peptide corresponding to residues near the N terminal of human potassium voltage-gated channel, subfamily G, member 1
Target Name
KCNG1
Preparation and Storage
Store at -20 degree C
Related Product Information for anti-KCNG1 antibody
Voltage-gated potassium (Kv) channels represent the most complex class of voltage-gated ion channels from both functional and structural standpoints. Their diverse functions include regulating neurotransmitter release, heart rate, insulin secretion, neuronal excitability, epithelial electrolyte transport, smooth muscle contraction, and cell volume. This gene encodes a member of the potassium channel, voltage-gated, subfamily G. This gene is abundantly expressed in skeletal muscle. Multiple alternatively spliced transcript variants have been found in normal and cancerous tissues.
Product Categories/Family for anti-KCNG1 antibody
NCBI and Uniprot Product Information
NCBI GI #
NCBI GeneID
NCBI Accession #
NCBI GenBank Nucleotide #
Molecular Weight
31,229 Da
NCBI Official Full Name
potassium voltage-gated channel subfamily G member 1
NCBI Official Synonym Full Names
potassium channel, voltage gated modifier subfamily G, member 1
NCBI Official Symbol
KCNG1
NCBI Official Synonym Symbols
K13; kH2; KCNG; KV6.1
NCBI Protein Information
potassium voltage-gated channel subfamily G member 1
UniProt Protein Name
Potassium voltage-gated channel subfamily G member 1
UniProt Gene Name
KCNG1
UniProt Entry Name
KCNG1_HUMAN
Customer Reviews
Loading reviews...
Share Your Experience
Similar Products
Product Notes
The KCNG1 kcng1 (Catalog #AAA305801) is an Antibody produced from Rabbit and is intended for research purposes only. The product is available for immediate purchase. The KCNG1 Antibody reacts with Human and may cross-react with other species as described in the data sheet. AAA Biotech's KCNG1 can be used in a range of immunoassay formats including, but not limited to, IHC (Immunohistochemistry). Researchers should empirically determine the suitability of the KCNG1 kcng1 for an application not listed in the data sheet. Researchers commonly develop new applications and it is an integral, important part of the investigative research process. It is sometimes possible for the material contained within the vial of "KCNG1, Polyclonal Antibody" to become dispersed throughout the inside of the vial, particularly around the seal of said vial, during shipment and storage. We always suggest centrifuging these vials to consolidate all of the liquid away from the lid and to the bottom of the vial prior to opening. Please be advised that certain products may require dry ice for shipping and that, if this is the case, an additional dry ice fee may also be required.Precautions
All products in the AAA Biotech catalog are strictly for research-use only, and are absolutely not suitable for use in any sort of medical, therapeutic, prophylactic, in-vivo, or diagnostic capacity. By purchasing a product from AAA Biotech, you are explicitly certifying that said products will be properly tested and used in line with industry standard. AAA Biotech and its authorized distribution partners reserve the right to refuse to fulfill any order if we have any indication that a purchaser may be intending to use a product outside of our accepted criteria.Disclaimer
Though we do strive to guarantee the information represented in this datasheet, AAA Biotech cannot be held responsible for any oversights or imprecisions. AAA Biotech reserves the right to adjust any aspect of this datasheet at any time and without notice. It is the responsibility of the customer to inform AAA Biotech of any product performance issues observed or experienced within 30 days of receipt of said product. To see additional details on this or any of our other policies, please see our Terms & Conditions page.Item has been added to Shopping Cart
If you are ready to order, navigate to Shopping Cart and get ready to checkout.
