Rabbit anti-Human KIF24 Polyclonal Antibody | anti-KIF24 antibody
KIF24 Antibody
Gene Names
KIF24; C9orf48; bA571F15.4
Reactivity
Human
Applications
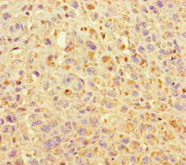
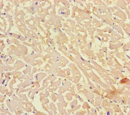
Immunohistochemistry, ELISA
Purity
>95%,Protein G purified
Synonyms
KIF24, Antibody; KIF24 Antibody; Kinesin-like protein KIF24; KIF24; C9orf48; anti-KIF24 antibody
Host
Rabbit
Reactivity
Human
Clonality
Polyclonal
Isotype
IgG
Purity/Purification
>95%,Protein G purified
Form/Format
Liquid
Sequence Length
1368
Applicable Applications for anti-KIF24 antibody
IHC (Immunohistochemistry), ELISA
Immunogen
Recombinant human Kinesin-like protein KIF24 protein
Conjugation
Non-conjugated
Storage Buffer
Preservative: 0.03% Proclin 300 Constituents: 50% Glycerol, 0.01M PBS, PH 7.4
Santa Cruz Alternative
Potential replacement for Santa Cruz Biotechnology antibody catalog# sc-247346
Preparation and Storage
Shipped at 4 degree C. Upon delivery, aliquot and store at -20 degree C or -80 degree C.
Related Product Information for anti-KIF24 antibody
Microtubule-dependent motor protein that acts as a negative regulator of ciliogenesis by mediating recruitment of CCP110 to mother centriole in cycling cells, leading to restrict nucleation of cilia at centrioles. Mediates depolymerization of microtubules of centriolar origin, possibly to suppress aberrant cilia formation.
NCBI and Uniprot Product Information
NCBI GI #
NCBI GeneID
NCBI Accession #
NCBI GenBank Nucleotide #
Molecular Weight
128,840 Da
NCBI Official Full Name
kinesin-like protein KIF24
NCBI Official Synonym Full Names
kinesin family member 24
NCBI Official Symbol
KIF24
NCBI Official Synonym Symbols
C9orf48; bA571F15.4
NCBI Protein Information
kinesin-like protein KIF24
UniProt Protein Name
Kinesin-like protein KIF24
UniProt Gene Name
KIF24
UniProt Synonym Gene Names
C9orf48
UniProt Entry Name
KIF24_HUMAN
Customer Reviews
Loading reviews...
Share Your Experience
Similar Products
Product Notes
The KIF24 kif24 (Catalog #AAA229288) is an Antibody produced from Rabbit and is intended for research purposes only. The product is available for immediate purchase. The KIF24 Antibody reacts with Human and may cross-react with other species as described in the data sheet. AAA Biotech's KIF24 can be used in a range of immunoassay formats including, but not limited to, IHC (Immunohistochemistry), ELISA. Researchers should empirically determine the suitability of the KIF24 kif24 for an application not listed in the data sheet. Researchers commonly develop new applications and it is an integral, important part of the investigative research process. It is sometimes possible for the material contained within the vial of "KIF24, Polyclonal Antibody" to become dispersed throughout the inside of the vial, particularly around the seal of said vial, during shipment and storage. We always suggest centrifuging these vials to consolidate all of the liquid away from the lid and to the bottom of the vial prior to opening. Please be advised that certain products may require dry ice for shipping and that, if this is the case, an additional dry ice fee may also be required.Precautions
All products in the AAA Biotech catalog are strictly for research-use only, and are absolutely not suitable for use in any sort of medical, therapeutic, prophylactic, in-vivo, or diagnostic capacity. By purchasing a product from AAA Biotech, you are explicitly certifying that said products will be properly tested and used in line with industry standard. AAA Biotech and its authorized distribution partners reserve the right to refuse to fulfill any order if we have any indication that a purchaser may be intending to use a product outside of our accepted criteria.Disclaimer
Though we do strive to guarantee the information represented in this datasheet, AAA Biotech cannot be held responsible for any oversights or imprecisions. AAA Biotech reserves the right to adjust any aspect of this datasheet at any time and without notice. It is the responsibility of the customer to inform AAA Biotech of any product performance issues observed or experienced within 30 days of receipt of said product. To see additional details on this or any of our other policies, please see our Terms & Conditions page.Item has been added to Shopping Cart
If you are ready to order, navigate to Shopping Cart and get ready to checkout.
