Rabbit KCNJ2 Polyclonal Antibody | anti-KCNJ2 antibody
KCNJ2 Polyclonal Antibody
Gene Names
KCNJ2; IRK1; LQT7; SQT3; ATFB9; HHIRK1; KIR2.1; HHBIRK1
Reactivity
Human, Mouse, Rat
Applications
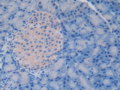
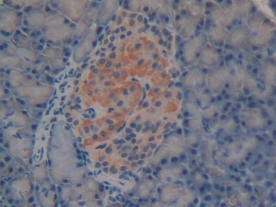
ELISA, Immunohistochemistry, Western Blot
Purity
Antigen Affinity Purification
Synonyms
KCNJ2, Antibody; KCNJ2 Polyclonal Antibody; Cardiac inward rectifier potassium channel; HHBIRK 1; HHBIRK1; HHIRK 1; HHIRK1; HIRK 1; HIRK1; Inward rectifier K; Inward rectifier K(+) channel Kir2.1; Inward rectifier potassium channel 2; Inwardly rectifying subfamily J member 2; IRK 1; IRK-1; IRK1; IRK2; KCNJ2; KIR2.1; LQT 7; LQT7; Potassium channel; Potassium channel inwardly rectifying subfamily J member 2; Potassium inwardly rectifying channel J2; Potassium inwardly rectifying channel subfamily J member 2; SQT 3; SQT3; anti-KCNJ2 antibody
Host
Rabbit
Reactivity
Human, Mouse, Rat
Clonality
Polyclonal
Isotype
IgG
Purity/Purification
Antigen Affinity Purification
Form/Format
PBS with 0.05% NaN3 and 40% Glycerol, pH7.4
Concentration
0.72mg/mL (varies by lot)
Sequence Length
427
Applicable Applications for anti-KCNJ2 antibody
ELISA, IHC (Immunohistochemistry), WB (Western Blot)
Immunogen
Synthetic peptide of human KCNJ2
Conjugation
Unconjugated
Preparation and Storage
Store at -20 degree C. Avoid freeze/thaw cycles.
Related Product Information for anti-KCNJ2 antibody
Potassium channels are present in most mammalian cells, where they participate in a wide range of physiologic responses. The protein encoded by this gene is an integral membrane protein and inward-rectifier type potassium channel. The encoded protein, which has a greater tendency to allow potassium to flow into a cell rather than out of a cell, probably participates in establishing action potential waveform and excitability of neuronal and muscle tissues. Mutations in this gene have been associated with Andersen syndrome, which is characterized by periodic paralysis, cardiac arrhythmias, and dysmorphic features.
Product Categories/Family for anti-KCNJ2 antibody
NCBI and Uniprot Product Information
NCBI GI #
NCBI GeneID
NCBI Accession #
NCBI GenBank Nucleotide #
UniProt Accession #
Molecular Weight
48 kDa
NCBI Official Full Name
inward rectifier potassium channel 2
NCBI Official Synonym Full Names
potassium inwardly rectifying channel subfamily J member 2
NCBI Official Symbol
KCNJ2
NCBI Official Synonym Symbols
IRK1; LQT7; SQT3; ATFB9; HHIRK1; KIR2.1; HHBIRK1
NCBI Protein Information
inward rectifier potassium channel 2
UniProt Protein Name
Inward rectifier potassium channel 2
UniProt Gene Name
KCNJ2
UniProt Synonym Gene Names
IRK1; IRK-1; hIRK1
UniProt Entry Name
IRK2_HUMAN
Customer Reviews
Loading reviews...
Share Your Experience
Similar Products
Product Notes
The KCNJ2 kcnj2 (Catalog #AAA175040) is an Antibody produced from Rabbit and is intended for research purposes only. The product is available for immediate purchase. The KCNJ2 Polyclonal Antibody reacts with Human, Mouse, Rat and may cross-react with other species as described in the data sheet. AAA Biotech's KCNJ2 can be used in a range of immunoassay formats including, but not limited to, ELISA, IHC (Immunohistochemistry), WB (Western Blot). Researchers should empirically determine the suitability of the KCNJ2 kcnj2 for an application not listed in the data sheet. Researchers commonly develop new applications and it is an integral, important part of the investigative research process. It is sometimes possible for the material contained within the vial of "KCNJ2, Polyclonal Antibody" to become dispersed throughout the inside of the vial, particularly around the seal of said vial, during shipment and storage. We always suggest centrifuging these vials to consolidate all of the liquid away from the lid and to the bottom of the vial prior to opening. Please be advised that certain products may require dry ice for shipping and that, if this is the case, an additional dry ice fee may also be required.Precautions
All products in the AAA Biotech catalog are strictly for research-use only, and are absolutely not suitable for use in any sort of medical, therapeutic, prophylactic, in-vivo, or diagnostic capacity. By purchasing a product from AAA Biotech, you are explicitly certifying that said products will be properly tested and used in line with industry standard. AAA Biotech and its authorized distribution partners reserve the right to refuse to fulfill any order if we have any indication that a purchaser may be intending to use a product outside of our accepted criteria.Disclaimer
Though we do strive to guarantee the information represented in this datasheet, AAA Biotech cannot be held responsible for any oversights or imprecisions. AAA Biotech reserves the right to adjust any aspect of this datasheet at any time and without notice. It is the responsibility of the customer to inform AAA Biotech of any product performance issues observed or experienced within 30 days of receipt of said product. To see additional details on this or any of our other policies, please see our Terms & Conditions page.Item has been added to Shopping Cart
If you are ready to order, navigate to Shopping Cart and get ready to checkout.
